| Western blot (WB): | 1:2000 |
| Flow Cytometry (FCM): | 1:100 |

Living HEK293T cells transfected with either overexpress plasmid (Red), compared to an IgG isotype control, (Green) or empty vector control plasmid (Blue) were immunostained by anti-IGF1R antibody, and then analyzed by flow cytometry (1:100).

Flow cytometric analysis of living HepG2 cells, using anti-IGF1R antibody, (red), compared to an IgG isotype control, (green), and negative control (PBS), (blue) (1:25).

Flow cytometric analysis of living A549 cells, using anti-IGF1R antibody, (red), compared to an IgG isotype control, (green), and negative control (PBS), (blue) (1:25).

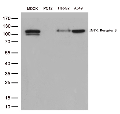
Western blot analysis of extracts (35ug) from 4 cell lines lysates by using anti-IGF1R monoclonal antibody (1:500).

HEK293T cells were transfected with the pCMV6-ENTRY control (Left lane) or pCMV6-ENTRY IGF1R (Right lane) cDNA for 48 hrs and lysed. Equivalent amounts of cell lysates (5 ug per lane) were separated by SDS-PAGE and immunoblotted with anti-IGF1R (Cat# M00070-2)(1:2000).

Living HEK293T cells transfected with either overexpress plasmid (Red), compared to an IgG isotype control, (Green) or empty vector control plasmid (Blue) were immunostained by anti-IGF1R antibody, and then analyzed by flow cytometry (1:100).

Flow cytometric analysis of living HepG2 cells, using anti-IGF1R antibody, (red), compared to an IgG isotype control, (green), and negative control (PBS), (blue) (1:25).

Flow cytometric analysis of living A549 cells, using anti-IGF1R antibody, (red), compared to an IgG isotype control, (green), and negative control (PBS), (blue) (1:25).

Western blot analysis of extracts (35ug) from 4 cell lines lysates by using anti-IGF1R monoclonal antibody (1:500).

HEK293T cells were transfected with the pCMV6-ENTRY control (Left lane) or pCMV6-ENTRY IGF1R (Right lane) cDNA for 48 hrs and lysed. Equivalent amounts of cell lysates (5 ug per lane) were separated by SDS-PAGE and immunoblotted with anti-IGF1R (Cat# M00070-2)(1:2000).




