| Western blot (WB): | 1:2000 |
| Immunohistochemistry (IHC): | 1:150 |

Immunohistochemical staining of paraffin-embedded Carcinoma of Human liver tissue using anti-HDAC2 mouse monoclonal antibody. (Heat-induced epitope retrieval by 1mM EDTA in 10mM Tris buffer (pH8.5) at 120°C for 3min, M00325-2) (1:150)

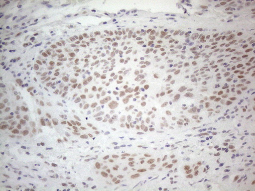
Immunohistochemical staining of paraffin-embedded Human prostate tissue within the normal limits using anti-HDAC2 mouse monoclonal antibody. (Heat-induced epitope retrieval by 1mM EDTA in 10mM Tris buffer (pH8.5) at 120°C for 3min, M00325-2) (1:150)

Immunohistochemical staining of paraffin-embedded Human liver tissue within the normal limits using anti-HDAC2 mouse monoclonal antibody. (Heat-induced epitope retrieval by 1mM EDTA in 10mM Tris buffer (pH8.5) at 120°C for 3min, M00325-2) (1:150)

Immunohistochemical staining of paraffin-embedded Adenocarcinoma of Human endometrium tissue using anti-HDAC2 mouse monoclonal antibody. (Heat-induced epitope retrieval by 1mM EDTA in 10mM Tris buffer (pH8.5) at 120°C for 3min, M00325-2) (1:150)

Immunohistochemical staining of paraffin-embedded Carcinoma of Human kidney tissue using anti-HDAC2 mouse monoclonal antibody. (Heat-induced epitope retrieval by 1mM EDTA in 10mM Tris buffer (pH8.5) at 120°C for 3min, M00325-2) (1:150)

Immunohistochemical staining of paraffin-embedded Human Kidney tissue within the normal limits using anti-HDAC2 mouse monoclonal antibody. (Heat-induced epitope retrieval by 1mM EDTA in 10mM Tris buffer (pH8.5) at 120°C for 3min, M00325-2) (1:150)

Immunohistochemical staining of paraffin-embedded Carcinoma of Human thyroid tissue using anti-HDAC2 mouse monoclonal antibody. (Heat-induced epitope retrieval by 1mM EDTA in 10mM Tris buffer (pH8.5) at 120°C for 3min, M00325-2) (1:150)

Immunohistochemical staining of paraffin-embedded Adenocarcinoma of Human colon tissue using anti-HDAC2 mouse monoclonal antibody. (Heat-induced epitope retrieval by 1mM EDTA in 10mM Tris buffer (pH8.5) at 120°C for 3min, M00325-2) (1:150)

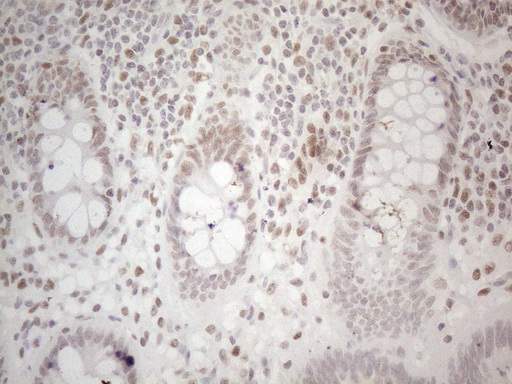
Immunohistochemical staining of paraffin-embedded Human colon tissue within the normal limits using anti-HDAC2 mouse monoclonal antibody. (Heat-induced epitope retrieval by 1mM EDTA in 10mM Tris buffer (pH8.5) at 120°C for 3min, M00325-2) (1:150)

Immunohistochemical staining of paraffin-embedded Human tonsil within the normal limits using anti-HDAC2 mouse monoclonal antibody. (Heat-induced epitope retrieval by 1mM EDTA in 10mM Tris buffer (pH8.5) at 120°C for 3min, M00325-2) (1:150)

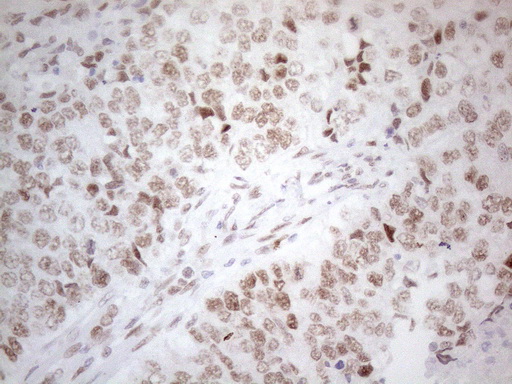
Immunohistochemical staining of paraffin-embedded Carcinoma of Human pancreas tissue using anti-HDAC2 mouse monoclonal antibody. (Heat-induced epitope retrieval by 1mM EDTA in 10mM Tris buffer (pH8.5) at 120°C for 3min, M00325-2) (1:150)

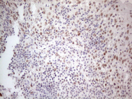
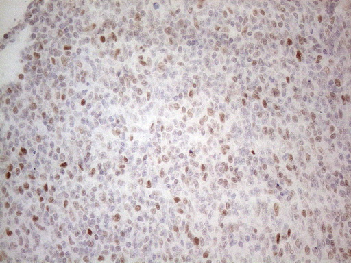
Immunohistochemical staining of paraffin-embedded Human lymphoma tissue using anti-HDAC2 mouse monoclonal antibody. (Heat-induced epitope retrieval by 1mM EDTA in 10mM Tris buffer (pH8.5) at 120°C for 3min, M00325-2) (1:150)

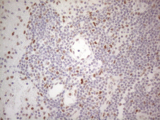
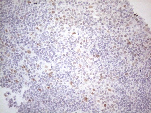
Immunohistochemical staining of paraffin-embedded Human lymph node tissue within the normal limits using anti-HDAC2 mouse monoclonal antibody. (Heat-induced epitope retrieval by 1mM EDTA in 10mM Tris buffer (pH8.5) at 120°C for 3min, M00325-2) (1:150)

Immunohistochemical staining of paraffin-embedded Adenocarcinoma of Human ovary tissue using anti-HDAC2 mouse monoclonal antibody. (Heat-induced epitope retrieval by 1mM EDTA in 10mM Tris buffer (pH8.5) at 120°C for 3min, M00325-2) (1:150)

Immunohistochemical staining of paraffin-embedded Carcinoma of Human bladder tissue using anti-HDAC2 mouse monoclonal antibody. (Heat-induced epitope retrieval by 1mM EDTA in 10mM Tris buffer (pH8.5) at 120°C for 3min, M00325-2) (1:150)

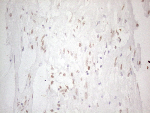
Immunohistochemical staining of paraffin-embedded Human bladder tissue within the normal limits using anti-HDAC2 mouse monoclonal antibody. (Heat-induced epitope retrieval by 1mM EDTA in 10mM Tris buffer (pH8.5) at 120°C for 3min, M00325-2) (1:150)

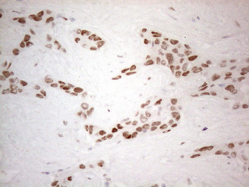
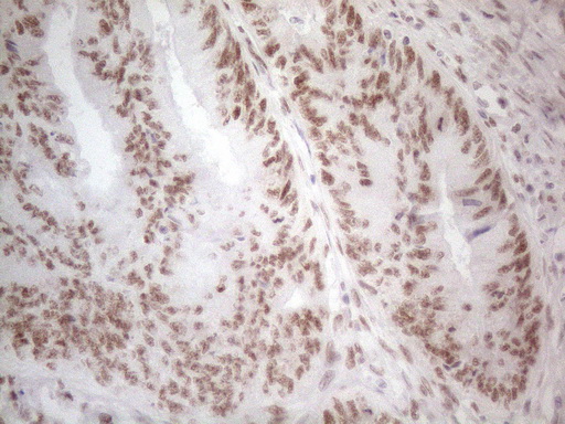
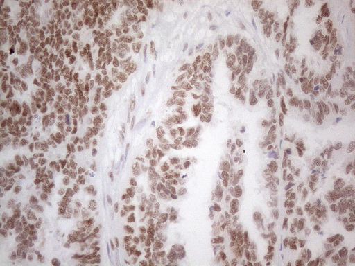
Immunohistochemical staining of paraffin-embedded Carcinoma of Human prostate tissue using anti-HDAC2 mouse monoclonal antibody. (Heat-induced epitope retrieval by 1mM EDTA in 10mM Tris buffer (pH8.5) at 120°C for 3min, M00325-2) (1:150)

HEK293T cells were transfected with the pCMV6-ENTRY control (Left lane) or pCMV6-ENTRY HDAC2 (Right lane) cDNA for 48 hrs and lysed. Equivalent amounts of cell lysates (5 ug per lane) were separated by SDS-PAGE and immunoblotted with anti-HDAC2 (1:2000) (Cat# M00325-2).

Immunohistochemical staining of paraffin-embedded Carcinoma of Human liver tissue using anti-HDAC2 mouse monoclonal antibody. (Heat-induced epitope retrieval by 1mM EDTA in 10mM Tris buffer (pH8.5) at 120°C for 3min, M00325-2) (1:150)

Immunohistochemical staining of paraffin-embedded Human prostate tissue within the normal limits using anti-HDAC2 mouse monoclonal antibody. (Heat-induced epitope retrieval by 1mM EDTA in 10mM Tris buffer (pH8.5) at 120°C for 3min, M00325-2) (1:150)

Immunohistochemical staining of paraffin-embedded Human liver tissue within the normal limits using anti-HDAC2 mouse monoclonal antibody. (Heat-induced epitope retrieval by 1mM EDTA in 10mM Tris buffer (pH8.5) at 120°C for 3min, M00325-2) (1:150)

Immunohistochemical staining of paraffin-embedded Adenocarcinoma of Human endometrium tissue using anti-HDAC2 mouse monoclonal antibody. (Heat-induced epitope retrieval by 1mM EDTA in 10mM Tris buffer (pH8.5) at 120°C for 3min, M00325-2) (1:150)

Immunohistochemical staining of paraffin-embedded Carcinoma of Human kidney tissue using anti-HDAC2 mouse monoclonal antibody. (Heat-induced epitope retrieval by 1mM EDTA in 10mM Tris buffer (pH8.5) at 120°C for 3min, M00325-2) (1:150)

Immunohistochemical staining of paraffin-embedded Human Kidney tissue within the normal limits using anti-HDAC2 mouse monoclonal antibody. (Heat-induced epitope retrieval by 1mM EDTA in 10mM Tris buffer (pH8.5) at 120°C for 3min, M00325-2) (1:150)

Immunohistochemical staining of paraffin-embedded Carcinoma of Human thyroid tissue using anti-HDAC2 mouse monoclonal antibody. (Heat-induced epitope retrieval by 1mM EDTA in 10mM Tris buffer (pH8.5) at 120°C for 3min, M00325-2) (1:150)

Immunohistochemical staining of paraffin-embedded Adenocarcinoma of Human colon tissue using anti-HDAC2 mouse monoclonal antibody. (Heat-induced epitope retrieval by 1mM EDTA in 10mM Tris buffer (pH8.5) at 120°C for 3min, M00325-2) (1:150)

Immunohistochemical staining of paraffin-embedded Human colon tissue within the normal limits using anti-HDAC2 mouse monoclonal antibody. (Heat-induced epitope retrieval by 1mM EDTA in 10mM Tris buffer (pH8.5) at 120°C for 3min, M00325-2) (1:150)

Immunohistochemical staining of paraffin-embedded Human tonsil within the normal limits using anti-HDAC2 mouse monoclonal antibody. (Heat-induced epitope retrieval by 1mM EDTA in 10mM Tris buffer (pH8.5) at 120°C for 3min, M00325-2) (1:150)

Immunohistochemical staining of paraffin-embedded Carcinoma of Human pancreas tissue using anti-HDAC2 mouse monoclonal antibody. (Heat-induced epitope retrieval by 1mM EDTA in 10mM Tris buffer (pH8.5) at 120°C for 3min, M00325-2) (1:150)

Immunohistochemical staining of paraffin-embedded Human lymphoma tissue using anti-HDAC2 mouse monoclonal antibody. (Heat-induced epitope retrieval by 1mM EDTA in 10mM Tris buffer (pH8.5) at 120°C for 3min, M00325-2) (1:150)

Immunohistochemical staining of paraffin-embedded Human lymph node tissue within the normal limits using anti-HDAC2 mouse monoclonal antibody. (Heat-induced epitope retrieval by 1mM EDTA in 10mM Tris buffer (pH8.5) at 120°C for 3min, M00325-2) (1:150)

Immunohistochemical staining of paraffin-embedded Adenocarcinoma of Human ovary tissue using anti-HDAC2 mouse monoclonal antibody. (Heat-induced epitope retrieval by 1mM EDTA in 10mM Tris buffer (pH8.5) at 120°C for 3min, M00325-2) (1:150)

Immunohistochemical staining of paraffin-embedded Carcinoma of Human bladder tissue using anti-HDAC2 mouse monoclonal antibody. (Heat-induced epitope retrieval by 1mM EDTA in 10mM Tris buffer (pH8.5) at 120°C for 3min, M00325-2) (1:150)

Immunohistochemical staining of paraffin-embedded Human bladder tissue within the normal limits using anti-HDAC2 mouse monoclonal antibody. (Heat-induced epitope retrieval by 1mM EDTA in 10mM Tris buffer (pH8.5) at 120°C for 3min, M00325-2) (1:150)

Immunohistochemical staining of paraffin-embedded Carcinoma of Human prostate tissue using anti-HDAC2 mouse monoclonal antibody. (Heat-induced epitope retrieval by 1mM EDTA in 10mM Tris buffer (pH8.5) at 120°C for 3min, M00325-2) (1:150)

HEK293T cells were transfected with the pCMV6-ENTRY control (Left lane) or pCMV6-ENTRY HDAC2 (Right lane) cDNA for 48 hrs and lysed. Equivalent amounts of cell lysates (5 ug per lane) were separated by SDS-PAGE and immunoblotted with anti-HDAC2 (1:2000) (Cat# M00325-2).

















