| Western blot (WB): | 1:500-2000 |
| Immunohistochemistry (IHC): | 1:50-200 |
| Immunocytochemistry/Immunofluorescence (ICC/IF): | 1:50-200 |
| ImmunoPrecipitation (IP): | 1:30 |
| Flow Cytometry (FCM): | 1:50 |

Western blot analysis of HDAC2 using anti-HDAC2 antibody (BM3967). The sample well of each lane was loaded with 30 ug of sample under reducing conditions.
Lane 1: human HL-60 whole cell lysates,
Lane 2: human THP-1 whole cell lysates,
Lane 3: human U937 whole cell lysates,
Lane 4: human Caco-2 whole cell lysates,
Lane 5: human U2OS whole cell lysates,
Lane 6: human A431 whole cell lysates,
Lane 7: human HepG2 whole cell lysates.
After electrophoresis, proteins were transferred to a membrane. Then the membrane was incubated with rabbit anti-HDAC2 antigen affinity purified monoclonal antibody (BM3967) at a dilution of 1:1000 and probed with a goat anti-rabbit IgG-HRP secondary antibody (Catalog # BA1054). The signal is developed using ECL Plus Western Blotting Substrate (Catalog # AR1197). A specific band was detected for HDAC2 at approximately 60 kDa. The expected band size for HDAC2 is at 55 kDa.

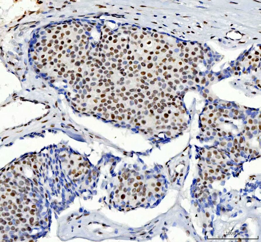
IHC analysis of HDAC2 using anti-HDAC2 antibody (BM3967).
HDAC2 was detected in a paraffin-embedded section of human breast cancer tissue. The tissue section was incubated with rabbit anti-HDAC2 Antibody (BM3967) at a dilution of 1:200 and developed using HRP Conjugated Rabbit IgG Super Vision Assay Kit (Catalog # SV0002) with DAB (Catalog # AR1027) as the chromogen.

Western blot analysis of HDAC2 using anti-HDAC2 antibody (BM3967). The sample well of each lane was loaded with 30 ug of sample under reducing conditions.
Lane 1: human HL-60 whole cell lysates,
Lane 2: human THP-1 whole cell lysates,
Lane 3: human U937 whole cell lysates,
Lane 4: human Caco-2 whole cell lysates,
Lane 5: human U2OS whole cell lysates,
Lane 6: human A431 whole cell lysates,
Lane 7: human HepG2 whole cell lysates.
After electrophoresis, proteins were transferred to a membrane. Then the membrane was incubated with rabbit anti-HDAC2 antigen affinity purified monoclonal antibody (BM3967) at a dilution of 1:1000 and probed with a goat anti-rabbit IgG-HRP secondary antibody (Catalog # BA1054). The signal is developed using ECL Plus Western Blotting Substrate (Catalog # AR1197). A specific band was detected for HDAC2 at approximately 60 kDa. The expected band size for HDAC2 is at 55 kDa.

IHC analysis of HDAC2 using anti-HDAC2 antibody (BM3967).
HDAC2 was detected in a paraffin-embedded section of human breast cancer tissue. The tissue section was incubated with rabbit anti-HDAC2 Antibody (BM3967) at a dilution of 1:200 and developed using HRP Conjugated Rabbit IgG Super Vision Assay Kit (Catalog # SV0002) with DAB (Catalog # AR1027) as the chromogen.







