| Western blot (WB): | 1:500-2000 |
| Immunohistochemistry (IHC): | 1:50-200 |

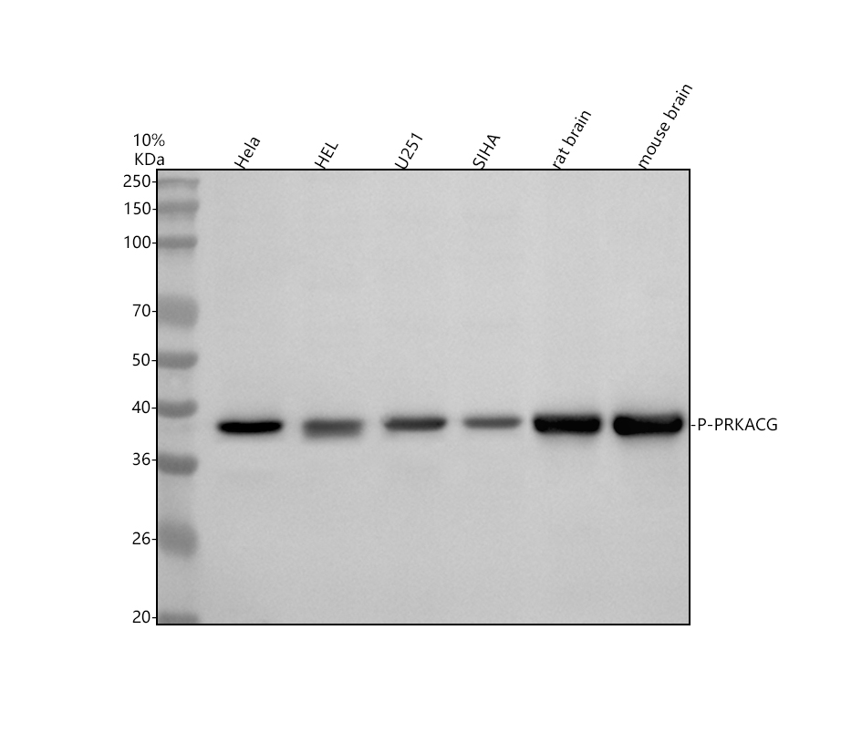
Western blot analysis of anti-P-PRKACG antibody (M00743T197). The sample well of each lane was loaded with 30 ug of sample under reducing conditions.
Lane 1: human Hela whole cell lysates,
Lane 2: human HEL whole cell lysates,
Lane 3: human U251 whole cell lysates,
Lane 4: human SIHA whole cell lysates,
Lane 5: rat brain tissue lysates,
Lane 6: mouse brain tissue lysates.
After electrophoresis, proteins were transferred to a membrane. Then the membrane was incubated with rabbit anti-P-PRKACG antigen affinity purified monoclonal antibody (M00743T197) at a dilution of 1:1000 and probed with a goat anti-rabbit IgG-HRP secondary antibody (Catalog # BA1054). The signal is developed using ECL Plus Western Blotting Substrate (Catalog # AR1197). A specific band was detected for P-PRKACG at approximately 38 kDa. The expected band size for P-PRKACG is at 40 kDa.

Western blot analysis of anti-P-PRKACG antibody (M00743T197). The sample well of each lane was loaded with 30 ug of sample under reducing conditions.
Lane 1: human Hela whole cell lysates,
Lane 2: human HEL whole cell lysates,
Lane 3: human U251 whole cell lysates,
Lane 4: human SIHA whole cell lysates,
Lane 5: rat brain tissue lysates,
Lane 6: mouse brain tissue lysates.
After electrophoresis, proteins were transferred to a membrane. Then the membrane was incubated with rabbit anti-P-PRKACG antigen affinity purified monoclonal antibody (M00743T197) at a dilution of 1:1000 and probed with a goat anti-rabbit IgG-HRP secondary antibody (Catalog # BA1054). The signal is developed using ECL Plus Western Blotting Substrate (Catalog # AR1197). A specific band was detected for P-PRKACG at approximately 38 kDa. The expected band size for P-PRKACG is at 40 kDa.


