| Western blot (WB): | 1:500~2000 |
| Immunohistochemistry (IHC): | 1:500 |

HEK293T cells were transfected with the pCMV6-ENTRY control (Left lane) or pCMV6-ENTRY CNP (Right lane) cDNA for 48 hrs and lysed. Equivalent amounts of cell lysates (5 ug per lane) were separated by SDS-PAGE and immunoblotted with anti-CNP (1:2000) (Cat# M01017-4).

Western blot analysis of extracts (35ug) from 3 different cell lines by using anti-CNP monoclonal antibody (1:500).

Equivalent amounts of cell lysates (10 ug per lane) of wild-type HeLa cells (WT) and CNP-Knockout hela cells (KO) were separated by SDS-PAGE and immunoblotted with anti-CNP monoclonal antibody M01017-4. Then the blotted membrane was stripped and reprobed with anti-HSP90AB1 antibody ([MA01692]) as a loading control (1:500).

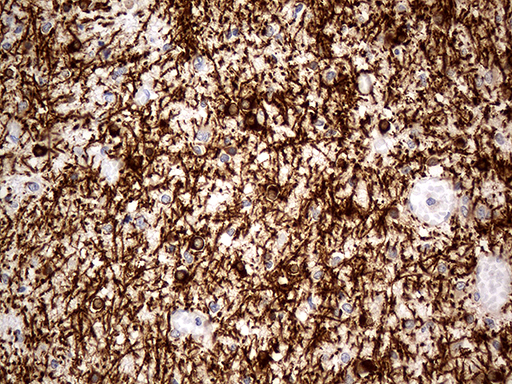
Immunohistochemical staining of paraffin-embedded Human embryonic cerebellum within the normal limits using anti-CNP mouse monoclonal antibody. (Heat-induced epitope retrieval by 1mM EDTA in 10mM Tris buffer (pH8.5) at 120°C for 3min, M01017-4) (1:500)

HEK293T cells were transfected with the pCMV6-ENTRY control (Left lane) or pCMV6-ENTRY CNP (Right lane) cDNA for 48 hrs and lysed. Equivalent amounts of cell lysates (5 ug per lane) were separated by SDS-PAGE and immunoblotted with anti-CNP (1:2000) (Cat# M01017-4).

Western blot analysis of extracts (35ug) from 3 different cell lines by using anti-CNP monoclonal antibody (1:500).

Equivalent amounts of cell lysates (10 ug per lane) of wild-type HeLa cells (WT) and CNP-Knockout hela cells (KO) were separated by SDS-PAGE and immunoblotted with anti-CNP monoclonal antibody M01017-4. Then the blotted membrane was stripped and reprobed with anti-HSP90AB1 antibody ([MA01692]) as a loading control (1:500).

Immunohistochemical staining of paraffin-embedded Human embryonic cerebellum within the normal limits using anti-CNP mouse monoclonal antibody. (Heat-induced epitope retrieval by 1mM EDTA in 10mM Tris buffer (pH8.5) at 120°C for 3min, M01017-4) (1:500)



