| Western blot (WB): | 1:500-2000 |
| Immunohistochemistry (IHC): | 1:50-400 |
| Immunofluorescence (IF): | 1:50-400 |
| Flow Cytometry (Fixed): | 1:50-200 |
| Enzyme linked immunosorbent assay (ELISA): | 1:100-1000 |
| (Boiling the paraffin sections in 10mM citrate buffer,pH6.0,or PH8.0 EDTA repair liquid for 20 mins is required for the staining of formalin/paraffin sections.) Optimal working dilutions must be determined by end user. | |

Western blot analysis of CNPase/CNP using anti-CNPase/CNP antibody (A01017-4). The sample well of each lane was loaded with 30 ug of sample under reducing conditions.
Lane 1: human Hela whole cell lysates,
Lane 2: human U251 whole cell lysates,
Lane 3: human HepG2 whole cell lysates,
Lane 4: human MOLT-4 whole cell lysates,
Lane 5: rat brain tissue lysates,
Lane 6: rat C6 whole cell lysates,
Lane 7: mouse brain tissue lysates,
Lane 8: mouse Neuro-2a whole cell lysates.
After electrophoresis, proteins were transferred to a membrane. Then the membrane was incubated with rabbit anti-CNPase/CNP antigen affinity purified polyclonal antibody (A01017-4) at a dilution of 1:1000 and probed with a goat anti-rabbit IgG-HRP secondary antibody (Catalog # BA1054). The signal is developed using ECL Plus Western Blotting Substrate (Catalog # AR1197). A specific band was detected for CNPase/CNP at approximately 48 kDa. The expected band size for CNPase/CNP is at 48 kDa.

IHC analysis of CNPase/CNP using anti-CNPase/CNP antibody (A01017-4).
CNPase/CNP was detected in a paraffin-embedded section of mouse brain tissue. The tissue section was incubated with rabbit anti-CNPase/CNP Antibody (A01017-4) at a dilution of 1:200 and developed using HRP Conjugated Rabbit IgG Super Vision Assay Kit (Catalog # SV0002) with DAB (Catalog # AR1027) as the chromogen.

IHC analysis of CNPase/CNP using anti-CNPase/CNP antibody (A01017-4).
CNPase/CNP was detected in a paraffin-embedded section of rat brain tissue. The tissue section was incubated with rabbit anti-CNPase/CNP Antibody (A01017-4) at a dilution of 1:200 and developed using HRP Conjugated Rabbit IgG Super Vision Assay Kit (Catalog # SV0002) with DAB (Catalog # AR1027) as the chromogen.

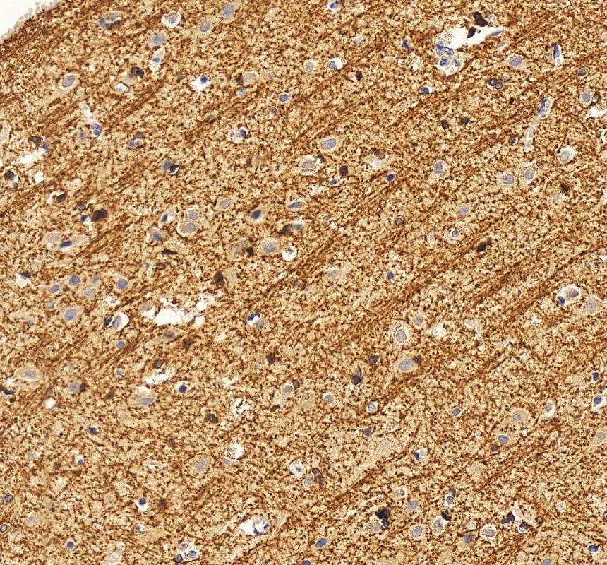
IHC analysis of CNPase/CNP using anti-CNPase/CNP antibody (A01017-4).
CNPase/CNP was detected in a paraffin-embedded section of human brain tissue. The tissue section was incubated with rabbit anti-CNPase/CNP Antibody (A01017-4) at a dilution of 1:200 and developed using HRP Conjugated Rabbit IgG Super Vision Assay Kit (Catalog # SV0002) with DAB (Catalog # AR1027) as the chromogen.

IF analysis using anti- CNP antibody (A01017-4). detected in paraffin-embedded section of mouse brain tissue. The tissue section were stained using the Fluoro550-conjugated Anti-rabbit IgG Secondary Antibody (red)(Catalog # BA1135) and counterstained with DAPI (blue).

IF analysis using anti- CNP antibody (A01017-4). detected in paraffin-embedded section of rat brain tissue. The tissue section were stained using the Fluoro550-conjugated Anti-rabbit IgG Secondary Antibody (red)(Catalog # BA1135) and counterstained with DAPI (blue).

Flow Cytometry analysis of U937 cells using anti-CNPase/CNP antibody (A01017-4).
Overlay histogram showing U937 cells stained with A01017-4 (Blue line). The cells were fixed with 4% paraformaldehyde and blocked with 10% normal goat serum. And then incubated with rabbit anti-CNPase/CNP Antibody (A01017-4) at 1:100 dilution for 30 min at 20°C. Fluoro488 conjugated goat anti-rabbit IgG (BA1127) was used as secondary antibody at 1:100 dilution for 30 minutes at 20°C. Isotype control antibody (Green line) was rabbit IgG at 1:100 dilution used under the same conditions. Unlabelled sample without incubation with primary antibody and secondary antibody (Red line) was used as a blank control.

Western blot analysis of CNPase/CNP using anti-CNPase/CNP antibody (A01017-4). The sample well of each lane was loaded with 30 ug of sample under reducing conditions.
Lane 1: human Hela whole cell lysates,
Lane 2: human U251 whole cell lysates,
Lane 3: human HepG2 whole cell lysates,
Lane 4: human MOLT-4 whole cell lysates,
Lane 5: rat brain tissue lysates,
Lane 6: rat C6 whole cell lysates,
Lane 7: mouse brain tissue lysates,
Lane 8: mouse Neuro-2a whole cell lysates.
After electrophoresis, proteins were transferred to a membrane. Then the membrane was incubated with rabbit anti-CNPase/CNP antigen affinity purified polyclonal antibody (A01017-4) at a dilution of 1:1000 and probed with a goat anti-rabbit IgG-HRP secondary antibody (Catalog # BA1054). The signal is developed using ECL Plus Western Blotting Substrate (Catalog # AR1197). A specific band was detected for CNPase/CNP at approximately 48 kDa. The expected band size for CNPase/CNP is at 48 kDa.

IHC analysis of CNPase/CNP using anti-CNPase/CNP antibody (A01017-4).
CNPase/CNP was detected in a paraffin-embedded section of mouse brain tissue. The tissue section was incubated with rabbit anti-CNPase/CNP Antibody (A01017-4) at a dilution of 1:200 and developed using HRP Conjugated Rabbit IgG Super Vision Assay Kit (Catalog # SV0002) with DAB (Catalog # AR1027) as the chromogen.

IHC analysis of CNPase/CNP using anti-CNPase/CNP antibody (A01017-4).
CNPase/CNP was detected in a paraffin-embedded section of rat brain tissue. The tissue section was incubated with rabbit anti-CNPase/CNP Antibody (A01017-4) at a dilution of 1:200 and developed using HRP Conjugated Rabbit IgG Super Vision Assay Kit (Catalog # SV0002) with DAB (Catalog # AR1027) as the chromogen.

IHC analysis of CNPase/CNP using anti-CNPase/CNP antibody (A01017-4).
CNPase/CNP was detected in a paraffin-embedded section of human brain tissue. The tissue section was incubated with rabbit anti-CNPase/CNP Antibody (A01017-4) at a dilution of 1:200 and developed using HRP Conjugated Rabbit IgG Super Vision Assay Kit (Catalog # SV0002) with DAB (Catalog # AR1027) as the chromogen.

IF analysis using anti- CNP antibody (A01017-4). detected in paraffin-embedded section of mouse brain tissue. The tissue section were stained using the Fluoro550-conjugated Anti-rabbit IgG Secondary Antibody (red)(Catalog # BA1135) and counterstained with DAPI (blue).

IF analysis using anti- CNP antibody (A01017-4). detected in paraffin-embedded section of rat brain tissue. The tissue section were stained using the Fluoro550-conjugated Anti-rabbit IgG Secondary Antibody (red)(Catalog # BA1135) and counterstained with DAPI (blue).

Flow Cytometry analysis of U937 cells using anti-CNPase/CNP antibody (A01017-4).
Overlay histogram showing U937 cells stained with A01017-4 (Blue line). The cells were fixed with 4% paraformaldehyde and blocked with 10% normal goat serum. And then incubated with rabbit anti-CNPase/CNP Antibody (A01017-4) at 1:100 dilution for 30 min at 20°C. Fluoro488 conjugated goat anti-rabbit IgG (BA1127) was used as secondary antibody at 1:100 dilution for 30 minutes at 20°C. Isotype control antibody (Green line) was rabbit IgG at 1:100 dilution used under the same conditions. Unlabelled sample without incubation with primary antibody and secondary antibody (Red line) was used as a blank control.








