| Western blot (WB): | 1:500~2000 |
| Immunohistochemistry (IHC): | 1:2000 |

Immunohistochemical staining of paraffin-embedded Adenocarcinoma of Human colon tissue using anti-IQGAP1 mouse monoclonal antibody. (Heat-induced epitope retrieval by 1mM EDTA in 10mM Tris buffer (pH8.5) at 120°C for 3min, M01603-2) (1:2000)

Immunohistochemical staining of paraffin-embedded Human pancreas tissue within the normal limits using anti-IQGAP1 mouse monoclonal antibody. (Heat-induced epitope retrieval by 1mM EDTA in 10mM Tris buffer (pH8.5) at 120°C for 3min, M01603-2) (1:2000)

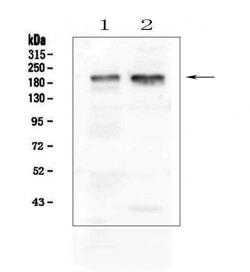
HEK293T cells were transfected with the pCMV6-ENTRY control (Left lane) or pCMV6-ENTRY IQGAP1 (Right lane) cDNA for 48 hrs and lysed. Equivalent amounts of cell lysates (5 ug per lane) were separated by SDS-PAGE and immunoblotted with anti-IQGAP1 (1:2000).

Western blot analysis of extracts (35ug) from 7 different cell lines by using anti-IQGAP1 monoclonal antibody (1:500).

Immunohistochemical staining of paraffin-embedded Adenocarcinoma of Human colon tissue using anti-IQGAP1 mouse monoclonal antibody. (Heat-induced epitope retrieval by 1mM EDTA in 10mM Tris buffer (pH8.5) at 120°C for 3min, M01603-2) (1:2000)

Immunohistochemical staining of paraffin-embedded Human pancreas tissue within the normal limits using anti-IQGAP1 mouse monoclonal antibody. (Heat-induced epitope retrieval by 1mM EDTA in 10mM Tris buffer (pH8.5) at 120°C for 3min, M01603-2) (1:2000)

HEK293T cells were transfected with the pCMV6-ENTRY control (Left lane) or pCMV6-ENTRY IQGAP1 (Right lane) cDNA for 48 hrs and lysed. Equivalent amounts of cell lysates (5 ug per lane) were separated by SDS-PAGE and immunoblotted with anti-IQGAP1 (1:2000).

Western blot analysis of extracts (35ug) from 7 different cell lines by using anti-IQGAP1 monoclonal antibody (1:500).



