| Western blot (WB): | 1:2000 |
| Immunohistochemistry (IHC): | 1:50 |
| Immunocytochemistry/Immunofluorescence (ICC/IF): | 1:100 |
| Flow cytometry (FCM): | 1:100 |

Western blot analysis of anti-HIF-1 Beta/ARNT antibody (M02263-2). The sample well of each lane was loaded with 30 ug of sample under reducing conditions.
Lane 1: human 293T whole cell lysates,
Lane 2: human Hela whole cell lysates,
Lane 3: human HepG2 whole cell lysates,
Lane 4: human THP-1 whole cell lysates.
After electrophoresis, proteins were transferred to a membrane. Then the membrane was incubated with mouse anti-HIF-1 Beta/ARNT antigen affinity purified monoclonal antibody (M02263-2) at a dilution of 1:1000 and probed with a goat anti-mouse IgG-HRP secondary antibody (Catalog # BA1050). The signal is developed using ECL Plus Western Blotting Substrate (Catalog # AR1197). A specific band was detected for HIF-1 Beta/ARNT at approximately 87 kDa. The expected band size for HIF-1 Beta/ARNT is at 87 kDa.

Immunohistochemical staining of paraffin-embedded Human prostate tissue within the normal limits using anti-ARNT mouse monoclonal antibody. (Heat-induced epitope retrieval by 10mM citric buffer, pH6.0, 100°C for 10min, M02263-2)

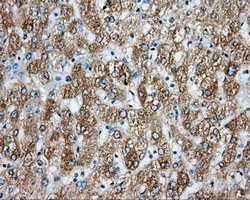
Immunohistochemical staining of paraffin-embedded Human liver tissue within the normal limits using anti-ARNT mouse monoclonal antibody. (Heat-induced epitope retrieval by 10mM citric buffer, pH6.0, 100°C for 10min, M02263-2)

Immunohistochemical staining of paraffin-embedded Human endometrium tissue within the normal limits using anti-ARNT mouse monoclonal antibody. (Heat-induced epitope retrieval by 10mM citric buffer, pH6.0, 100°C for 10min, M02263-2)

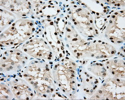
Immunohistochemical staining of paraffin-embedded Human Kidney tissue within the normal limits using anti-ARNT mouse monoclonal antibody. (Heat-induced epitope retrieval by 10mM citric buffer, pH6.0, 100°C for 10min, M02263-2)

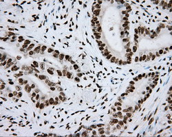
Immunohistochemical staining of paraffin-embedded Carcinoma of Human thyroid tissue using anti-ARNT mouse monoclonal antibody. (Heat-induced epitope retrieval by 10mM citric buffer, pH6.0, 100°C for 10min, M02263-2)

Immunohistochemical staining of paraffin-embedded Adenocarcinoma of Human colon tissue using anti-ARNT mouse monoclonal antibody. (Heat-induced epitope retrieval by 10mM citric buffer, pH6.0, 100°C for 10min, M02263-2)

Immunohistochemical staining of paraffin-embedded Human colon tissue within the normal limits using anti-ARNT mouse monoclonal antibody. (Heat-induced epitope retrieval by 10mM citric buffer, pH6.0, 100°C for 10min, M02263-2)

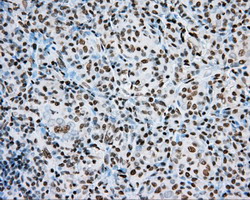
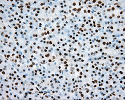
Immunohistochemical staining of paraffin-embedded Human pancreas tissue within the normal limits using anti-ARNT mouse monoclonal antibody. (Heat-induced epitope retrieval by 10mM citric buffer, pH6.0, 100°C for 10min, M02263-2)

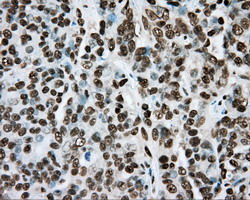
Immunohistochemical staining of paraffin-embedded Adenocarcinoma of Human ovary tissue using anti-ARNT mouse monoclonal antibody. (Heat-induced epitope retrieval by 10mM citric buffer, pH6.0, 100°C for 10min, M02263-2)

Anti-ARNT mouse monoclonal antibody immunofluorescent staining of COS7 cells transiently transfected by pCMV6-ENTRY ARNT .

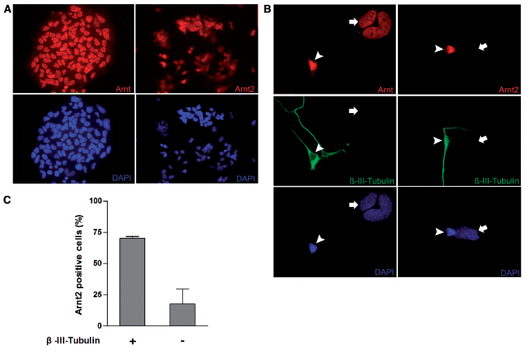
Figure from citation: Immunofluorescence of ARNT protein level by using anti-ARNT antibody in mouse neuronal cells. View Citation

HEK293T cells transfected with either overexpress plasmid (Red) or empty vector control plasmid (Blue) were immunostained by anti-ARNT antibody, and then analyzed by flow cytometry.

Flow cytometric Analysis of Jurkat cells, using anti-ARNT antibody, (Red), compared to a nonspecific negative control antibody, (Blue).

Western blot analysis of anti-HIF-1 Beta/ARNT antibody (M02263-2). The sample well of each lane was loaded with 30 ug of sample under reducing conditions.
Lane 1: human 293T whole cell lysates,
Lane 2: human Hela whole cell lysates,
Lane 3: human HepG2 whole cell lysates,
Lane 4: human THP-1 whole cell lysates.
After electrophoresis, proteins were transferred to a membrane. Then the membrane was incubated with mouse anti-HIF-1 Beta/ARNT antigen affinity purified monoclonal antibody (M02263-2) at a dilution of 1:1000 and probed with a goat anti-mouse IgG-HRP secondary antibody (Catalog # BA1050). The signal is developed using ECL Plus Western Blotting Substrate (Catalog # AR1197). A specific band was detected for HIF-1 Beta/ARNT at approximately 87 kDa. The expected band size for HIF-1 Beta/ARNT is at 87 kDa.

Immunohistochemical staining of paraffin-embedded Human prostate tissue within the normal limits using anti-ARNT mouse monoclonal antibody. (Heat-induced epitope retrieval by 10mM citric buffer, pH6.0, 100°C for 10min, M02263-2)

Immunohistochemical staining of paraffin-embedded Human liver tissue within the normal limits using anti-ARNT mouse monoclonal antibody. (Heat-induced epitope retrieval by 10mM citric buffer, pH6.0, 100°C for 10min, M02263-2)

Immunohistochemical staining of paraffin-embedded Human endometrium tissue within the normal limits using anti-ARNT mouse monoclonal antibody. (Heat-induced epitope retrieval by 10mM citric buffer, pH6.0, 100°C for 10min, M02263-2)

Immunohistochemical staining of paraffin-embedded Human Kidney tissue within the normal limits using anti-ARNT mouse monoclonal antibody. (Heat-induced epitope retrieval by 10mM citric buffer, pH6.0, 100°C for 10min, M02263-2)

Immunohistochemical staining of paraffin-embedded Carcinoma of Human thyroid tissue using anti-ARNT mouse monoclonal antibody. (Heat-induced epitope retrieval by 10mM citric buffer, pH6.0, 100°C for 10min, M02263-2)

Immunohistochemical staining of paraffin-embedded Adenocarcinoma of Human colon tissue using anti-ARNT mouse monoclonal antibody. (Heat-induced epitope retrieval by 10mM citric buffer, pH6.0, 100°C for 10min, M02263-2)

Immunohistochemical staining of paraffin-embedded Human colon tissue within the normal limits using anti-ARNT mouse monoclonal antibody. (Heat-induced epitope retrieval by 10mM citric buffer, pH6.0, 100°C for 10min, M02263-2)

Immunohistochemical staining of paraffin-embedded Human pancreas tissue within the normal limits using anti-ARNT mouse monoclonal antibody. (Heat-induced epitope retrieval by 10mM citric buffer, pH6.0, 100°C for 10min, M02263-2)

Immunohistochemical staining of paraffin-embedded Adenocarcinoma of Human ovary tissue using anti-ARNT mouse monoclonal antibody. (Heat-induced epitope retrieval by 10mM citric buffer, pH6.0, 100°C for 10min, M02263-2)

Anti-ARNT mouse monoclonal antibody immunofluorescent staining of COS7 cells transiently transfected by pCMV6-ENTRY ARNT .

Figure from citation: Immunofluorescence of ARNT protein level by using anti-ARNT antibody in mouse neuronal cells. View Citation

HEK293T cells transfected with either overexpress plasmid (Red) or empty vector control plasmid (Blue) were immunostained by anti-ARNT antibody, and then analyzed by flow cytometry.

Flow cytometric Analysis of Jurkat cells, using anti-ARNT antibody, (Red), compared to a nonspecific negative control antibody, (Blue).













