| Western blot (WB): | 1:500-2000 |
| Immunohistochemistry in paraffin section IHC | 1:50-400 |
| (Boiling the paraffin sections in 10mM citrate buffer,pH6.0,or PH8.0 EDTA repair liquid for 20 mins is required for the staining of formalin/paraffin sections.) Optimal working dilutions must be determined by end user. | |

Western blot analysis of GSDMD using anti-GSDMD antibody (M02842-1). The sample well of each lane was loaded with 30 ug of sample under reducing conditions.
Lane 1: THP-1 whole cell lysates,
Lane 2: SW620 whole cell lysates,
Lane 3: Jurkat whole cell lysates,
Lane 4: U87 whole cell lysates,
Lane 5: PC-3 whole cell lysates.
After electrophoresis, proteins were transferred to a membrane. Then the membrane was incubated with mouse anti-GSDMD antigen affinity purified monoclonal antibody (M02842-1) at a dilution of 1:1000 and probed with a goat anti-mouse IgG-HRP secondary antibody (Catalog # BA1050). The signal is developed using ECL Plus Western Blotting Substrate (Catalog # AR1197). A specific band was detected for GSDMD at approximately 53,30 kDa. The expected band size for GSDMD is at 53 kDa.

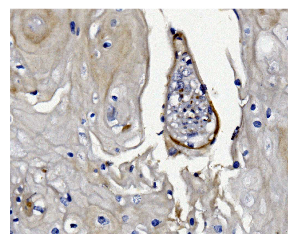
IHC analysis of GSDMD using anti-GSDMD antibody (M02842-1).
GSDMD was detected in a paraffin-embedded section of human esophagus tissue. Biotinylated goat anti-mouse IgG was used as secondary antibody. The tissue section was incubated with mouse anti-GSDMD Antibody (M02842-1) at a dilution of 1:200 and developed using Strepavidin-Biotin-Complex (SABC) (Catalog # SA1021) with DAB (Catalog # AR1027) as the chromogen.

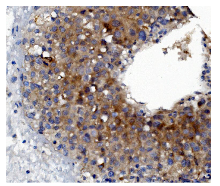
IHC analysis of GSDMD using anti-GSDMD antibody (M02842-1).
GSDMD was detected in a paraffin-embedded section of human liver cancer tissue. Biotinylated goat anti-mouse IgG was used as secondary antibody. The tissue section was incubated with mouse anti-GSDMD Antibody (M02842-1) at a dilution of 1:200 and developed using Strepavidin-Biotin-Complex (SABC) (Catalog # SA1021) with DAB (Catalog # AR1027) as the chromogen.

IHC analysis of GSDMD using anti-GSDMD antibody (M02842-1).
GSDMD was detected in a paraffin-embedded section of human lymph gland tissue. Biotinylated goat anti-mouse IgG was used as secondary antibody. The tissue section was incubated with mouse anti-GSDMD Antibody (M02842-1) at a dilution of 1:200 and developed using Strepavidin-Biotin-Complex (SABC) (Catalog # SA1021) with DAB (Catalog # AR1027) as the chromogen.

Western blot analysis of GSDMD using anti-GSDMD antibody (M02842-1). The sample well of each lane was loaded with 30 ug of sample under reducing conditions.
Lane 1: THP-1 whole cell lysates,
Lane 2: SW620 whole cell lysates,
Lane 3: Jurkat whole cell lysates,
Lane 4: U87 whole cell lysates,
Lane 5: PC-3 whole cell lysates.
After electrophoresis, proteins were transferred to a membrane. Then the membrane was incubated with mouse anti-GSDMD antigen affinity purified monoclonal antibody (M02842-1) at a dilution of 1:1000 and probed with a goat anti-mouse IgG-HRP secondary antibody (Catalog # BA1050). The signal is developed using ECL Plus Western Blotting Substrate (Catalog # AR1197). A specific band was detected for GSDMD at approximately 53,30 kDa. The expected band size for GSDMD is at 53 kDa.

IHC analysis of GSDMD using anti-GSDMD antibody (M02842-1).
GSDMD was detected in a paraffin-embedded section of human esophagus tissue. Biotinylated goat anti-mouse IgG was used as secondary antibody. The tissue section was incubated with mouse anti-GSDMD Antibody (M02842-1) at a dilution of 1:200 and developed using Strepavidin-Biotin-Complex (SABC) (Catalog # SA1021) with DAB (Catalog # AR1027) as the chromogen.

IHC analysis of GSDMD using anti-GSDMD antibody (M02842-1).
GSDMD was detected in a paraffin-embedded section of human liver cancer tissue. Biotinylated goat anti-mouse IgG was used as secondary antibody. The tissue section was incubated with mouse anti-GSDMD Antibody (M02842-1) at a dilution of 1:200 and developed using Strepavidin-Biotin-Complex (SABC) (Catalog # SA1021) with DAB (Catalog # AR1027) as the chromogen.

IHC analysis of GSDMD using anti-GSDMD antibody (M02842-1).
GSDMD was detected in a paraffin-embedded section of human lymph gland tissue. Biotinylated goat anti-mouse IgG was used as secondary antibody. The tissue section was incubated with mouse anti-GSDMD Antibody (M02842-1) at a dilution of 1:200 and developed using Strepavidin-Biotin-Complex (SABC) (Catalog # SA1021) with DAB (Catalog # AR1027) as the chromogen.



