| Western blot (WB): | 1:500-2000 |
| Immunohistochemistry (IHC): | 1:50-200 |
| Immunocytochemistry/Immunofluorescence (ICC/IF): | 1:50-200 |

Western blot analysis of anti-PIN4 antibody (M05181-1). The sample well of each lane was loaded with 30 ug of sample under reducing conditions.
Lane 1: human HepG2 whole cell lysates,
Lane 2: human Hela whole cell lysates,
Lane 3: rat liver tissue lysates,
Lane 4: rat brain tissue lysates,
Lane 5: mouse liver tissue lysates,
Lane 6: mouse brain tissue lysates.
After electrophoresis, proteins were transferred to a membrane. Then the membrane was incubated with rabbit anti-PIN4 antigen affinity purified monoclonal antibody (M05181-1) at a dilution of 1:1000 and probed with a goat anti-rabbit IgG-HRP secondary antibody (Catalog # BA1054). The signal is developed using ECL Plus Western Blotting Substrate (Catalog # AR1197). A specific band was detected for PIN4 at approximately 14 kDa. The expected band size for PIN4 is at 14 kDa.

IHC analysis of PIN4 using anti-PIN4 antibody (M05181-1) .
PIN4 was detected in a paraffin-embedded section of human prostate cancer tissue. The tissue section was incubated with rabbit anti-PIN4 Antibody (M05181-1) at a dilution of 1:200 and developed using HRP Conjugated Rabbit IgG Super Vision Assay Kit (Catalog # SV0002) with DAB (Catalog # AR1027) as the chromogen.

IHC analysis of PIN4 using anti-PIN4 antibody (M05181-1) .
PIN4 was detected in a paraffin-embedded section of human prostate cancer tissue. The tissue section was incubated with rabbit anti-PIN4 Antibody (M05181-1) at a dilution of 1:200 and developed using HRP Conjugated Rabbit IgG Super Vision Assay Kit (Catalog # SV0002) with DAB (Catalog # AR1027) as the chromogen.

Western blot analysis of anti-PIN4 antibody (M05181-1). The sample well of each lane was loaded with 30 ug of sample under reducing conditions.
Lane 1: human HepG2 whole cell lysates,
Lane 2: human Hela whole cell lysates,
Lane 3: rat liver tissue lysates,
Lane 4: rat brain tissue lysates,
Lane 5: mouse liver tissue lysates,
Lane 6: mouse brain tissue lysates.
After electrophoresis, proteins were transferred to a membrane. Then the membrane was incubated with rabbit anti-PIN4 antigen affinity purified monoclonal antibody (M05181-1) at a dilution of 1:1000 and probed with a goat anti-rabbit IgG-HRP secondary antibody (Catalog # BA1054). The signal is developed using ECL Plus Western Blotting Substrate (Catalog # AR1197). A specific band was detected for PIN4 at approximately 14 kDa. The expected band size for PIN4 is at 14 kDa.

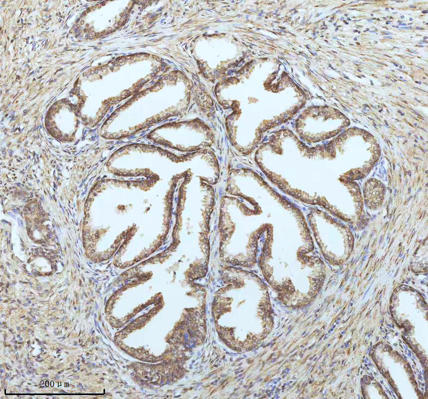
IHC analysis of PIN4 using anti-PIN4 antibody (M05181-1) .
PIN4 was detected in a paraffin-embedded section of human prostate cancer tissue. The tissue section was incubated with rabbit anti-PIN4 Antibody (M05181-1) at a dilution of 1:200 and developed using HRP Conjugated Rabbit IgG Super Vision Assay Kit (Catalog # SV0002) with DAB (Catalog # AR1027) as the chromogen.

IHC analysis of PIN4 using anti-PIN4 antibody (M05181-1) .
PIN4 was detected in a paraffin-embedded section of human prostate cancer tissue. The tissue section was incubated with rabbit anti-PIN4 Antibody (M05181-1) at a dilution of 1:200 and developed using HRP Conjugated Rabbit IgG Super Vision Assay Kit (Catalog # SV0002) with DAB (Catalog # AR1027) as the chromogen.




