| Western blot (WB): | 1:500-2000 |
| Immunohistochemistry (IHC): | 1:50-200 |
| Immunocytochemistry/Immunofluorescence (ICC/IF): | 1:50-200 |
| Flow Cytometry (FCM): | 1:50 |

Western blot analysis of anti-HNRNPM antibody (M06017-1). The sample well of each lane was loaded with 30 ug of sample under reducing conditions.
Lane 1: human Hela whole cell lysates,
Lane 2: human Jurkat whole cell lysates,
Lane 3: human HepG2 whole cell lysates,
Lane 4: human MCF-7 whole cell lysates,
Lane 5: rat liver tissue lysates,
Lane 6: rat lung tissue lysates,
Lane 7: mouse liver tissue lysates,
Lane 8: mouse lung tissue lysates.
After electrophoresis, proteins were transferred to a membrane. Then the membrane was incubated with rabbit anti-HNRNPM antigen affinity purified monoclonal antibody (M06017-1) at a dilution of 1:1000 and probed with a goat anti-rabbit IgG-HRP secondary antibody (Catalog # BA1054). The signal is developed using ECL Plus Western Blotting Substrate (Catalog # AR1197). A specific band was detected for HNRNPM at approximately 73 kDa. The expected band size for HNRNPM is at 78 kDa.

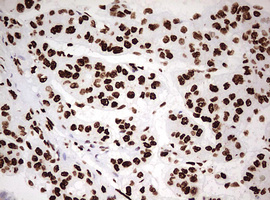
IHC analysis of HNRNPM using anti-HNRNPM antibody (M06017-1) .
HNRNPM was detected in a paraffin-embedded section of human rectal cancer tissue. The tissue section was incubated with rabbit anti-HNRNPM Antibody (M06017-1) at a dilution of 1:200 and developed using HRP Conjugated Rabbit IgG Super Vision Assay Kit (Catalog # SV0002) with DAB (Catalog # AR1027) as the chromogen.

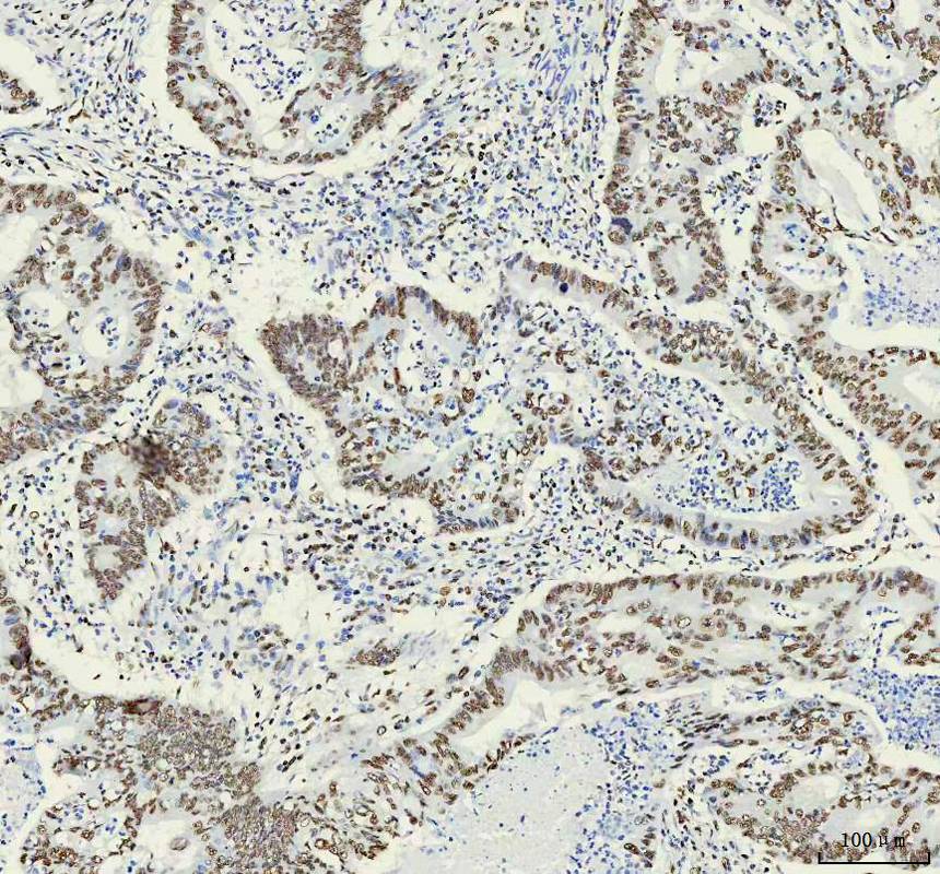
IHC analysis of HNRNPM using anti-HNRNPM antibody (M06017-1) .
HNRNPM was detected in a paraffin-embedded section of human stomach cancer tissue. The tissue section was incubated with rabbit anti-HNRNPM Antibody (M06017-1) at a dilution of 1:200 and developed using HRP Conjugated Rabbit IgG Super Vision Assay Kit (Catalog # SV0002) with DAB (Catalog # AR1027) as the chromogen.

IHC analysis of HNRNPM using anti-HNRNPM antibody (M06017-1) .
HNRNPM was detected in a paraffin-embedded section of mouse liver tissue. The tissue section was incubated with rabbit anti-HNRNPM Antibody (M06017-1) at a dilution of 1:200 and developed using HRP Conjugated Rabbit IgG Super Vision Assay Kit (Catalog # SV0002) with DAB (Catalog # AR1027) as the chromogen.

IHC analysis of HNRNPM using anti-HNRNPM antibody (M06017-1) .
HNRNPM was detected in a paraffin-embedded section of rat liver tissue. The tissue section was incubated with rabbit anti-HNRNPM Antibody (M06017-1) at a dilution of 1:200 and developed using HRP Conjugated Rabbit IgG Super Vision Assay Kit (Catalog # SV0002) with DAB (Catalog # AR1027) as the chromogen.

Western blot analysis of anti-HNRNPM antibody (M06017-1). The sample well of each lane was loaded with 30 ug of sample under reducing conditions.
Lane 1: human Hela whole cell lysates,
Lane 2: human Jurkat whole cell lysates,
Lane 3: human HepG2 whole cell lysates,
Lane 4: human MCF-7 whole cell lysates,
Lane 5: rat liver tissue lysates,
Lane 6: rat lung tissue lysates,
Lane 7: mouse liver tissue lysates,
Lane 8: mouse lung tissue lysates.
After electrophoresis, proteins were transferred to a membrane. Then the membrane was incubated with rabbit anti-HNRNPM antigen affinity purified monoclonal antibody (M06017-1) at a dilution of 1:1000 and probed with a goat anti-rabbit IgG-HRP secondary antibody (Catalog # BA1054). The signal is developed using ECL Plus Western Blotting Substrate (Catalog # AR1197). A specific band was detected for HNRNPM at approximately 73 kDa. The expected band size for HNRNPM is at 78 kDa.

IHC analysis of HNRNPM using anti-HNRNPM antibody (M06017-1) .
HNRNPM was detected in a paraffin-embedded section of human rectal cancer tissue. The tissue section was incubated with rabbit anti-HNRNPM Antibody (M06017-1) at a dilution of 1:200 and developed using HRP Conjugated Rabbit IgG Super Vision Assay Kit (Catalog # SV0002) with DAB (Catalog # AR1027) as the chromogen.

IHC analysis of HNRNPM using anti-HNRNPM antibody (M06017-1) .
HNRNPM was detected in a paraffin-embedded section of human stomach cancer tissue. The tissue section was incubated with rabbit anti-HNRNPM Antibody (M06017-1) at a dilution of 1:200 and developed using HRP Conjugated Rabbit IgG Super Vision Assay Kit (Catalog # SV0002) with DAB (Catalog # AR1027) as the chromogen.

IHC analysis of HNRNPM using anti-HNRNPM antibody (M06017-1) .
HNRNPM was detected in a paraffin-embedded section of mouse liver tissue. The tissue section was incubated with rabbit anti-HNRNPM Antibody (M06017-1) at a dilution of 1:200 and developed using HRP Conjugated Rabbit IgG Super Vision Assay Kit (Catalog # SV0002) with DAB (Catalog # AR1027) as the chromogen.

IHC analysis of HNRNPM using anti-HNRNPM antibody (M06017-1) .
HNRNPM was detected in a paraffin-embedded section of rat liver tissue. The tissue section was incubated with rabbit anti-HNRNPM Antibody (M06017-1) at a dilution of 1:200 and developed using HRP Conjugated Rabbit IgG Super Vision Assay Kit (Catalog # SV0002) with DAB (Catalog # AR1027) as the chromogen.








