| Western blot (WB): | 1:2000 |
| Immunohistochemistry (IHC): | 1:150 |

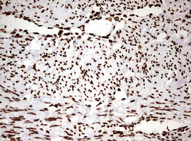
Immunohistochemical staining of paraffin-embedded Carcinoma of Human liver tissue using anti-HNRNPM mouse monoclonal antibody. (Heat-induced epitope retrieval by 10mM citric buffer, pH6.0, 120°C for 3min, M06017-2)

Immunohistochemical staining of paraffin-embedded Adenocarcinoma of Human endometrium tissue using anti-HNRNPM mouse monoclonal antibody. (Heat-induced epitope retrieval by 10mM citric buffer, pH6.0, 120°C for 3min, M06017-2)

Immunohistochemical staining of paraffin-embedded Human liver tissue within the normal limits using anti-HNRNPM mouse monoclonal antibody. (Heat-induced epitope retrieval by 10mM citric buffer, pH6.0, 120°C for 3min, M06017-2)

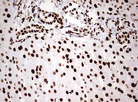
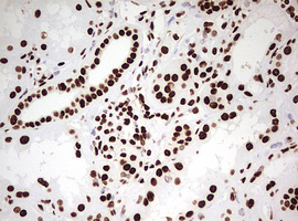
Immunohistochemical staining of paraffin-embedded Carcinoma of Human kidney tissue using anti-HNRNPM mouse monoclonal antibody. (Heat-induced epitope retrieval by 10mM citric buffer, pH6.0, 120°C for 3min, M06017-2)

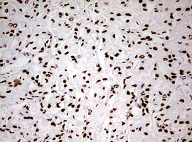
Immunohistochemical staining of paraffin-embedded Carcinoma of Human thyroid tissue using anti-HNRNPM mouse monoclonal antibody. (Heat-induced epitope retrieval by 10mM citric buffer, pH6.0, 120°C for 3min, M06017-2)

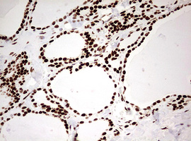
Immunohistochemical staining of paraffin-embedded Human Kidney tissue within the normal limits using anti-HNRNPM mouse monoclonal antibody. (Heat-induced epitope retrieval by 10mM citric buffer, pH6.0, 120°C for 3min, M06017-2)

Immunohistochemical staining of paraffin-embedded Human thyroid tissue within the normal limits using anti-HNRNPM mouse monoclonal antibody. (Heat-induced epitope retrieval by 10mM citric buffer, pH6.0, 120°C for 3min, M06017-2)

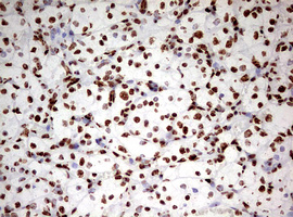
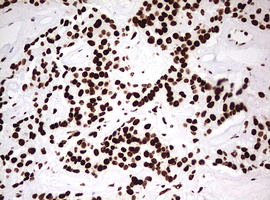
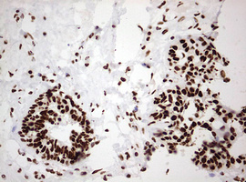
Immunohistochemical staining of paraffin-embedded Carcinoma of Human pancreas tissue using anti-HNRNPM mouse monoclonal antibody. (Heat-induced epitope retrieval by 10mM citric buffer, pH6.0, 120°C for 3min, M06017-2)

Immunohistochemical staining of paraffin-embedded Human tonsil within the normal limits using anti-HNRNPM mouse monoclonal antibody. (Heat-induced epitope retrieval by 10mM citric buffer, pH6.0, 120°C for 3min, M06017-2)

Immunohistochemical staining of paraffin-embedded Adenocarcinoma of Human breast tissue using anti-HNRNPM mouse monoclonal antibody. (Heat-induced epitope retrieval by 10mM citric buffer, pH6.0, 120°C for 3min, M06017-2)

Immunohistochemical staining of paraffin-embedded Human pancreas tissue within the normal limits using anti-HNRNPM mouse monoclonal antibody. (Heat-induced epitope retrieval by 10mM citric buffer, pH6.0, 120°C for 3min, M06017-2)

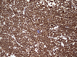
Immunohistochemical staining of paraffin-embedded Human lymphoma tissue using anti-HNRNPM mouse monoclonal antibody. (Heat-induced epitope retrieval by 10mM citric buffer, pH6.0, 120°C for 3min, M06017-2)

Immunohistochemical staining of paraffin-embedded Human breast tissue within the normal limits using anti-HNRNPM mouse monoclonal antibody. (Heat-induced epitope retrieval by 10mM citric buffer, pH6.0, 120°C for 3min, M06017-2)

Immunohistochemical staining of paraffin-embedded Human lymph node tissue within the normal limits using anti-HNRNPM mouse monoclonal antibody. (Heat-induced epitope retrieval by 10mM citric buffer, pH6.0, 120°C for 3min, M06017-2)

Immunohistochemical staining of paraffin-embedded Adenocarcinoma of Human ovary tissue using anti-HNRNPM mouse monoclonal antibody. (Heat-induced epitope retrieval by 10mM citric buffer, pH6.0, 120°C for 3min, M06017-2)

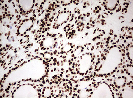
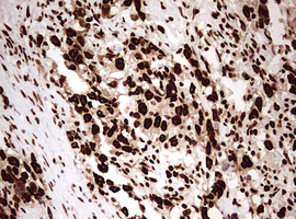
Immunohistochemical staining of paraffin-embedded Carcinoma of Human prostate tissue using anti-HNRNPM mouse monoclonal antibody. (Heat-induced epitope retrieval by 10mM citric buffer, pH6.0, 120°C for 3min, M06017-2)

HEK293T cells were transfected with the pCMV6-ENTRY control (Left lane) or pCMV6-ENTRY HNRNPM (Right lane) cDNA for 48 hrs and lysed. Equivalent amounts of cell lysates (5 ug per lane) were separated by SDS-PAGE and immunoblotted with anti-HNRNPM.

Immunohistochemical staining of paraffin-embedded Carcinoma of Human liver tissue using anti-HNRNPM mouse monoclonal antibody. (Heat-induced epitope retrieval by 10mM citric buffer, pH6.0, 120°C for 3min, M06017-2)

Immunohistochemical staining of paraffin-embedded Adenocarcinoma of Human endometrium tissue using anti-HNRNPM mouse monoclonal antibody. (Heat-induced epitope retrieval by 10mM citric buffer, pH6.0, 120°C for 3min, M06017-2)

Immunohistochemical staining of paraffin-embedded Human liver tissue within the normal limits using anti-HNRNPM mouse monoclonal antibody. (Heat-induced epitope retrieval by 10mM citric buffer, pH6.0, 120°C for 3min, M06017-2)

Immunohistochemical staining of paraffin-embedded Carcinoma of Human kidney tissue using anti-HNRNPM mouse monoclonal antibody. (Heat-induced epitope retrieval by 10mM citric buffer, pH6.0, 120°C for 3min, M06017-2)

Immunohistochemical staining of paraffin-embedded Carcinoma of Human thyroid tissue using anti-HNRNPM mouse monoclonal antibody. (Heat-induced epitope retrieval by 10mM citric buffer, pH6.0, 120°C for 3min, M06017-2)

Immunohistochemical staining of paraffin-embedded Human Kidney tissue within the normal limits using anti-HNRNPM mouse monoclonal antibody. (Heat-induced epitope retrieval by 10mM citric buffer, pH6.0, 120°C for 3min, M06017-2)

Immunohistochemical staining of paraffin-embedded Human thyroid tissue within the normal limits using anti-HNRNPM mouse monoclonal antibody. (Heat-induced epitope retrieval by 10mM citric buffer, pH6.0, 120°C for 3min, M06017-2)

Immunohistochemical staining of paraffin-embedded Carcinoma of Human pancreas tissue using anti-HNRNPM mouse monoclonal antibody. (Heat-induced epitope retrieval by 10mM citric buffer, pH6.0, 120°C for 3min, M06017-2)

Immunohistochemical staining of paraffin-embedded Human tonsil within the normal limits using anti-HNRNPM mouse monoclonal antibody. (Heat-induced epitope retrieval by 10mM citric buffer, pH6.0, 120°C for 3min, M06017-2)

Immunohistochemical staining of paraffin-embedded Adenocarcinoma of Human breast tissue using anti-HNRNPM mouse monoclonal antibody. (Heat-induced epitope retrieval by 10mM citric buffer, pH6.0, 120°C for 3min, M06017-2)

Immunohistochemical staining of paraffin-embedded Human pancreas tissue within the normal limits using anti-HNRNPM mouse monoclonal antibody. (Heat-induced epitope retrieval by 10mM citric buffer, pH6.0, 120°C for 3min, M06017-2)

Immunohistochemical staining of paraffin-embedded Human lymphoma tissue using anti-HNRNPM mouse monoclonal antibody. (Heat-induced epitope retrieval by 10mM citric buffer, pH6.0, 120°C for 3min, M06017-2)

Immunohistochemical staining of paraffin-embedded Human breast tissue within the normal limits using anti-HNRNPM mouse monoclonal antibody. (Heat-induced epitope retrieval by 10mM citric buffer, pH6.0, 120°C for 3min, M06017-2)

Immunohistochemical staining of paraffin-embedded Human lymph node tissue within the normal limits using anti-HNRNPM mouse monoclonal antibody. (Heat-induced epitope retrieval by 10mM citric buffer, pH6.0, 120°C for 3min, M06017-2)

Immunohistochemical staining of paraffin-embedded Adenocarcinoma of Human ovary tissue using anti-HNRNPM mouse monoclonal antibody. (Heat-induced epitope retrieval by 10mM citric buffer, pH6.0, 120°C for 3min, M06017-2)

Immunohistochemical staining of paraffin-embedded Carcinoma of Human prostate tissue using anti-HNRNPM mouse monoclonal antibody. (Heat-induced epitope retrieval by 10mM citric buffer, pH6.0, 120°C for 3min, M06017-2)

HEK293T cells were transfected with the pCMV6-ENTRY control (Left lane) or pCMV6-ENTRY HNRNPM (Right lane) cDNA for 48 hrs and lysed. Equivalent amounts of cell lysates (5 ug per lane) were separated by SDS-PAGE and immunoblotted with anti-HNRNPM.
















