| Western blot (WB): | 1:200~1000 |
| Immunohistochemistry (IHC): | 1:150 |
| Immunocytochemistry/Immunofluorescence (ICC/IF): | 1:100 |

Western blot analysis of anti-NONO antibody (MA03515). The sample well of each lane was loaded with 30 ug of sample under reducing conditions.
Lane 1: human HepG2 whole cell lysates,
Lane 2: human Hela whole cell lysates,
Lane 3: human Jurkat whole cell lysates,
Lane 4: monkey COS-7 whole cell lysates,
Lane 5: rat brain tissue lysates,
Lane 6: mouse brain tissue lysates.
After electrophoresis, proteins were transferred to a membrane. Then the membrane was incubated with mouse anti-NONO antigen affinity purified monoclonal antibody (MA03515) and probed with a goat anti-mouse IgG-HRP secondary antibody (Catalog # BA1050). The signal is developed using ECL Plus Western Blotting Substrate (Catalog # AR1197). A specific band was detected for NONO at approximately 60 kDa. The expected band size for NONO is at 54 kDa.

Immunohistochemical staining of paraffin-embedded Adenocarcinoma of Human endometrium tissue using anti-NONO mouse monoclonal antibody. (Heat-induced epitope retrieval by 10mM citric buffer, pH6.0, 120°C for 3min, MA03515)

Immunohistochemical staining of paraffin-embedded Human liver tissue within the normal limits using anti-NONO mouse monoclonal antibody. (Heat-induced epitope retrieval by 10mM citric buffer, pH6.0, 120°C for 3min, MA03515)

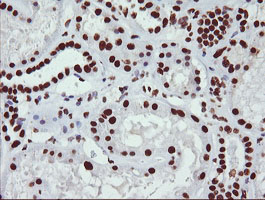
Immunohistochemical staining of paraffin-embedded Human Kidney tissue within the normal limits using anti-NONO mouse monoclonal antibody. (Heat-induced epitope retrieval by 10mM citric buffer, pH6.0, 120°C for 3min, MA03515)

Immunohistochemical staining of paraffin-embedded Human tonsil within the normal limits using anti-NONO mouse monoclonal antibody. (Heat-induced epitope retrieval by 10mM citric buffer, pH6.0, 120°C for 3min, MA03515)

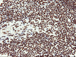
Immunohistochemical staining of paraffin-embedded Human lymphoma tissue using anti-NONO mouse monoclonal antibody. (Heat-induced epitope retrieval by 10mM citric buffer, pH6.0, 120°C for 3min, MA03515)

Immunohistochemical staining of paraffin-embedded Human pancreas tissue within the normal limits using anti-NONO mouse monoclonal antibody. (Heat-induced epitope retrieval by 10mM citric buffer, pH6.0, 120°C for 3min, MA03515)

Immunohistochemical staining of paraffin-embedded Adenocarcinoma of Human ovary tissue using anti-NONO mouse monoclonal antibody. (Heat-induced epitope retrieval by 10mM citric buffer, pH6.0, 120°C for 3min, MA03515)

Immunohistochemical staining of paraffin-embedded Carcinoma of Human lung tissue using anti-NONO mouse monoclonal antibody. (Heat-induced epitope retrieval by 10mM citric buffer, pH6.0, 120°C for 3min, MA03515)

Anti-NONO mouse monoclonal antibody immunofluorescent staining of COS7 cells transiently transfected by pCMV6-ENTRY NONO .

Western blot analysis of anti-NONO antibody (MA03515). The sample well of each lane was loaded with 30 ug of sample under reducing conditions.
Lane 1: human HepG2 whole cell lysates,
Lane 2: human Hela whole cell lysates,
Lane 3: human Jurkat whole cell lysates,
Lane 4: monkey COS-7 whole cell lysates,
Lane 5: rat brain tissue lysates,
Lane 6: mouse brain tissue lysates.
After electrophoresis, proteins were transferred to a membrane. Then the membrane was incubated with mouse anti-NONO antigen affinity purified monoclonal antibody (MA03515) and probed with a goat anti-mouse IgG-HRP secondary antibody (Catalog # BA1050). The signal is developed using ECL Plus Western Blotting Substrate (Catalog # AR1197). A specific band was detected for NONO at approximately 60 kDa. The expected band size for NONO is at 54 kDa.

Immunohistochemical staining of paraffin-embedded Adenocarcinoma of Human endometrium tissue using anti-NONO mouse monoclonal antibody. (Heat-induced epitope retrieval by 10mM citric buffer, pH6.0, 120°C for 3min, MA03515)

Immunohistochemical staining of paraffin-embedded Human liver tissue within the normal limits using anti-NONO mouse monoclonal antibody. (Heat-induced epitope retrieval by 10mM citric buffer, pH6.0, 120°C for 3min, MA03515)

Immunohistochemical staining of paraffin-embedded Human Kidney tissue within the normal limits using anti-NONO mouse monoclonal antibody. (Heat-induced epitope retrieval by 10mM citric buffer, pH6.0, 120°C for 3min, MA03515)

Immunohistochemical staining of paraffin-embedded Human tonsil within the normal limits using anti-NONO mouse monoclonal antibody. (Heat-induced epitope retrieval by 10mM citric buffer, pH6.0, 120°C for 3min, MA03515)

Immunohistochemical staining of paraffin-embedded Human lymphoma tissue using anti-NONO mouse monoclonal antibody. (Heat-induced epitope retrieval by 10mM citric buffer, pH6.0, 120°C for 3min, MA03515)

Immunohistochemical staining of paraffin-embedded Human pancreas tissue within the normal limits using anti-NONO mouse monoclonal antibody. (Heat-induced epitope retrieval by 10mM citric buffer, pH6.0, 120°C for 3min, MA03515)

Immunohistochemical staining of paraffin-embedded Adenocarcinoma of Human ovary tissue using anti-NONO mouse monoclonal antibody. (Heat-induced epitope retrieval by 10mM citric buffer, pH6.0, 120°C for 3min, MA03515)

Immunohistochemical staining of paraffin-embedded Carcinoma of Human lung tissue using anti-NONO mouse monoclonal antibody. (Heat-induced epitope retrieval by 10mM citric buffer, pH6.0, 120°C for 3min, MA03515)

Anti-NONO mouse monoclonal antibody immunofluorescent staining of COS7 cells transiently transfected by pCMV6-ENTRY NONO .









