| Western blot (WB): | 1:2000 |
| Immunohistochemistry (IHC): | 1:50 |

Immunohistochemical staining of paraffin-embedded prostate tissue within the normal limits using anti-FOSL1mouse monoclonal antibody. (Heat-induced epitope retrieval by 10mM citric buffer, pH6.0, 100°C for 10min, MA03927, Dilution 1:50)

Immunohistochemical staining of paraffin-embedded endometrium tissue within the normal limits using anti-FOSL1mouse monoclonal antibody. (Heat-induced epitope retrieval by 10mM citric buffer, pH6.0, 100°C for 10min, MA03927, Dilution 1:50)

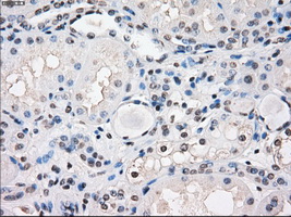
Immunohistochemical staining of paraffin-embedded Kidney tissue within the normal limits using anti-FOSL1mouse monoclonal antibody. (Heat-induced epitope retrieval by 10mM citric buffer, pH6.0, 100°C for 10min, MA03927, Dilution 1:50)

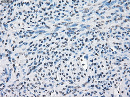
Immunohistochemical staining of paraffin-embedded Adenocarcinoma of colon tissue using anti-FOSL1mouse monoclonal antibody. (Heat-induced epitope retrieval by 10mM citric buffer, pH6.0, 100°C for 10min, MA03927, Dilution 1:50)

Immunohistochemical staining of paraffin-embedded colon tissue within the normal limits using anti-FOSL1mouse monoclonal antibody. (Heat-induced epitope retrieval by 10mM citric buffer, pH6.0, 100°C for 10min, MA03927, Dilution 1:50)

Immunohistochemical staining of paraffin-embedded Adenocarcinoma of breast tissue using anti-FOSL1 mouse monoclonal antibody. (Heat-induced epitope retrieval by 10mM citric buffer, pH6.0, 100°C for 10min, MA03927, Dilution 1:50)

Immunohistochemical staining of paraffin-embedded Adenocarcinoma of ovary tissue using anti-FOSL1mouse monoclonal antibody. (Heat-induced epitope retrieval by 10mM citric buffer, pH6.0, 100°C for 10min, MA03927, Dilution 1:50)

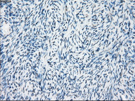
Immunohistochemical staining of paraffin-embedded Carcinoma of bladder tissue using anti-FOSL1mouse monoclonal antibody. (Heat-induced epitope retrieval by 10mM citric buffer, pH6.0, 100°C for 10min, MA03927, Dilution 1:50)

Immunohistochemical staining of paraffin-embedded Ovary tissue within the normal limits using anti-FOSL1mouse monoclonal antibody. (Heat-induced epitope retrieval by 10mM citric buffer, pH6.0, 100°C for 10min, MA03927, Dilution 1:50)

HEK293T cells were transfected with the pCMV6-ENTRY control (Left lane) or pCMV6-ENTRY FOSL1 (Right lane) cDNA for 48 hrs and lysed. Equivalent amounts of cell lysates (5 ug per lane) were separated by SDS-PAGE and immunoblotted with anti-FOSL1 (Cat#MA03927).

Immunohistochemical staining of paraffin-embedded prostate tissue within the normal limits using anti-FOSL1mouse monoclonal antibody. (Heat-induced epitope retrieval by 10mM citric buffer, pH6.0, 100°C for 10min, MA03927, Dilution 1:50)

Immunohistochemical staining of paraffin-embedded endometrium tissue within the normal limits using anti-FOSL1mouse monoclonal antibody. (Heat-induced epitope retrieval by 10mM citric buffer, pH6.0, 100°C for 10min, MA03927, Dilution 1:50)

Immunohistochemical staining of paraffin-embedded Kidney tissue within the normal limits using anti-FOSL1mouse monoclonal antibody. (Heat-induced epitope retrieval by 10mM citric buffer, pH6.0, 100°C for 10min, MA03927, Dilution 1:50)

Immunohistochemical staining of paraffin-embedded Adenocarcinoma of colon tissue using anti-FOSL1mouse monoclonal antibody. (Heat-induced epitope retrieval by 10mM citric buffer, pH6.0, 100°C for 10min, MA03927, Dilution 1:50)

Immunohistochemical staining of paraffin-embedded colon tissue within the normal limits using anti-FOSL1mouse monoclonal antibody. (Heat-induced epitope retrieval by 10mM citric buffer, pH6.0, 100°C for 10min, MA03927, Dilution 1:50)

Immunohistochemical staining of paraffin-embedded Adenocarcinoma of breast tissue using anti-FOSL1 mouse monoclonal antibody. (Heat-induced epitope retrieval by 10mM citric buffer, pH6.0, 100°C for 10min, MA03927, Dilution 1:50)

Immunohistochemical staining of paraffin-embedded Adenocarcinoma of ovary tissue using anti-FOSL1mouse monoclonal antibody. (Heat-induced epitope retrieval by 10mM citric buffer, pH6.0, 100°C for 10min, MA03927, Dilution 1:50)

Immunohistochemical staining of paraffin-embedded Carcinoma of bladder tissue using anti-FOSL1mouse monoclonal antibody. (Heat-induced epitope retrieval by 10mM citric buffer, pH6.0, 100°C for 10min, MA03927, Dilution 1:50)

Immunohistochemical staining of paraffin-embedded Ovary tissue within the normal limits using anti-FOSL1mouse monoclonal antibody. (Heat-induced epitope retrieval by 10mM citric buffer, pH6.0, 100°C for 10min, MA03927, Dilution 1:50)

HEK293T cells were transfected with the pCMV6-ENTRY control (Left lane) or pCMV6-ENTRY FOSL1 (Right lane) cDNA for 48 hrs and lysed. Equivalent amounts of cell lysates (5 ug per lane) were separated by SDS-PAGE and immunoblotted with anti-FOSL1 (Cat#MA03927).









