| Western blot (WB): | 1:2000 |
| Immunohistochemistry (IHC): | 1:50 |
| Immunocytochemistry/Immunofluorescence (ICC/IF): | 1:100 |

Equivalent amounts of cell lysates (10 ug per lane) of wild-type HeLa cells (WT) and FKBP5-Knockout HeLa cells (KO) were separated by SDS-PAGE and immunoblotted with anti-FKBP5 monoclonal antibody MA04182 (1:500). Then the blotted membrane was stripped and reprobed with anti-HSP90 antibody as a loading control.

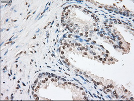
Immunohistochemical staining of paraffin-embedded prostate tissue within the normal limits using anti-FKBP5mouse monoclonal antibody. (Heat-induced epitope retrieval by 10mM citric buffer, pH6.0, 100°C for 10min, MA04182, Dilution 1:50)

Immunohistochemical staining of paraffin-embedded endometrium tissue within the normal limits using anti-FKBP5mouse monoclonal antibody. (Heat-induced epitope retrieval by 10mM citric buffer, pH6.0, 100°C for 10min, MA04182, Dilution 1:50)

Western blot analysis of extracts (10ug) from 3 different cell lines by using anti-FKBP5 monoclonal antibody (1:200).

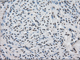
Immunohistochemical staining of paraffin-embedded Carcinoma of thyroid tissue using anti-FKBP5mouse monoclonal antibody. (Heat-induced epitope retrieval by 10mM citric buffer, pH6.0, 100°C for 10min, MA04182, Dilution 1:50)

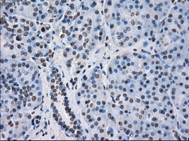
Immunohistochemical staining of paraffin-embedded colon tissue within the normal limits using anti-FKBP5mouse monoclonal antibody. (Heat-induced epitope retrieval by 10mM citric buffer, pH6.0, 100°C for 10min, MA04182, Dilution 1:50)

Immunohistochemical staining of paraffin-embedded pancreas tissue within the normal limits using anti-FKBP5mouse monoclonal antibody. (Heat-induced epitope retrieval by 10mM citric buffer, pH6.0, 100°C for 10min, MA04182, Dilution 1:50)

Anti-FKBP5 mouse monoclonal antibody immunofluorescent staining of COS7 cells transiently transfected by pCMV6-ENTRY FKBP5 .

Western blot analysis of extracts (10ug) from 10 Human tissue by using anti-FKBP5 monoclonal antibody at 1:200 (1: Testis; 2: Omentum; 3: Uterus; 4: Breast; 5: Brain; 6: Liver; 7: Ovary; 8: Thyroid gland; 9: colon;10: spleen).

HEK293T cells were transfected with the pCMV6-ENTRY control (Left lane) or pCMV6-ENTRY FKBP5 (Right lane) cDNA for 48 hrs and lysed. Equivalent amounts of cell lysates (5 ug per lane) were separated by SDS-PAGE and immunoblotted with anti-FKBP5(Cat# MA04182).

Equivalent amounts of cell lysates (10 ug per lane) of wild-type HeLa cells (WT) and FKBP5-Knockout HeLa cells (KO) were separated by SDS-PAGE and immunoblotted with anti-FKBP5 monoclonal antibody MA04182 (1:500). Then the blotted membrane was stripped and reprobed with anti-HSP90 antibody as a loading control.

Immunohistochemical staining of paraffin-embedded prostate tissue within the normal limits using anti-FKBP5mouse monoclonal antibody. (Heat-induced epitope retrieval by 10mM citric buffer, pH6.0, 100°C for 10min, MA04182, Dilution 1:50)

Immunohistochemical staining of paraffin-embedded endometrium tissue within the normal limits using anti-FKBP5mouse monoclonal antibody. (Heat-induced epitope retrieval by 10mM citric buffer, pH6.0, 100°C for 10min, MA04182, Dilution 1:50)

Western blot analysis of extracts (10ug) from 3 different cell lines by using anti-FKBP5 monoclonal antibody (1:200).

Immunohistochemical staining of paraffin-embedded Carcinoma of thyroid tissue using anti-FKBP5mouse monoclonal antibody. (Heat-induced epitope retrieval by 10mM citric buffer, pH6.0, 100°C for 10min, MA04182, Dilution 1:50)

Immunohistochemical staining of paraffin-embedded colon tissue within the normal limits using anti-FKBP5mouse monoclonal antibody. (Heat-induced epitope retrieval by 10mM citric buffer, pH6.0, 100°C for 10min, MA04182, Dilution 1:50)

Immunohistochemical staining of paraffin-embedded pancreas tissue within the normal limits using anti-FKBP5mouse monoclonal antibody. (Heat-induced epitope retrieval by 10mM citric buffer, pH6.0, 100°C for 10min, MA04182, Dilution 1:50)

Anti-FKBP5 mouse monoclonal antibody immunofluorescent staining of COS7 cells transiently transfected by pCMV6-ENTRY FKBP5 .

Western blot analysis of extracts (10ug) from 10 Human tissue by using anti-FKBP5 monoclonal antibody at 1:200 (1: Testis; 2: Omentum; 3: Uterus; 4: Breast; 5: Brain; 6: Liver; 7: Ovary; 8: Thyroid gland; 9: colon;10: spleen).

HEK293T cells were transfected with the pCMV6-ENTRY control (Left lane) or pCMV6-ENTRY FKBP5 (Right lane) cDNA for 48 hrs and lysed. Equivalent amounts of cell lysates (5 ug per lane) were separated by SDS-PAGE and immunoblotted with anti-FKBP5(Cat# MA04182).









