| Western blot (WB): | 1:500-2000 |
| Immunohistochemistry (IHC): | 1:50-200 |
| Immunocytochemistry/Immunofluorescence (ICC/IF): | 1:50-200 |

Western blot analysis of anti-P-MDM2 antibody (P00054-2). The sample well of each lane was loaded with 30 ug of sample under reducing conditions.
Lane 1: human MCF-7 whole cell lysates,
Lane 2: human HepG2 whole cell lysates,
Lane 3: human SH-SY5Y whole cell lysates.
After electrophoresis, proteins were transferred to a membrane. Then the membrane was incubated with rabbit anti-P-MDM2 antigen affinity purified monoclonal antibody (P00054-2) at a dilution of 1:1000 and probed with a goat anti-rabbit IgG-HRP secondary antibody (Catalog # BA1054). The signal is developed using ECL Plus Western Blotting Substrate (Catalog # AR1197). A specific band was detected for P-MDM2 at approximately 100 kDa. The expected band size for P-MDM2 is at 55 kDa.

All lanes use the Antibody for 1 hour at room temperature.

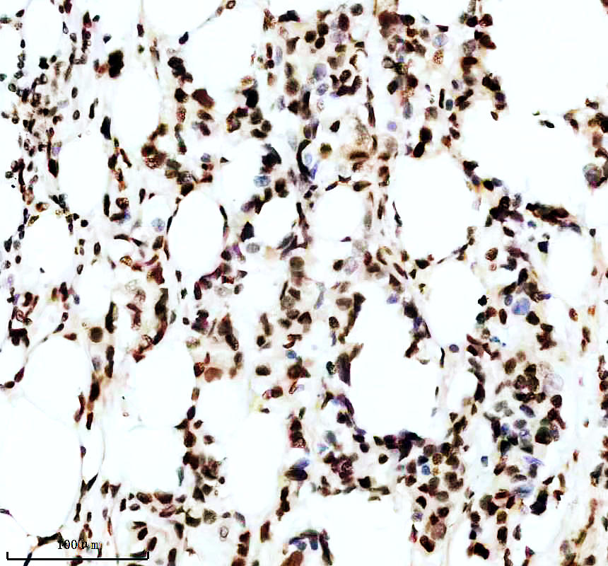
IHC analysis of P-MDM2 using anti-P-MDM2 antibody (P00054-2).
P-MDM2 was detected in a paraffin-embedded section of human breast cancer tissue. The tissue section was incubated with rabbit anti-P-MDM2 Antibody (P00054-2) at a dilution of 1:200 and developed using HRP Conjugated Rabbit IgG Super Vision Assay Kit (Catalog # SV0002) with DAB (Catalog # AR1027) as the chromogen.

IHC analysis of P-MDM2 using anti-P-MDM2 antibody (P00054-2).
P-MDM2 was detected in a paraffin-embedded section of human breast cancer tissue. The tissue section was incubated with rabbit anti-P-MDM2 Antibody (P00054-2) at a dilution of 1:200 and developed using HRP Conjugated Rabbit IgG Super Vision Assay Kit (Catalog # SV0002) with DAB (Catalog # AR1027) as the chromogen.

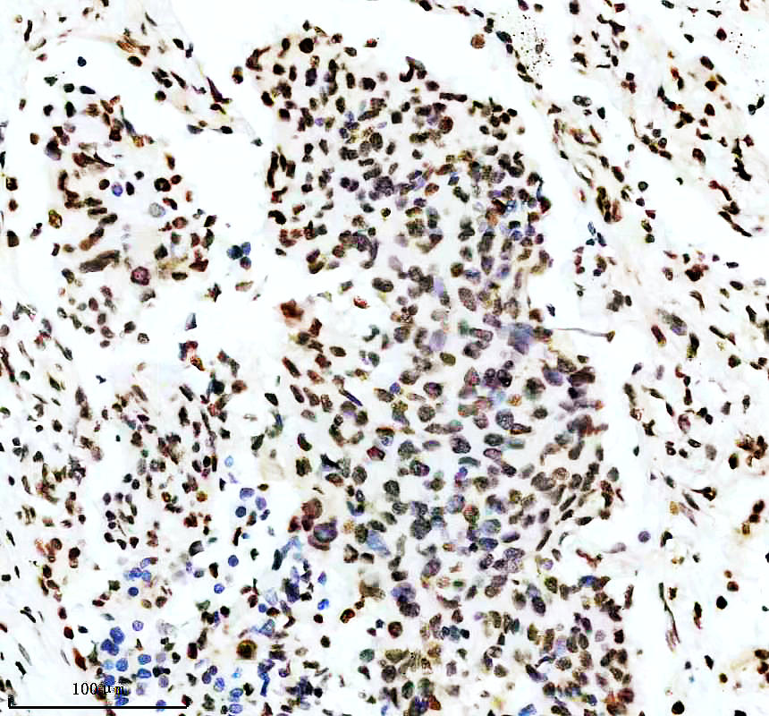
IHC analysis of P-MDM2 using anti-P-MDM2 antibody (P00054-2).
P-MDM2 was detected in a paraffin-embedded section of human lung cancer tissue. The tissue section was incubated with rabbit anti-P-MDM2 Antibody (P00054-2) at a dilution of 1:200 and developed using HRP Conjugated Rabbit IgG Super Vision Assay Kit (Catalog # SV0002) with DAB (Catalog # AR1027) as the chromogen.

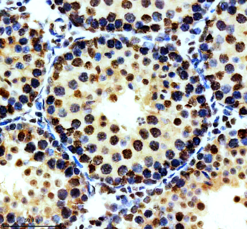
IHC analysis of P-MDM2 using anti-P-MDM2 antibody (P00054-2).
P-MDM2 was detected in a paraffin-embedded section of mouse testis tissue. The tissue section was incubated with rabbit anti-P-MDM2 Antibody (P00054-2) at a dilution of 1:200 and developed using HRP Conjugated Rabbit IgG Super Vision Assay Kit (Catalog # SV0002) with DAB (Catalog # AR1027) as the chromogen.

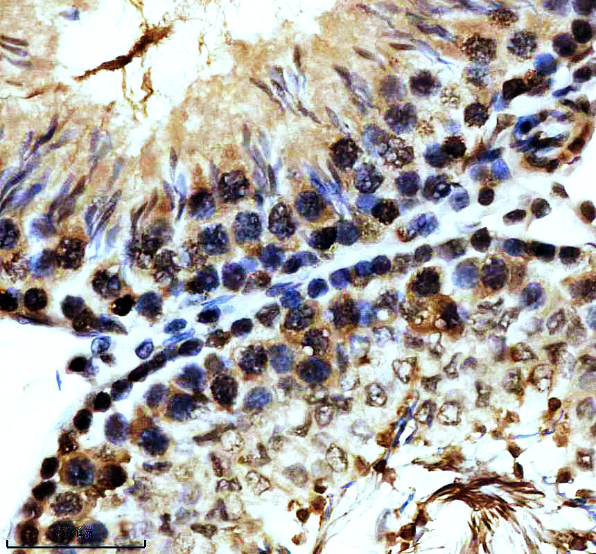
IHC analysis of P-MDM2 using anti-P-MDM2 antibody (P00054-2).
P-MDM2 was detected in a paraffin-embedded section of rat testis tissue. The tissue section was incubated with rabbit anti-P-MDM2 Antibody (P00054-2) at a dilution of 1:200 and developed using HRP Conjugated Rabbit IgG Super Vision Assay Kit (Catalog # SV0002) with DAB (Catalog # AR1027) as the chromogen.

Immunofluorescent analysis using the Antibody.

Immunofluorescent analysis using the Antibody.

Immunofluorescent analysis using the Antibody.

Western blot analysis of anti-P-MDM2 antibody (P00054-2). The sample well of each lane was loaded with 30 ug of sample under reducing conditions.
Lane 1: human MCF-7 whole cell lysates,
Lane 2: human HepG2 whole cell lysates,
Lane 3: human SH-SY5Y whole cell lysates.
After electrophoresis, proteins were transferred to a membrane. Then the membrane was incubated with rabbit anti-P-MDM2 antigen affinity purified monoclonal antibody (P00054-2) at a dilution of 1:1000 and probed with a goat anti-rabbit IgG-HRP secondary antibody (Catalog # BA1054). The signal is developed using ECL Plus Western Blotting Substrate (Catalog # AR1197). A specific band was detected for P-MDM2 at approximately 100 kDa. The expected band size for P-MDM2 is at 55 kDa.

All lanes use the Antibody for 1 hour at room temperature.

IHC analysis of P-MDM2 using anti-P-MDM2 antibody (P00054-2).
P-MDM2 was detected in a paraffin-embedded section of human breast cancer tissue. The tissue section was incubated with rabbit anti-P-MDM2 Antibody (P00054-2) at a dilution of 1:200 and developed using HRP Conjugated Rabbit IgG Super Vision Assay Kit (Catalog # SV0002) with DAB (Catalog # AR1027) as the chromogen.

IHC analysis of P-MDM2 using anti-P-MDM2 antibody (P00054-2).
P-MDM2 was detected in a paraffin-embedded section of human breast cancer tissue. The tissue section was incubated with rabbit anti-P-MDM2 Antibody (P00054-2) at a dilution of 1:200 and developed using HRP Conjugated Rabbit IgG Super Vision Assay Kit (Catalog # SV0002) with DAB (Catalog # AR1027) as the chromogen.

IHC analysis of P-MDM2 using anti-P-MDM2 antibody (P00054-2).
P-MDM2 was detected in a paraffin-embedded section of human lung cancer tissue. The tissue section was incubated with rabbit anti-P-MDM2 Antibody (P00054-2) at a dilution of 1:200 and developed using HRP Conjugated Rabbit IgG Super Vision Assay Kit (Catalog # SV0002) with DAB (Catalog # AR1027) as the chromogen.

IHC analysis of P-MDM2 using anti-P-MDM2 antibody (P00054-2).
P-MDM2 was detected in a paraffin-embedded section of mouse testis tissue. The tissue section was incubated with rabbit anti-P-MDM2 Antibody (P00054-2) at a dilution of 1:200 and developed using HRP Conjugated Rabbit IgG Super Vision Assay Kit (Catalog # SV0002) with DAB (Catalog # AR1027) as the chromogen.

IHC analysis of P-MDM2 using anti-P-MDM2 antibody (P00054-2).
P-MDM2 was detected in a paraffin-embedded section of rat testis tissue. The tissue section was incubated with rabbit anti-P-MDM2 Antibody (P00054-2) at a dilution of 1:200 and developed using HRP Conjugated Rabbit IgG Super Vision Assay Kit (Catalog # SV0002) with DAB (Catalog # AR1027) as the chromogen.

Immunofluorescent analysis using the Antibody.

Immunofluorescent analysis using the Antibody.

Immunofluorescent analysis using the Antibody.









