| Immunohistochemistry (IHC): | 1:50-400 |
| (Boiling the paraffin sections in 10mM citrate buffer,pH6.0,or PH8.0 EDTA repair liquid for 20 mins is required for the staining of formalin/paraffin sections.) Optimal working dilutions must be determined by end user. | |

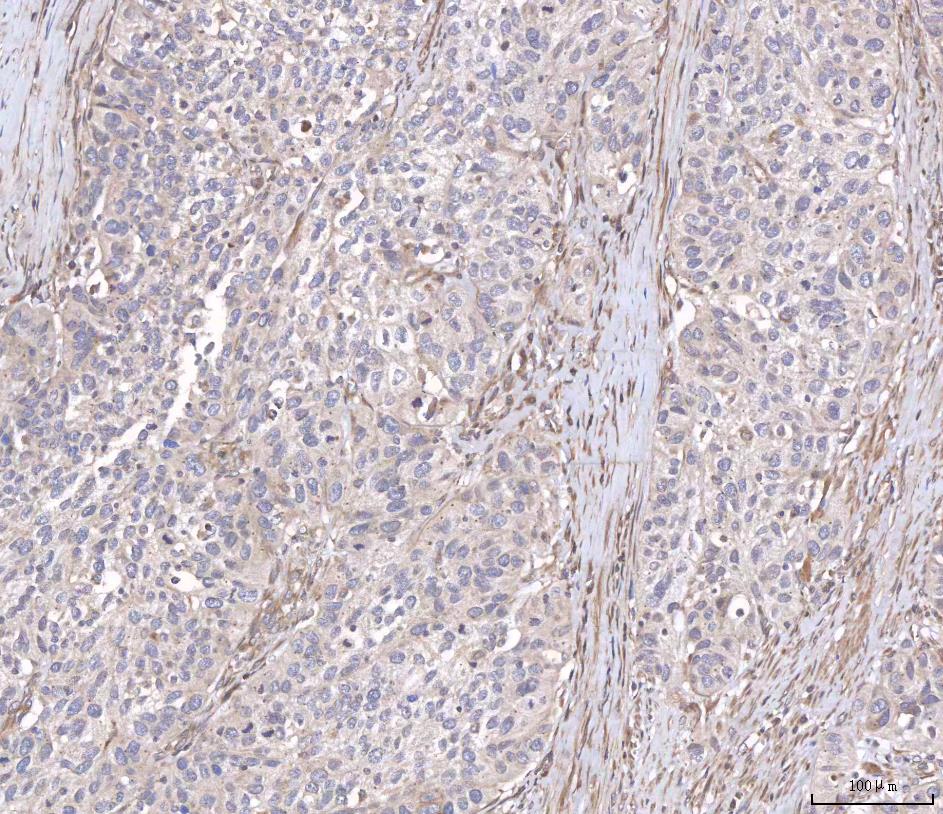
IHC analysis of ANGPT2 using anti-ANGPT2 antibody (PB0093).
ANGPT2 was detected in a paraffin-embedded section of human adrenal adenomas tissue. The tissue section was incubated with rabbit anti-ANGPT2 Antibody (PB0093) at a dilution of 1:200 and developed using HRP Conjugated Rabbit IgG Super Vision Assay Kit (Catalog # SV0002) with DAB (Catalog # AR1027) as the chromogen.

IHC analysis of ANGPT2 using anti-ANGPT2 antibody (PB0093).
ANGPT2 was detected in a paraffin-embedded section of human bladder cancer tissue. The tissue section was incubated with rabbit anti-ANGPT2 Antibody (PB0093) at a dilution of 1:200 and developed using HRP Conjugated Rabbit IgG Super Vision Assay Kit (Catalog # SV0002) with DAB (Catalog # AR1027) as the chromogen.

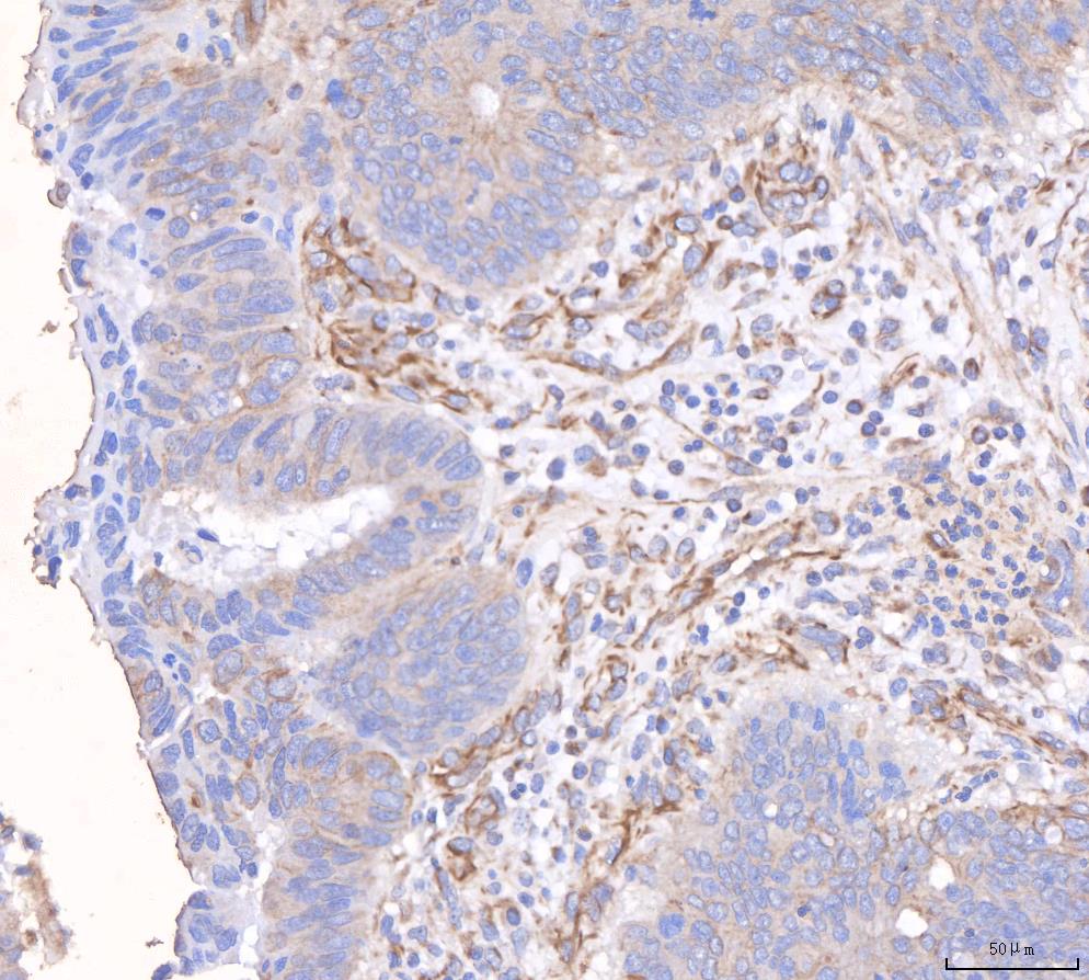
IHC analysis of ANGPT2 using anti-ANGPT2 antibody (PB0093).
ANGPT2 was detected in a paraffin-embedded section of human glioma tissue. The tissue section was incubated with rabbit anti-ANGPT2 Antibody (PB0093) at a dilution of 1:200 and developed using HRP Conjugated Rabbit IgG Super Vision Assay Kit (Catalog # SV0002) with DAB (Catalog # AR1027) as the chromogen.

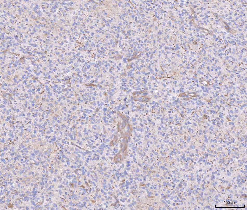
IHC analysis of ANGPT2 using anti-ANGPT2 antibody (PB0093).
ANGPT2 was detected in a paraffin-embedded section of human testis cancer tissue. The tissue section was incubated with rabbit anti-ANGPT2 Antibody (PB0093) at a dilution of 1:200 and developed using HRP Conjugated Rabbit IgG Super Vision Assay Kit (Catalog # SV0002) with DAB (Catalog # AR1027) as the chromogen.

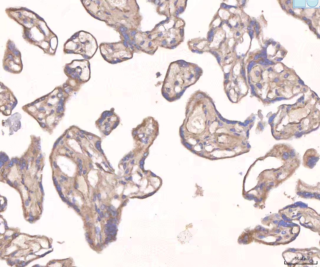
IHC analysis of ANGPT2 using anti-ANGPT2 antibody (PB0093).
ANGPT2 was detected in a paraffin-embedded section of human placenta tissue. The tissue section was incubated with rabbit anti-ANGPT2 Antibody (PB0093) at a dilution of 1:200 and developed using HRP Conjugated Rabbit IgG Super Vision Assay Kit (Catalog # SV0002) with DAB (Catalog # AR1027) as the chromogen.

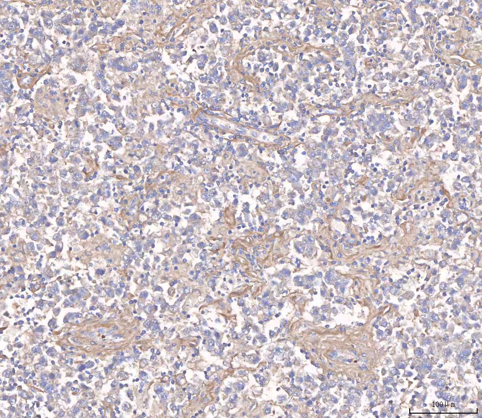
IHC analysis of ANGPT2 using anti-ANGPT2 antibody (PB0093).
ANGPT2 was detected in a paraffin-embedded section of human rectal cancer tissue. The tissue section was incubated with rabbit anti-ANGPT2 Antibody (PB0093) at a dilution of 1:200 and developed using HRP Conjugated Rabbit IgG Super Vision Assay Kit (Catalog # SV0002) with DAB (Catalog # AR1027) as the chromogen.

IHC analysis of ANGPT2 using anti-ANGPT2 antibody (PB0093).
ANGPT2 was detected in a paraffin-embedded section of human adrenal adenomas tissue. The tissue section was incubated with rabbit anti-ANGPT2 Antibody (PB0093) at a dilution of 1:200 and developed using HRP Conjugated Rabbit IgG Super Vision Assay Kit (Catalog # SV0002) with DAB (Catalog # AR1027) as the chromogen.

IHC analysis of ANGPT2 using anti-ANGPT2 antibody (PB0093).
ANGPT2 was detected in a paraffin-embedded section of human bladder cancer tissue. The tissue section was incubated with rabbit anti-ANGPT2 Antibody (PB0093) at a dilution of 1:200 and developed using HRP Conjugated Rabbit IgG Super Vision Assay Kit (Catalog # SV0002) with DAB (Catalog # AR1027) as the chromogen.

IHC analysis of ANGPT2 using anti-ANGPT2 antibody (PB0093).
ANGPT2 was detected in a paraffin-embedded section of human glioma tissue. The tissue section was incubated with rabbit anti-ANGPT2 Antibody (PB0093) at a dilution of 1:200 and developed using HRP Conjugated Rabbit IgG Super Vision Assay Kit (Catalog # SV0002) with DAB (Catalog # AR1027) as the chromogen.

IHC analysis of ANGPT2 using anti-ANGPT2 antibody (PB0093).
ANGPT2 was detected in a paraffin-embedded section of human testis cancer tissue. The tissue section was incubated with rabbit anti-ANGPT2 Antibody (PB0093) at a dilution of 1:200 and developed using HRP Conjugated Rabbit IgG Super Vision Assay Kit (Catalog # SV0002) with DAB (Catalog # AR1027) as the chromogen.

IHC analysis of ANGPT2 using anti-ANGPT2 antibody (PB0093).
ANGPT2 was detected in a paraffin-embedded section of human placenta tissue. The tissue section was incubated with rabbit anti-ANGPT2 Antibody (PB0093) at a dilution of 1:200 and developed using HRP Conjugated Rabbit IgG Super Vision Assay Kit (Catalog # SV0002) with DAB (Catalog # AR1027) as the chromogen.

IHC analysis of ANGPT2 using anti-ANGPT2 antibody (PB0093).
ANGPT2 was detected in a paraffin-embedded section of human rectal cancer tissue. The tissue section was incubated with rabbit anti-ANGPT2 Antibody (PB0093) at a dilution of 1:200 and developed using HRP Conjugated Rabbit IgG Super Vision Assay Kit (Catalog # SV0002) with DAB (Catalog # AR1027) as the chromogen.





