| Western blot (WB): | 1:500-2000 |

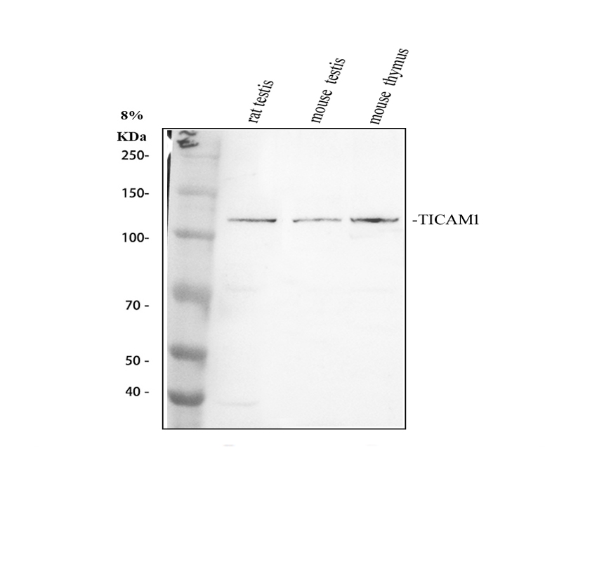
Western blot analysis of TRIF/TICAM1 using anti-TRIF/TICAM1 antibody (PB0881). The sample well of each lane was loaded with 30 ug of sample under reducing conditions.
Lane 1: rat testis tissue lysates,
Lane 2: mouse testis tissue lysates,
Lane 3: mouse thymus tissue lysates.
After electrophoresis, proteins were transferred to a membrane. Then the membrane was incubated with rabbit anti-TRIF/TICAM1 antigen affinity purified polyclonal antibody (PB0881) at a dilution of 1:1000 and probed with a goat anti-rabbit IgG-HRP secondary antibody (Catalog # BA1054). The signal is developed using ECL Plus Western Blotting Substrate (Catalog # AR1197). A specific band was detected for TRIF/TICAM1 at approximately 110 kDa. The expected band size for TRIF/TICAM1 is at 79 kDa.

Western blot analysis of TRIF/TICAM1 using anti-TRIF/TICAM1 antibody (PB0881). The sample well of each lane was loaded with 30 ug of sample under reducing conditions.
Lane 1: rat testis tissue lysates,
Lane 2: mouse testis tissue lysates,
Lane 3: mouse thymus tissue lysates.
After electrophoresis, proteins were transferred to a membrane. Then the membrane was incubated with rabbit anti-TRIF/TICAM1 antigen affinity purified polyclonal antibody (PB0881) at a dilution of 1:1000 and probed with a goat anti-rabbit IgG-HRP secondary antibody (Catalog # BA1054). The signal is developed using ECL Plus Western Blotting Substrate (Catalog # AR1197). A specific band was detected for TRIF/TICAM1 at approximately 110 kDa. The expected band size for TRIF/TICAM1 is at 79 kDa.
