| Western blot (WB): | 1:500-2000 |
| Immunohistochemistry (IHC): | 1:50-400 |
| Immunofluorescence (IF): | 1:50-400 |
| Immunocytochemistry/Immunofluorescence (ICC/IF): | 1:50-400 |
| Flow Cytometry (Fixed): | 1:50-200 |
| (Boiling the paraffin sections in 10mM citrate buffer,pH6.0,or PH8.0 EDTA repair liquid for 20 mins is required for the staining of formalin/paraffin sections.) Optimal working dilutions must be determined by end user. | |

Western blot analysis of HMGB2 using anti-HMGB2 antibody (PB10002). The sample well of each lane was loaded with 30 ug of sample under reducing conditions.
Lane 1: human Jurkat whole cell lysates,
Lane 2: rat PC-12 whole cell lysates,
Lane 3: mouse spleen tissue lysates.
After electrophoresis, proteins were transferred to a membrane. Then the membrane was incubated with rabbit anti-HMGB2 antigen affinity purified polyclonal antibody (PB10002) at a dilution of 1:1000 and probed with a goat anti-rabbit IgG-HRP secondary antibody (Catalog # BA1054). The signal is developed using ECL Plus Western Blotting Substrate (Catalog # AR1197). A specific band was detected for HMGB2 at approximately 24 kDa. The expected band size for HMGB2 is at 24 kDa.

IHC analysis of HMGB2 using anti-HMGB2 antibody (PB10002).
HMGB2 was detected in a paraffin-embedded section of mouse intestine tissue. The tissue section was incubated with rabbit anti-HMGB2 Antibody (PB10002) at a dilution of 1:200 and developed using HRP Conjugated Rabbit IgG Super Vision Assay Kit (Catalog # SV0002) with DAB (Catalog # AR1027) as the chromogen.

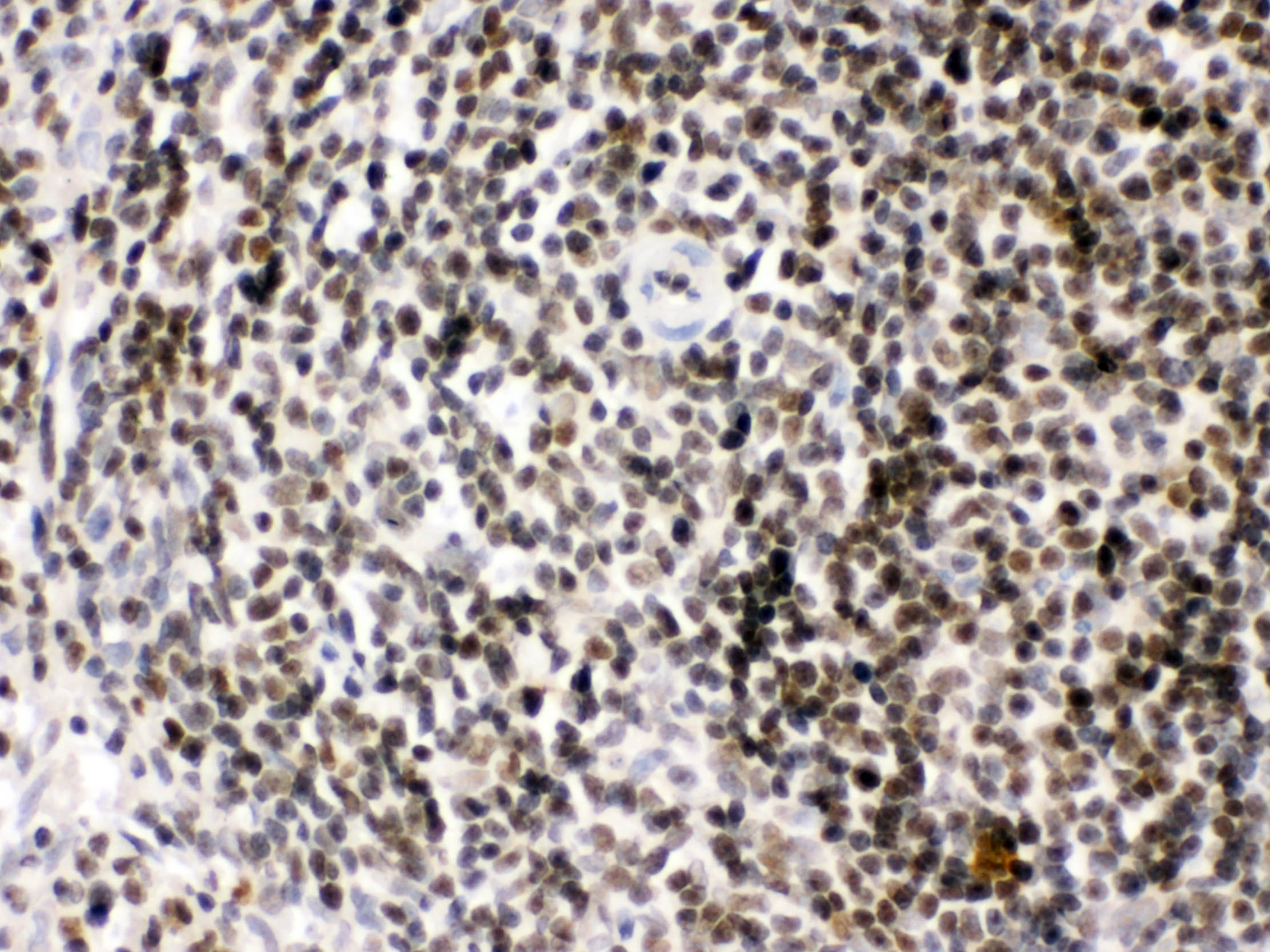
IHC analysis of HMGB2 using anti-HMGB2 antibody (PB10002).
HMGB2 was detected in a paraffin-embedded section of rat spleen tissue. The tissue section was incubated with rabbit anti-HMGB2 Antibody (PB10002) at a dilution of 1:200 and developed using HRP Conjugated Rabbit IgG Super Vision Assay Kit (Catalog # SV0002) with DAB (Catalog # AR1027) as the chromogen.

IHC analysis of HMGB2 using anti-HMGB2 antibody (PB10002).
HMGB2 was detected in a paraffin-embedded section of human intestinal cancer tissue. The tissue section was incubated with rabbit anti-HMGB2 Antibody (PB10002) at a dilution of 1:200 and developed using HRP Conjugated Rabbit IgG Super Vision Assay Kit (Catalog # SV0002) with DAB (Catalog # AR1027) as the chromogen.

IF analysis using anti- HMGB2 antibody (PB10002). detected in paraffin-embedded section of rat intestine tissue. The tissue section were stained using the cy3-conjugated Anti-rabbit IgG Secondary Antibody (red)(Catalog#BA1032) and counterstained with DAPI (blue).

ICC/IF analysis of HMGB2 using anti-HMGB2 antibody (PB10002).
HMGB2 was detected in an immunocytochemical section of U2OS cells. The section was incubated with rabbit anti-HMGB2 Antibody (PB10002) at a dilution of 1:100. Fluoro488 Conjugated Goat Anti-Rabbit IgG (Green) (Catalog # BA1127) was used as secondary antibody.

ICC/IF analysis of HMGB2 using anti-HMGB2 antibody (PB10002) and anti-Alpha Tubulin antibody (M03989-3).
HMGB2 was detected in an immunocytochemical section of MCF7 cells. The section was incubated with rabbit anti-HMGB2 Antibody (PB10002) at a dilution of 1:100. Cy3-conjugated Anti-rabbit IgG Secondary Antibody (red)(Catalog#BA1032) and Fluoro488-conjugated Anti-mouse IgG Secondary Antibody (Green) (Catalog # BA1126) were used as secondary antibody.

Flow Cytometry analysis of A431 cells using anti-HMGB2 antibody (PB10002).
Overlay histogram showing A431 cells stained with PB10002 (Blue line). To facilitate intracellular staining, cells were fixed with 4% paraformaldehyde and permeabilized with permeabilization buffer. The cells were blocked with 10% normal goat serum. And then incubated with rabbit anti-HMGB2 Antibody (PB10002) at 1:100 dilution for 30 min at 20°C. Fluoro488 conjugated goat anti-rabbit IgG (BA1127) was used as secondary antibody at 1:100 dilution for 30 minutes at 20°C. Isotype control antibody (Green line) was rabbit IgG at 1:100 dilution used under the same conditions. Unlabelled sample without incubation with primary antibody and secondary antibody (Red line) was used as a blank control.

Western blot analysis of HMGB2 using anti-HMGB2 antibody (PB10002). The sample well of each lane was loaded with 30 ug of sample under reducing conditions.
Lane 1: human Jurkat whole cell lysates,
Lane 2: rat PC-12 whole cell lysates,
Lane 3: mouse spleen tissue lysates.
After electrophoresis, proteins were transferred to a membrane. Then the membrane was incubated with rabbit anti-HMGB2 antigen affinity purified polyclonal antibody (PB10002) at a dilution of 1:1000 and probed with a goat anti-rabbit IgG-HRP secondary antibody (Catalog # BA1054). The signal is developed using ECL Plus Western Blotting Substrate (Catalog # AR1197). A specific band was detected for HMGB2 at approximately 24 kDa. The expected band size for HMGB2 is at 24 kDa.

IHC analysis of HMGB2 using anti-HMGB2 antibody (PB10002).
HMGB2 was detected in a paraffin-embedded section of mouse intestine tissue. The tissue section was incubated with rabbit anti-HMGB2 Antibody (PB10002) at a dilution of 1:200 and developed using HRP Conjugated Rabbit IgG Super Vision Assay Kit (Catalog # SV0002) with DAB (Catalog # AR1027) as the chromogen.

IHC analysis of HMGB2 using anti-HMGB2 antibody (PB10002).
HMGB2 was detected in a paraffin-embedded section of rat spleen tissue. The tissue section was incubated with rabbit anti-HMGB2 Antibody (PB10002) at a dilution of 1:200 and developed using HRP Conjugated Rabbit IgG Super Vision Assay Kit (Catalog # SV0002) with DAB (Catalog # AR1027) as the chromogen.

IHC analysis of HMGB2 using anti-HMGB2 antibody (PB10002).
HMGB2 was detected in a paraffin-embedded section of human intestinal cancer tissue. The tissue section was incubated with rabbit anti-HMGB2 Antibody (PB10002) at a dilution of 1:200 and developed using HRP Conjugated Rabbit IgG Super Vision Assay Kit (Catalog # SV0002) with DAB (Catalog # AR1027) as the chromogen.

IF analysis using anti- HMGB2 antibody (PB10002). detected in paraffin-embedded section of rat intestine tissue. The tissue section were stained using the cy3-conjugated Anti-rabbit IgG Secondary Antibody (red)(Catalog#BA1032) and counterstained with DAPI (blue).

ICC/IF analysis of HMGB2 using anti-HMGB2 antibody (PB10002).
HMGB2 was detected in an immunocytochemical section of U2OS cells. The section was incubated with rabbit anti-HMGB2 Antibody (PB10002) at a dilution of 1:100. Fluoro488 Conjugated Goat Anti-Rabbit IgG (Green) (Catalog # BA1127) was used as secondary antibody.

ICC/IF analysis of HMGB2 using anti-HMGB2 antibody (PB10002) and anti-Alpha Tubulin antibody (M03989-3).
HMGB2 was detected in an immunocytochemical section of MCF7 cells. The section was incubated with rabbit anti-HMGB2 Antibody (PB10002) at a dilution of 1:100. Cy3-conjugated Anti-rabbit IgG Secondary Antibody (red)(Catalog#BA1032) and Fluoro488-conjugated Anti-mouse IgG Secondary Antibody (Green) (Catalog # BA1126) were used as secondary antibody.

Flow Cytometry analysis of A431 cells using anti-HMGB2 antibody (PB10002).
Overlay histogram showing A431 cells stained with PB10002 (Blue line). To facilitate intracellular staining, cells were fixed with 4% paraformaldehyde and permeabilized with permeabilization buffer. The cells were blocked with 10% normal goat serum. And then incubated with rabbit anti-HMGB2 Antibody (PB10002) at 1:100 dilution for 30 min at 20°C. Fluoro488 conjugated goat anti-rabbit IgG (BA1127) was used as secondary antibody at 1:100 dilution for 30 minutes at 20°C. Isotype control antibody (Green line) was rabbit IgG at 1:100 dilution used under the same conditions. Unlabelled sample without incubation with primary antibody and secondary antibody (Red line) was used as a blank control.







