| Western blot (WB): | 1:500-2000 |
| Immunohistochemistry (IHC): | 1:50-400 |
| Immunocytochemistry/Immunofluorescence (ICC/IF): | 1:50-400 |
| (Boiling the paraffin sections in 10mM citrate buffer,pH6.0,or PH8.0 EDTA repair liquid for 20 mins is required for the staining of formalin/paraffin sections.) Optimal working dilutions must be determined by end user. | |

Western blot analysis of MEF2A using anti-MEF2A antibody (PB1002). The sample well of each lane was loaded with 30 ug of sample under reducing conditions.
Lane 1: rat thymus tissue lysates,
Lane 2: human Hela whole cell lysates.
After electrophoresis, proteins were transferred to a membrane. Then the membrane was incubated with rabbit anti-MEF2A antigen affinity purified polyclonal antibody (PB1002) at a dilution of 1:1000 and probed with a goat anti-rabbit IgG-HRP secondary antibody (Catalog # BA1054). The signal is developed using ECL Plus Western Blotting Substrate (Catalog # AR1197). A specific band was detected for MEF2A at approximately 55 kDa. The expected band size for MEF2A is at 55 kDa.

IHC analysis of MEF2A using anti-MEF2A antibody (PB1002).
MEF2A was detected in a paraffin-embedded section of mouse brain tissue. Biotinylated goat anti-rabbit IgG was used as secondary antibody. The tissue section was incubated with rabbit anti-MEF2A Antibody (PB1002) at a dilution of 1:200 and developed using Strepavidin-Biotin-Complex (SABC) (Catalog # SA1022) with DAB (Catalog # AR1027) as the chromogen.

IHC analysis of MEF2A using anti-MEF2A antibody (PB1002).
MEF2A was detected in a paraffin-embedded section of rat brain tissue. Biotinylated goat anti-rabbit IgG was used as secondary antibody. The tissue section was incubated with rabbit anti-MEF2A Antibody (PB1002) at a dilution of 1:200 and developed using Strepavidin-Biotin-Complex (SABC) (Catalog # SA1022) with DAB (Catalog # AR1027) as the chromogen.

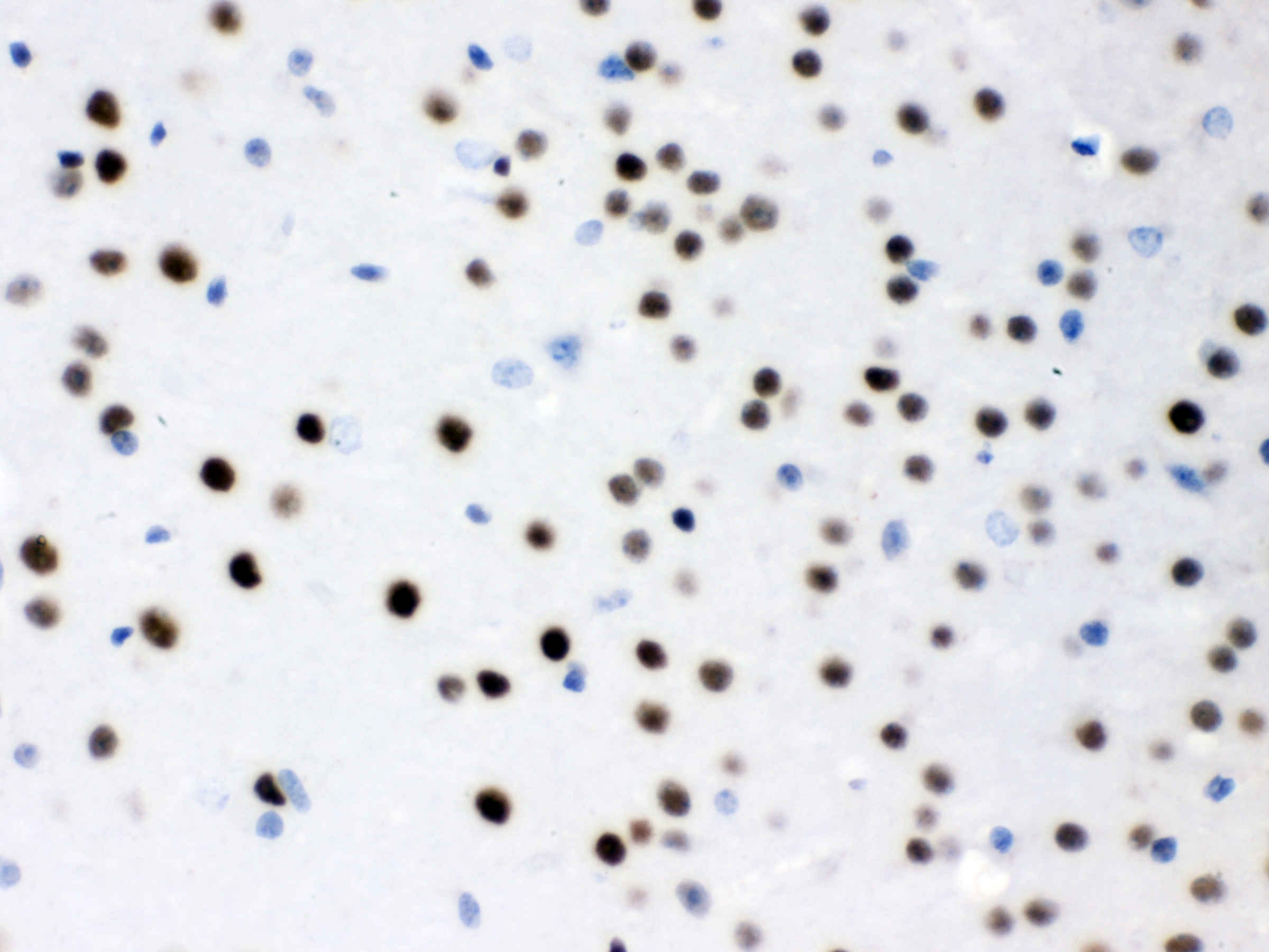
IHC analysis of MEF2A using anti-MEF2A antibody (PB1002).
MEF2A was detected in a paraffin-embedded section of human glioma tissue. Biotinylated goat anti-rabbit IgG was used as secondary antibody. The tissue section was incubated with rabbit anti-MEF2A Antibody (PB1002) at a dilution of 1:200 and developed using Strepavidin-Biotin-Complex (SABC) (Catalog # SA1022) with DAB (Catalog # AR1027) as the chromogen.

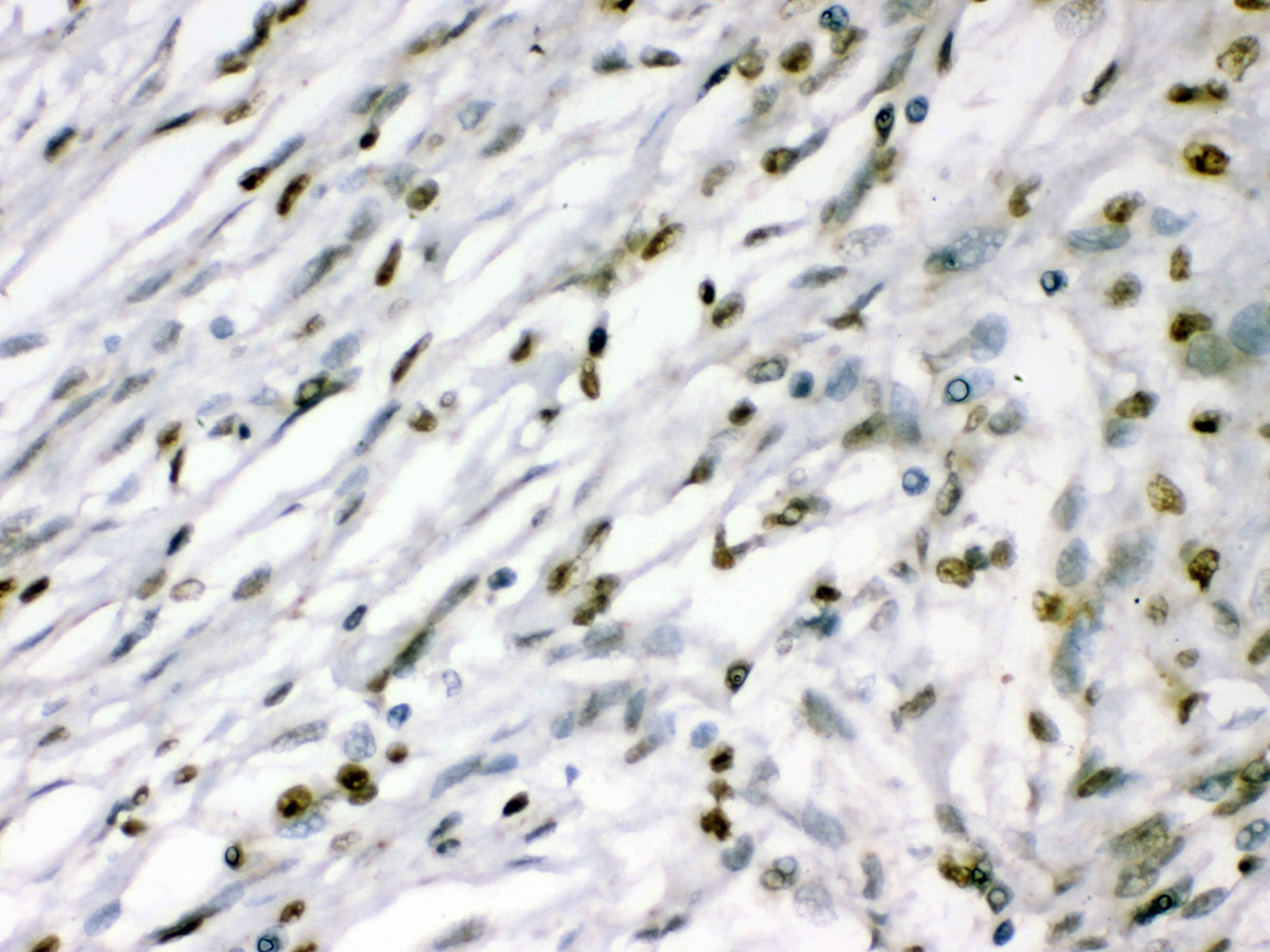
IHC analysis of MEF2A using anti-MEF2A antibody (PB1002).
MEF2A was detected in a paraffin-embedded section of human meningeoma tissue. Biotinylated goat anti-rabbit IgG was used as secondary antibody. The tissue section was incubated with rabbit anti-MEF2A Antibody (PB1002) at a dilution of 1:200 and developed using Strepavidin-Biotin-Complex (SABC) (Catalog # SA1022) with DAB (Catalog # AR1027) as the chromogen.

ICC/IF analysis of MEF2A using anti-MEF2A antibody (PB1002).
MEF2A was detected in an immunocytochemical section of U2OS cells. The section was incubated with rabbit anti-MEF2A Antibody (PB1002) at a dilution of 1:100. Fluoro488 Conjugated Goat Anti-Rabbit IgG (Green) (Catalog # BA1127) was used as secondary antibody. The section was counterstained with DAPI (Catalog # AR1176) (Blue).

Western blot analysis of MEF2A using anti-MEF2A antibody (PB1002). The sample well of each lane was loaded with 30 ug of sample under reducing conditions.
Lane 1: rat thymus tissue lysates,
Lane 2: human Hela whole cell lysates.
After electrophoresis, proteins were transferred to a membrane. Then the membrane was incubated with rabbit anti-MEF2A antigen affinity purified polyclonal antibody (PB1002) at a dilution of 1:1000 and probed with a goat anti-rabbit IgG-HRP secondary antibody (Catalog # BA1054). The signal is developed using ECL Plus Western Blotting Substrate (Catalog # AR1197). A specific band was detected for MEF2A at approximately 55 kDa. The expected band size for MEF2A is at 55 kDa.

IHC analysis of MEF2A using anti-MEF2A antibody (PB1002).
MEF2A was detected in a paraffin-embedded section of mouse brain tissue. Biotinylated goat anti-rabbit IgG was used as secondary antibody. The tissue section was incubated with rabbit anti-MEF2A Antibody (PB1002) at a dilution of 1:200 and developed using Strepavidin-Biotin-Complex (SABC) (Catalog # SA1022) with DAB (Catalog # AR1027) as the chromogen.

IHC analysis of MEF2A using anti-MEF2A antibody (PB1002).
MEF2A was detected in a paraffin-embedded section of rat brain tissue. Biotinylated goat anti-rabbit IgG was used as secondary antibody. The tissue section was incubated with rabbit anti-MEF2A Antibody (PB1002) at a dilution of 1:200 and developed using Strepavidin-Biotin-Complex (SABC) (Catalog # SA1022) with DAB (Catalog # AR1027) as the chromogen.

IHC analysis of MEF2A using anti-MEF2A antibody (PB1002).
MEF2A was detected in a paraffin-embedded section of human glioma tissue. Biotinylated goat anti-rabbit IgG was used as secondary antibody. The tissue section was incubated with rabbit anti-MEF2A Antibody (PB1002) at a dilution of 1:200 and developed using Strepavidin-Biotin-Complex (SABC) (Catalog # SA1022) with DAB (Catalog # AR1027) as the chromogen.

IHC analysis of MEF2A using anti-MEF2A antibody (PB1002).
MEF2A was detected in a paraffin-embedded section of human meningeoma tissue. Biotinylated goat anti-rabbit IgG was used as secondary antibody. The tissue section was incubated with rabbit anti-MEF2A Antibody (PB1002) at a dilution of 1:200 and developed using Strepavidin-Biotin-Complex (SABC) (Catalog # SA1022) with DAB (Catalog # AR1027) as the chromogen.

ICC/IF analysis of MEF2A using anti-MEF2A antibody (PB1002).
MEF2A was detected in an immunocytochemical section of U2OS cells. The section was incubated with rabbit anti-MEF2A Antibody (PB1002) at a dilution of 1:100. Fluoro488 Conjugated Goat Anti-Rabbit IgG (Green) (Catalog # BA1127) was used as secondary antibody. The section was counterstained with DAPI (Catalog # AR1176) (Blue).





