欢迎访问博士德生物官网! 服务热线:027-67845390 |
您当前的位置: 首页 > 产品中心 > 一抗 > 多克隆抗体

Anti-IL15 Antibody

Rabbit polyclonal antibody

说明书 一键复制产品信息

筛选器: All IHC FCM ELISA

A00212-2

  • 50μl ¥1280 100μl ¥2180 150μl ¥2800
  • 货期: 现货
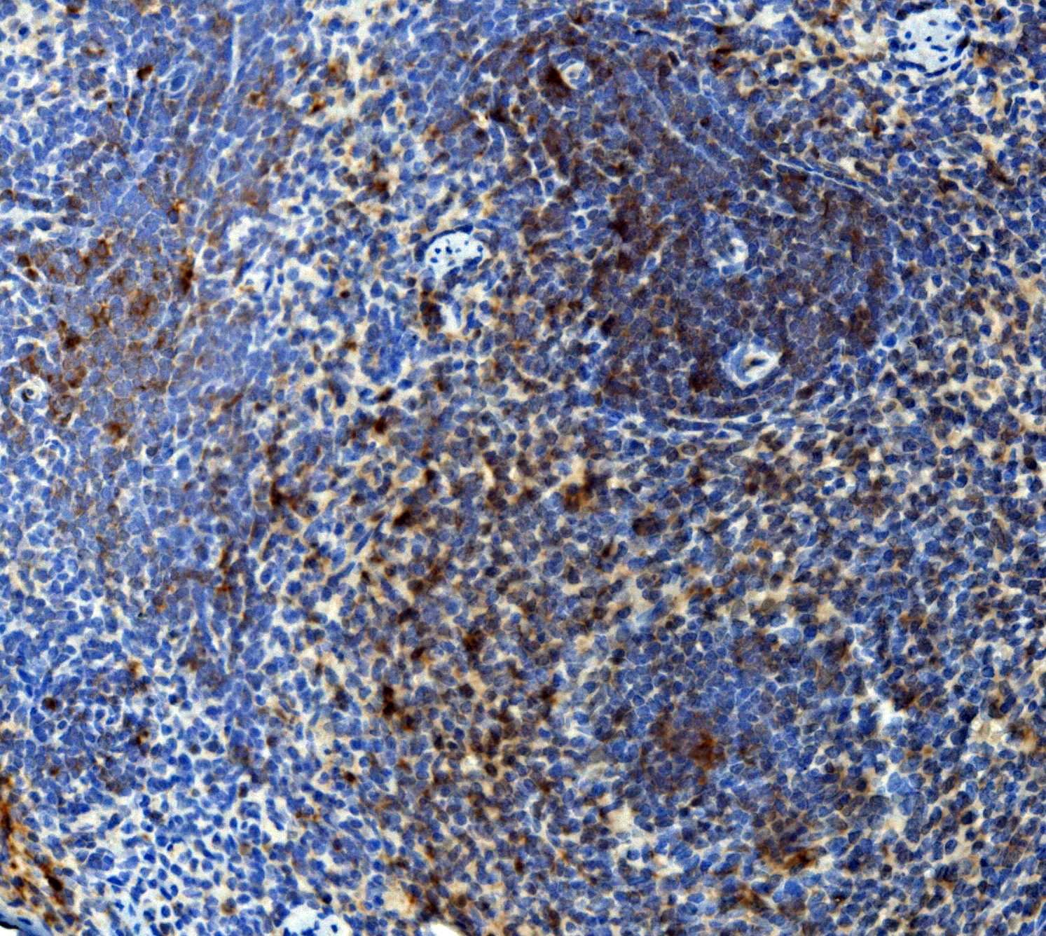
  • IHC analysis of IL15 using anti-IL15 antibody (A00212-2).
    IL15 was detected in a paraffin-embedded section of human B lymphocytic tumor tissue. Biotinylated goat anti-rabbit IgG was used as secondary antibody. The tissue section was incubated with rabbit anti-IL15 Antibody (A00212-2) at a dilution of 1:200 and developed using Strepavidin-Biotin-Complex (SABC) (Catalog # SA1022) with DAB (Catalog # AR1027) as the chromogen.

    all(4)
  • IHC analysis of IL15 using anti-IL15 antibody (A00212-2).
    IL15 was detected in a paraffin-embedded section of rat spleen tissue. Biotinylated goat anti-rabbit IgG was used as secondary antibody. The tissue section was incubated with rabbit anti-IL15 Antibody (A00212-2) at a dilution of 1:200 and developed using Strepavidin-Biotin-Complex (SABC) (Catalog # SA1022) with DAB (Catalog # AR1027) as the chromogen.

    all(4)
  • Flow Cytometry analysis of human PBMC cells using anti-IL15 antibody (A00212-2).
    Overlay histogram showing human PBMC cells stained with A00212-2 (Blue line). The cells were fixed with 4% paraformaldehyde and blocked with 10% normal goat serum. And then incubated with rabbit anti-IL15 Antibody (A00212-2) at 1:100 dilution for 30 min at 20°C. DyLight®488 conjugated goat anti-rabbit IgG (BA1127) was used as secondary antibody at 1:100 dilution for 30 minutes at 20°C. Isotype control antibody (Green line) was rabbit IgG at 1:100 dilution used under the same conditions. Unlabelled sample without incubation with primary antibody and secondary antibody (Red line) was used as a blank control.

    all(4)

产品简介 实验方案 引用文献 相关产品

产品简介>

产品名称
Anti-IL15 Antibody
规格/价格
50μl|1280 100μl|2180 150μl|2800
指标别称
IL 15; IL15; IL-15; interleukin 15
产品类型
Polyclonal
检验物种
human, rat
应用范围
IHC, FCM, ELISA
基因名称
IL15
宿主
Rabbit
抗体亚型
IgG
免疫原
E.coli-derived human IL15 recombinant protein (Position: D70-S162).
成分
500 ug/ml antibody with PBS, 0.02% NaN3, 1 mg/ml BSA and 50% glycerol.
纯化方式
Immunogen affinity purified.
浓度
500 ug/ml
产品形态
Liquid
保存条件
12 months from date of receipt,-20℃ as supplied.
背景资料
Interleukin (IL)-15 is a cytokine with the ability to stimulate the proliferation activity of Th1 and/or Th2 lymphocytes. This gene is mapped to human chromosome 4q31 by fluorescence in situ hybridization. IL-15 is a novel cytokine whose effects on T-cell activation and proliferation are similar to those of interleukin-2 (IL-2), presumably because IL-15 utilizes the beta and gamma chains of the IL-2 receptor. IL-15 can play a role in the initiation and outcome of acute and chronic rejection. Anti-IL-15 therapy in combination with classic immunosuppression therapy might be beneficial in the prevention of acute, and especially chronic, allograft rejection.
Uniprot ID
P40933  
RRID
文献引用格式
IL15 Antibody (Boster Biological Technology, Wuhan, China. Catalog#A00212-2)
应用释义
WB-蛋白质免疫印迹法; IHC- 免疫组织化学法; ICC/IF-免疫细胞荧光和免疫细胞化学; FCM-流式细胞术; ELISA-酶联免疫吸附测定; IP-免疫沉淀法; IF-免疫组织荧光法; ChIP-染色质免疫沉淀法;
推荐配套的二抗和检测试剂
Boster recommends Enhanced Chemiluminescent Kit with anti-Rabbit IgG (EK1002) for Western blot.
基因名全称
interleukin 15
蛋白名全称
Interleukin-15
推荐稀释比
Immunohistochemistry (IHC):1:50-400
Flow Cytometry (Fixed):1:50-200
Enzyme linked immunosorbent assay (ELISA):1:100-1000
(Boiling the paraffin sections in 10mM citrate buffer,pH6.0,or PH8.0 EDTA repair liquid for 20 mins is required for the staining of formalin/paraffin sections.) Optimal working dilutions must be determined by end user.

实验方案>

实验步骤

引用文献(0)>

    相关产品>

    成功添加到购物车

    查看购物车 继续购物

    Anti-IL15 Antibody

    筛选器: All IHC FCM ELISA

    亮暗模式切换
    X
    亮暗模式切换
    X

    在线
    客服

    在线客服
    服务时间:08:30 - 17:30

    点击下列客服在线咨询:

    服务热线

    服务
    热线

    客服服务热线

    027-67845390
    客服服务热线

    扫码

    扫码
    咨询

    微信二维码 微信扫一扫立即咨询
    返回顶部 顶部