| Western blot (WB): | 1:500-2000 |
| Immunohistochemistry (IHC): | 1:50-400 |
| Immunocytochemistry/Immunofluorescence (ICC/IF): | 1:50-400 |
| Flow Cytometry (Fixed): | 1:50-200 |
| ELISA(Cap): | 1:50-1:200 |
| (Boiling the paraffin sections in 10mM citrate buffer,pH6.0,or PH8.0 EDTA repair liquid for 20 mins is required for the staining of formalin/paraffin sections.) Optimal working dilutions must be determined by end user. | |

Western blot analysis of VEGFR2/KDR using anti-VEGFR2/KDR antibody (A00901-3).
Lane 1: recombinant mouse VEGFR2 Protein 1ng.
After electrophoresis, proteins were transferred to a membrane. Then the membrane was incubated with rabbit anti-VEGFR2/KDR antigen affinity purified polyclonal antibody (A00901-3) at a dilution of 1:1000 and probed with a goat anti-rabbit IgG-HRP secondary antibody (Catalog # BA1054). The signal is developed using ECL Plus Western Blotting Substrate (Catalog # AR1197). A specific band was detected for VEGFR2/KDR at approximately 180-250 kDa.

IHC analysis of VEGFR2/KDR using anti-VEGFR2/KDR antibody (A00901-3).
VEGFR2/KDR was detected in a paraffin-embedded section of mouse kidney tissue. Biotinylated goat anti-rabbit IgG was used as secondary antibody. The tissue section was incubated with rabbit anti-VEGFR2/KDR Antibody (A00901-3) at a dilution of 1:200 and developed using Strepavidin-Biotin-Complex (SABC) (Catalog # SA1022) with DAB (Catalog # AR1027) as the chromogen.

IHC analysis of VEGFR2/KDR using anti-VEGFR2/KDR antibody (A00901-3).
VEGFR2/KDR was detected in a paraffin-embedded section of rat kidney tissue. Biotinylated goat anti-rabbit IgG was used as secondary antibody. The tissue section was incubated with rabbit anti-VEGFR2/KDR Antibody (A00901-3) at a dilution of 1:200 and developed using Strepavidin-Biotin-Complex (SABC) (Catalog # SA1022) with DAB (Catalog # AR1027) as the chromogen.

ICC/IF analysis of VEGFR2/KDR using anti-VEGFR2/KDR antibody (A00901-3).
VEGFR2/KDR was detected in an immunocytochemical section of NIH/3T3 cells. The section was incubated with rabbit anti-VEGFR2/KDR Antibody (A00901-3) at a dilution of 1:100. Fluoro594-conjugated Anti-rabbit IgG Secondary Antibody (red)(Catalog#BA1142) was used as secondary antibody. The section was counterstained with DAPI (Catalog # AR1176) (Blue).

Flow Cytometry analysis of LLC cells using anti-VEGFR2/KDR antibody (A00901-3).
Overlay histogram showing LLC cells stained with A00901-3 (Blue line). To facilitate intracellular staining, cells were fixed with 4% paraformaldehyde and permeabilized with permeabilization buffer. The cells were blocked with 10% normal goat serum. And then incubated with rabbit anti-VEGFR2/KDR Antibody (A00901-3) at 1:100 dilution for 30 min at 20°C. Fluoro488 conjugated goat anti-rabbit IgG (BA1127) was used as secondary antibody at 1:100 dilution for 30 minutes at 20°C. Isotype control antibody (Green line) was rabbit IgG at 1:100 dilution used under the same conditions. Unlabelled sample without incubation with primary antibody and secondary antibody (Red line) was used as a blank control.

Flow Cytometry analysis of MFC cells using anti-VEGFR2/KDR antibody (A00901-3).
Overlay histogram showing MFC cells stained with A00901-3 (Blue line). To facilitate intracellular staining, cells were fixed with 4% paraformaldehyde and permeabilized with permeabilization buffer. The cells were blocked with 10% normal goat serum. And then incubated with rabbit anti-VEGFR2/KDR Antibody (A00901-3) at 1:100 dilution for 30 min at 20°C. Fluoro488 conjugated goat anti-rabbit IgG (BA1127) was used as secondary antibody at 1:100 dilution for 30 minutes at 20°C. Isotype control antibody (Green line) was rabbit IgG at 1:100 dilution used under the same conditions. Unlabelled sample without incubation with primary antibody and secondary antibody (Red line) was used as a blank control.

Western blot analysis of VEGFR2/KDR using anti-VEGFR2/KDR antibody (A00901-3).
Lane 1: recombinant mouse VEGFR2 Protein 1ng.
After electrophoresis, proteins were transferred to a membrane. Then the membrane was incubated with rabbit anti-VEGFR2/KDR antigen affinity purified polyclonal antibody (A00901-3) at a dilution of 1:1000 and probed with a goat anti-rabbit IgG-HRP secondary antibody (Catalog # BA1054). The signal is developed using ECL Plus Western Blotting Substrate (Catalog # AR1197). A specific band was detected for VEGFR2/KDR at approximately 180-250 kDa.

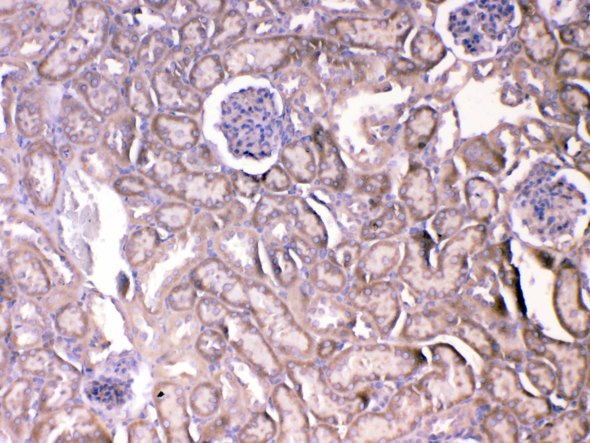
IHC analysis of VEGFR2/KDR using anti-VEGFR2/KDR antibody (A00901-3).
VEGFR2/KDR was detected in a paraffin-embedded section of mouse kidney tissue. Biotinylated goat anti-rabbit IgG was used as secondary antibody. The tissue section was incubated with rabbit anti-VEGFR2/KDR Antibody (A00901-3) at a dilution of 1:200 and developed using Strepavidin-Biotin-Complex (SABC) (Catalog # SA1022) with DAB (Catalog # AR1027) as the chromogen.

IHC analysis of VEGFR2/KDR using anti-VEGFR2/KDR antibody (A00901-3).
VEGFR2/KDR was detected in a paraffin-embedded section of rat kidney tissue. Biotinylated goat anti-rabbit IgG was used as secondary antibody. The tissue section was incubated with rabbit anti-VEGFR2/KDR Antibody (A00901-3) at a dilution of 1:200 and developed using Strepavidin-Biotin-Complex (SABC) (Catalog # SA1022) with DAB (Catalog # AR1027) as the chromogen.

ICC/IF analysis of VEGFR2/KDR using anti-VEGFR2/KDR antibody (A00901-3).
VEGFR2/KDR was detected in an immunocytochemical section of NIH/3T3 cells. The section was incubated with rabbit anti-VEGFR2/KDR Antibody (A00901-3) at a dilution of 1:100. Fluoro594-conjugated Anti-rabbit IgG Secondary Antibody (red)(Catalog#BA1142) was used as secondary antibody. The section was counterstained with DAPI (Catalog # AR1176) (Blue).

Flow Cytometry analysis of LLC cells using anti-VEGFR2/KDR antibody (A00901-3).
Overlay histogram showing LLC cells stained with A00901-3 (Blue line). To facilitate intracellular staining, cells were fixed with 4% paraformaldehyde and permeabilized with permeabilization buffer. The cells were blocked with 10% normal goat serum. And then incubated with rabbit anti-VEGFR2/KDR Antibody (A00901-3) at 1:100 dilution for 30 min at 20°C. Fluoro488 conjugated goat anti-rabbit IgG (BA1127) was used as secondary antibody at 1:100 dilution for 30 minutes at 20°C. Isotype control antibody (Green line) was rabbit IgG at 1:100 dilution used under the same conditions. Unlabelled sample without incubation with primary antibody and secondary antibody (Red line) was used as a blank control.

Flow Cytometry analysis of MFC cells using anti-VEGFR2/KDR antibody (A00901-3).
Overlay histogram showing MFC cells stained with A00901-3 (Blue line). To facilitate intracellular staining, cells were fixed with 4% paraformaldehyde and permeabilized with permeabilization buffer. The cells were blocked with 10% normal goat serum. And then incubated with rabbit anti-VEGFR2/KDR Antibody (A00901-3) at 1:100 dilution for 30 min at 20°C. Fluoro488 conjugated goat anti-rabbit IgG (BA1127) was used as secondary antibody at 1:100 dilution for 30 minutes at 20°C. Isotype control antibody (Green line) was rabbit IgG at 1:100 dilution used under the same conditions. Unlabelled sample without incubation with primary antibody and secondary antibody (Red line) was used as a blank control.







