| Western blot (WB): | 1:500-2000 |
| Immunohistochemistry (IHC): | 1:50-400 |
| Immunocytochemistry/Immunofluorescence (ICC/IF): | 1:50-400 |
| (Boiling the paraffin sections in 10mM citrate buffer,pH6.0,or PH8.0 EDTA repair liquid for 20 mins is required for the staining of formalin/paraffin sections.) Optimal working dilutions must be determined by end user. | |

Western blot analysis of VEGFR2/KDR using anti-VEGFR2/KDR antibody (BA0472). The sample well of each lane was loaded with 30 ug of sample under reducing conditions.
Lane 1: human SMMC whole cell lysates.
After electrophoresis, proteins were transferred to a membrane. Then the membrane was incubated with rabbit anti-VEGFR2/KDR antigen affinity purified polyclonal antibody (BA0472) at a dilution of 1:1000 and probed with a goat anti-rabbit IgG-HRP secondary antibody (Catalog # BA1054). The signal is developed using ECL Plus Western Blotting Substrate (Catalog # AR1197). A specific band was detected for VEGFR2/KDR at approximately 180-250 kDa. The expected band size for VEGFR2/KDR is at 180-250 kDa.

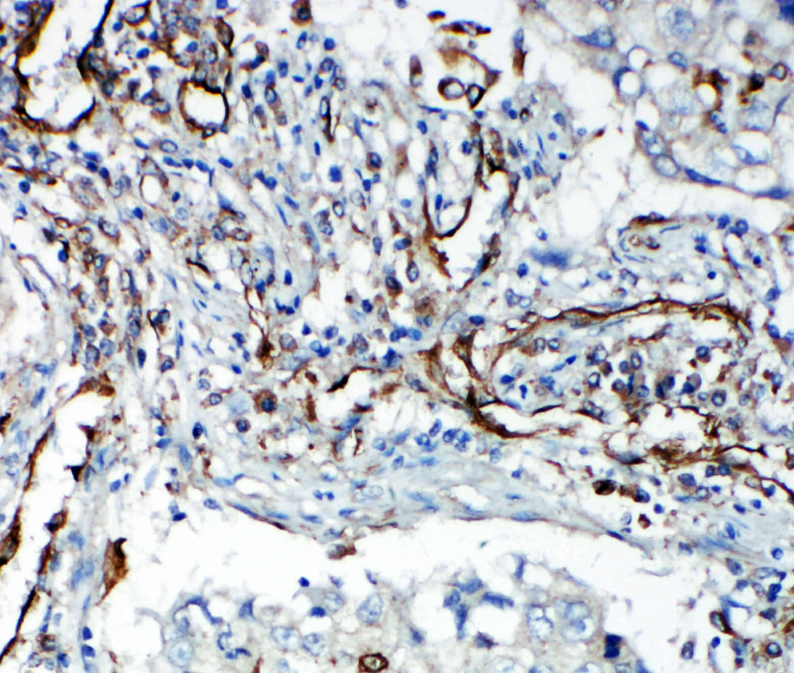
IHC analysis of VEGFR2/KDR using anti-VEGFR2/KDR antibody (BA0472).
VEGFR2/KDR was detected in a paraffin-embedded section of human lung cancer tissue. The tissue section was incubated with rabbit anti-VEGFR2/KDR Antibody (BA0472) at a dilution of 1:200 and developed using HRP Conjugated Rabbit IgG Super Vision Assay Kit (Catalog # SV0002) with DAB (Catalog # AR1027) as the chromogen.

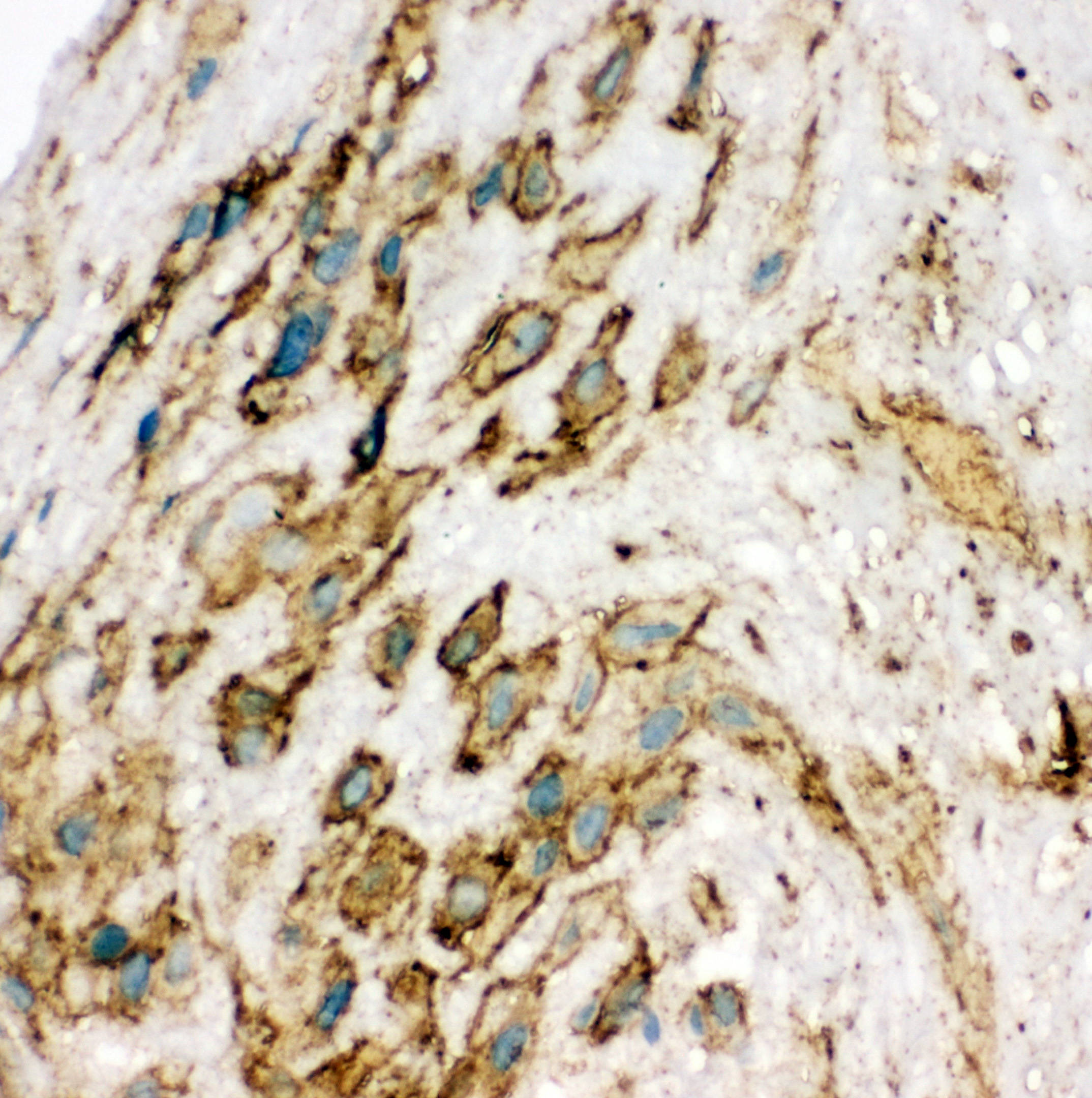
IHC analysis of VEGFR2/KDR using anti-VEGFR2/KDR antibody (BA0472).
VEGFR2/KDR was detected in frozen section of human placenta tissue. The tissue section was incubated with rabbit anti-VEGFR2/KDR Antibody (BA0472) at a dilution of 1:200 and developed using HRP Conjugated Rabbit IgG Super Vision Assay Kit (Catalog # SV0002) with DAB (Catalog # AR1027) as the chromogen.

ICC analysis of VEGFR2/KDR using anti- VEGFR2/KDR antibody (BA0472).
VEGFR2/KDR was detected in an immunocytochemical section of Hela cells. The section was incubated with rabbit anti-VEGFR2/KDR Antibody (BA0472) at a dilution of 1:100. Biotinylated goat anti-rabbit IgG was used as secondary antibody. The section was developed using Strepavidin-Biotin-Complex (SABC)(Catalog # SA1022) with DAB (Catalog # AR1027) as the chromogen.

Western blot analysis of VEGFR2/KDR using anti-VEGFR2/KDR antibody (BA0472). The sample well of each lane was loaded with 30 ug of sample under reducing conditions.
Lane 1: human SMMC whole cell lysates.
After electrophoresis, proteins were transferred to a membrane. Then the membrane was incubated with rabbit anti-VEGFR2/KDR antigen affinity purified polyclonal antibody (BA0472) at a dilution of 1:1000 and probed with a goat anti-rabbit IgG-HRP secondary antibody (Catalog # BA1054). The signal is developed using ECL Plus Western Blotting Substrate (Catalog # AR1197). A specific band was detected for VEGFR2/KDR at approximately 180-250 kDa. The expected band size for VEGFR2/KDR is at 180-250 kDa.

IHC analysis of VEGFR2/KDR using anti-VEGFR2/KDR antibody (BA0472).
VEGFR2/KDR was detected in a paraffin-embedded section of human lung cancer tissue. The tissue section was incubated with rabbit anti-VEGFR2/KDR Antibody (BA0472) at a dilution of 1:200 and developed using HRP Conjugated Rabbit IgG Super Vision Assay Kit (Catalog # SV0002) with DAB (Catalog # AR1027) as the chromogen.

IHC analysis of VEGFR2/KDR using anti-VEGFR2/KDR antibody (BA0472).
VEGFR2/KDR was detected in frozen section of human placenta tissue. The tissue section was incubated with rabbit anti-VEGFR2/KDR Antibody (BA0472) at a dilution of 1:200 and developed using HRP Conjugated Rabbit IgG Super Vision Assay Kit (Catalog # SV0002) with DAB (Catalog # AR1027) as the chromogen.

ICC analysis of VEGFR2/KDR using anti- VEGFR2/KDR antibody (BA0472).
VEGFR2/KDR was detected in an immunocytochemical section of Hela cells. The section was incubated with rabbit anti-VEGFR2/KDR Antibody (BA0472) at a dilution of 1:100. Biotinylated goat anti-rabbit IgG was used as secondary antibody. The section was developed using Strepavidin-Biotin-Complex (SABC)(Catalog # SA1022) with DAB (Catalog # AR1027) as the chromogen.



