| Western blot (WB): | 1:500-2000 |
| Immunohistochemistry (IHC): | 1:50-400 |
| Flow Cytometry (Fixed): | 1:50-200 |
| (Boiling the paraffin sections in 10mM citrate buffer,pH6.0,or PH8.0 EDTA repair liquid for 20 mins is required for the staining of formalin/paraffin sections.) Optimal working dilutions must be determined by end user. | |

Western blot analysis of NR1D1 using anti-NR1D1 antibody (A01077-2). The sample well of each lane was loaded with 30 ug of sample under reducing conditions.
Lane 1: human A431 whole cell lysates,
Lane 2: human U251 whole cell lysates,
Lane 3: human U2OS whole cell lysates,
Lane 4: human Hacat whole cell lysates,
Lane 5: rat heart tissue lysates,
Lane 6: mouse heart tissue lysates.
After electrophoresis, proteins were transferred to a membrane. Then the membrane was incubated with rabbit anti-NR1D1 antigen affinity purified polyclonal antibody (A01077-2) at a dilution of 1:1000 and probed with a goat anti-rabbit IgG-HRP secondary antibody (Catalog # BA1054). The signal is developed using ECL Plus Western Blotting Substrate (Catalog # AR1197). A specific band was detected for NR1D1 at approximately 67 kDa. The expected band size for NR1D1 is at 67 kDa.

IHC analysis of NR1D1 using anti-NR1D1 antibody (A01077-2).
NR1D1 was detected in a paraffin-embedded section of human breast cancer tissue. The tissue section was incubated with rabbit anti-NR1D1 Antibody (A01077-2) at a dilution of 1:200 and developed using HRP Conjugated Rabbit IgG Super Vision Assay Kit (Catalog # SV0002) with DAB (Catalog # AR1027) as the chromogen.

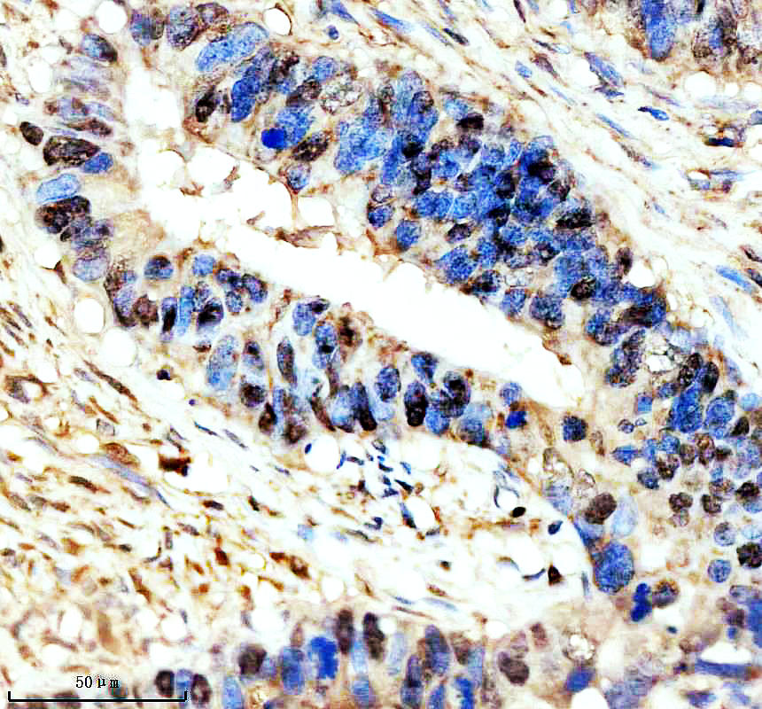
IHC analysis of NR1D1 using anti-NR1D1 antibody (A01077-2).
NR1D1 was detected in a paraffin-embedded section of human colon cancer tissue. The tissue section was incubated with rabbit anti-NR1D1 Antibody (A01077-2) at a dilution of 1:200 and developed using HRP Conjugated Rabbit IgG Super Vision Assay Kit (Catalog # SV0002) with DAB (Catalog # AR1027) as the chromogen.

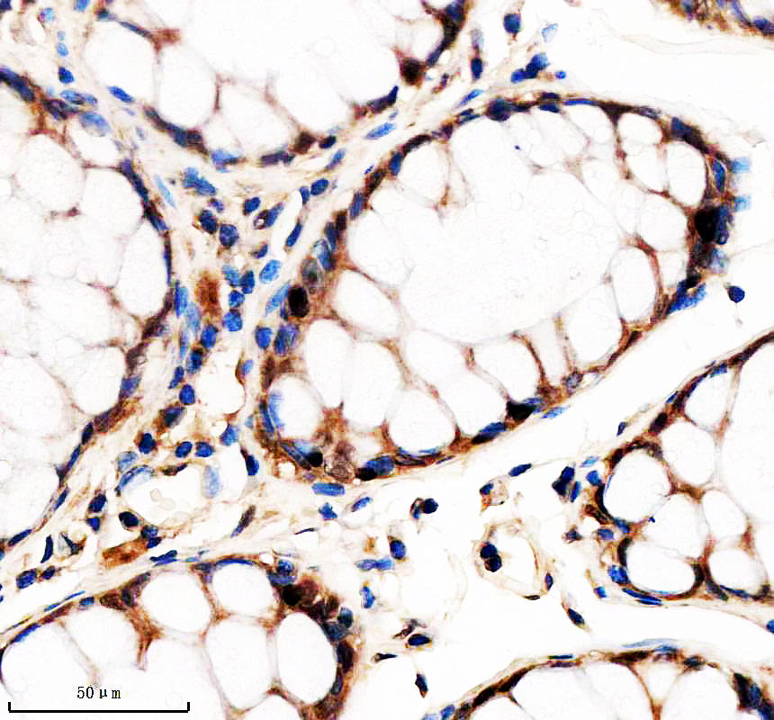
IHC analysis of NR1D1 using anti-NR1D1 antibody (A01077-2).
NR1D1 was detected in a paraffin-embedded section of human colon tissue. The tissue section was incubated with rabbit anti-NR1D1 Antibody (A01077-2) at a dilution of 1:200 and developed using HRP Conjugated Rabbit IgG Super Vision Assay Kit (Catalog # SV0002) with DAB (Catalog # AR1027) as the chromogen.

Flow Cytometry analysis of U251 cells using anti-NR1D1 antibody (A01077-2).
Overlay histogram showing U251 cells stained with A01077-2 (Blue line). The cells were fixed with 4% paraformaldehyde and blocked with 10% normal goat serum. And then incubated with rabbit anti-NR1D1 Antibody (A01077-2) at 1:100 dilution for 30 min at 20°C. Fluoro488 conjugated goat anti-rabbit IgG (BA1127) was used as secondary antibody at 1:100 dilution for 30 minutes at 20°C. Isotype control antibody (Green line) was rabbit IgG at 1:100 dilution used under the same conditions. Unlabelled sample without incubation with primary antibody and secondary antibody (Red line) was used as a blank control.

Western blot analysis of NR1D1 using anti-NR1D1 antibody (A01077-2). The sample well of each lane was loaded with 30 ug of sample under reducing conditions.
Lane 1: human A431 whole cell lysates,
Lane 2: human U251 whole cell lysates,
Lane 3: human U2OS whole cell lysates,
Lane 4: human Hacat whole cell lysates,
Lane 5: rat heart tissue lysates,
Lane 6: mouse heart tissue lysates.
After electrophoresis, proteins were transferred to a membrane. Then the membrane was incubated with rabbit anti-NR1D1 antigen affinity purified polyclonal antibody (A01077-2) at a dilution of 1:1000 and probed with a goat anti-rabbit IgG-HRP secondary antibody (Catalog # BA1054). The signal is developed using ECL Plus Western Blotting Substrate (Catalog # AR1197). A specific band was detected for NR1D1 at approximately 67 kDa. The expected band size for NR1D1 is at 67 kDa.

IHC analysis of NR1D1 using anti-NR1D1 antibody (A01077-2).
NR1D1 was detected in a paraffin-embedded section of human breast cancer tissue. The tissue section was incubated with rabbit anti-NR1D1 Antibody (A01077-2) at a dilution of 1:200 and developed using HRP Conjugated Rabbit IgG Super Vision Assay Kit (Catalog # SV0002) with DAB (Catalog # AR1027) as the chromogen.

IHC analysis of NR1D1 using anti-NR1D1 antibody (A01077-2).
NR1D1 was detected in a paraffin-embedded section of human colon cancer tissue. The tissue section was incubated with rabbit anti-NR1D1 Antibody (A01077-2) at a dilution of 1:200 and developed using HRP Conjugated Rabbit IgG Super Vision Assay Kit (Catalog # SV0002) with DAB (Catalog # AR1027) as the chromogen.

IHC analysis of NR1D1 using anti-NR1D1 antibody (A01077-2).
NR1D1 was detected in a paraffin-embedded section of human colon tissue. The tissue section was incubated with rabbit anti-NR1D1 Antibody (A01077-2) at a dilution of 1:200 and developed using HRP Conjugated Rabbit IgG Super Vision Assay Kit (Catalog # SV0002) with DAB (Catalog # AR1027) as the chromogen.

Flow Cytometry analysis of U251 cells using anti-NR1D1 antibody (A01077-2).
Overlay histogram showing U251 cells stained with A01077-2 (Blue line). The cells were fixed with 4% paraformaldehyde and blocked with 10% normal goat serum. And then incubated with rabbit anti-NR1D1 Antibody (A01077-2) at 1:100 dilution for 30 min at 20°C. Fluoro488 conjugated goat anti-rabbit IgG (BA1127) was used as secondary antibody at 1:100 dilution for 30 minutes at 20°C. Isotype control antibody (Green line) was rabbit IgG at 1:100 dilution used under the same conditions. Unlabelled sample without incubation with primary antibody and secondary antibody (Red line) was used as a blank control.




