| Western blot (WB): | 1:500-2000 |
| Immunohistochemistry (IHC): | 1:50-400 |
| Immunocytochemistry/Immunofluorescence (ICC/IF): | 1:50-400 |
| ImmunoPrecipitation (IP): | 1:50 |
| (Boiling the paraffin sections in 10mM citrate buffer,pH6.0,or PH8.0 EDTA repair liquid for 20 mins is required for the staining of formalin/paraffin sections.) Optimal working dilutions must be determined by end user. | |

Western blot analysis of anti-Occludin/OCLN antibody (A01246-4). The sample well of each lane was loaded with 30 ug of sample under reducing conditions.
Lane 1: human HepG2 whole cell lysates,
Lane 2: human 293T whole cell lysates,
Lane 3: human Jurkat whole cell lysates,
Lane 4: rat liver tissue lysates,
Lane 5: mouse liver tissue lysates,
Lane 6: mouse kidney tissue lysates.
After electrophoresis, proteins were transferred to a membrane. Then the membrane was incubated with rabbit anti-Occludin/OCLN antigen affinity purified polyclonal antibody (A01246-4) and probed with a goat anti-rabbit IgG-HRP secondary antibody (Catalog # BA1054). The signal is developed using ECL Plus Western Blotting Substrate (Catalog # AR1197). A specific band was detected for Occludin/OCLN at approximately 59 kDa. The expected band size for Occludin/OCLN is at 59 kDa.

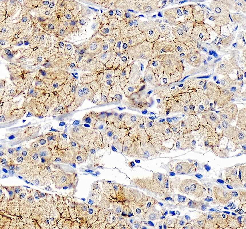
IHC analysis of Occludin/OCLN using anti-Occludin/OCLN antibody (A01246-4).
Occludin/OCLN was detected in a paraffin-embedded section of human stomach tissue. The tissue section was incubated with rabbit anti-Occludin/OCLN Antibody (A01246-4) at a dilution of 1:200 and developed using HRP Conjugated Rabbit IgG Super Vision Assay Kit (Catalog # SV0002) with DAB (Catalog # AR1027) as the chromogen.

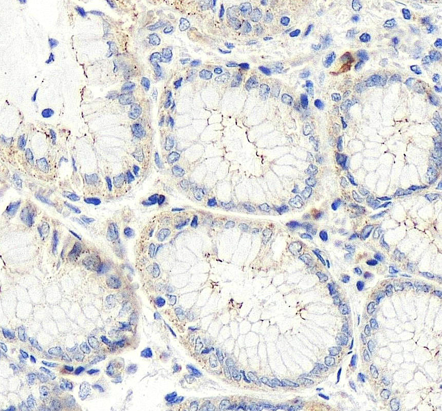
IHC analysis of Occludin/OCLN using anti-Occludin/OCLN antibody (A01246-4).
Occludin/OCLN was detected in a paraffin-embedded section of human stomach tissue. The tissue section was incubated with rabbit anti-Occludin/OCLN Antibody (A01246-4) at a dilution of 1:200 and developed using HRP Conjugated Rabbit IgG Super Vision Assay Kit (Catalog # SV0002) with DAB (Catalog # AR1027) as the chromogen.

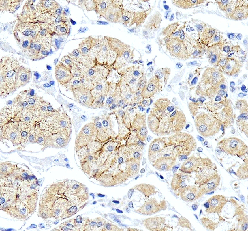
IHC analysis of Occludin/OCLN using anti-Occludin/OCLN antibody (A01246-4).
Occludin/OCLN was detected in a paraffin-embedded section of human stomach tissue. The tissue section was incubated with rabbit anti-Occludin/OCLN Antibody (A01246-4) at a dilution of 1:200 and developed using HRP Conjugated Rabbit IgG Super Vision Assay Kit (Catalog # SV0002) with DAB (Catalog # AR1027) as the chromogen.

IP analysis of Occludin/OCLN using anti-Occludin/OCLN antibody (A01246-4) in HepG2 whole cell lysate.
Western blot analysis of Occludin/OCLN using anti- Occludin/OCLN antibody (A01246-4).
Lane 1: HepG2 whole cell lysates(30ug),
Lane 2: Rabbit control IgG instead of anti- Occludin/OCLN antibody in HepG2 whole cell lysate,
Lane 3: anti- Occludin/OCLN antibody (2μg) + HepG2 whole cell lysate (500μg).
After electrophoresis, proteins were transferred to a membrane. Then the membrane was incubated with rabbit anti- Occludin/OCLN antigen affinity purified polyclonal antibody (A01246-4) at a dilution of 1:1000 and probed with a mouse anti-rabbit IgG-HRP secondary antibody (Light Chain Specific). The signal is developed using ECL Plus Western Blotting Substrate (Catalog # AR1197). A specific band was detected for Occludin/OCLN at approximately 59 kDa. The expected band size for Occludin/OCLN is at 59 kDa.

Western blot analysis of anti-Occludin/OCLN antibody (A01246-4). The sample well of each lane was loaded with 30 ug of sample under reducing conditions.
Lane 1: human HepG2 whole cell lysates,
Lane 2: human 293T whole cell lysates,
Lane 3: human Jurkat whole cell lysates,
Lane 4: rat liver tissue lysates,
Lane 5: mouse liver tissue lysates,
Lane 6: mouse kidney tissue lysates.
After electrophoresis, proteins were transferred to a membrane. Then the membrane was incubated with rabbit anti-Occludin/OCLN antigen affinity purified polyclonal antibody (A01246-4) and probed with a goat anti-rabbit IgG-HRP secondary antibody (Catalog # BA1054). The signal is developed using ECL Plus Western Blotting Substrate (Catalog # AR1197). A specific band was detected for Occludin/OCLN at approximately 59 kDa. The expected band size for Occludin/OCLN is at 59 kDa.

IHC analysis of Occludin/OCLN using anti-Occludin/OCLN antibody (A01246-4).
Occludin/OCLN was detected in a paraffin-embedded section of human stomach tissue. The tissue section was incubated with rabbit anti-Occludin/OCLN Antibody (A01246-4) at a dilution of 1:200 and developed using HRP Conjugated Rabbit IgG Super Vision Assay Kit (Catalog # SV0002) with DAB (Catalog # AR1027) as the chromogen.

IHC analysis of Occludin/OCLN using anti-Occludin/OCLN antibody (A01246-4).
Occludin/OCLN was detected in a paraffin-embedded section of human stomach tissue. The tissue section was incubated with rabbit anti-Occludin/OCLN Antibody (A01246-4) at a dilution of 1:200 and developed using HRP Conjugated Rabbit IgG Super Vision Assay Kit (Catalog # SV0002) with DAB (Catalog # AR1027) as the chromogen.

IHC analysis of Occludin/OCLN using anti-Occludin/OCLN antibody (A01246-4).
Occludin/OCLN was detected in a paraffin-embedded section of human stomach tissue. The tissue section was incubated with rabbit anti-Occludin/OCLN Antibody (A01246-4) at a dilution of 1:200 and developed using HRP Conjugated Rabbit IgG Super Vision Assay Kit (Catalog # SV0002) with DAB (Catalog # AR1027) as the chromogen.


IP analysis of Occludin/OCLN using anti-Occludin/OCLN antibody (A01246-4) in HepG2 whole cell lysate.
Western blot analysis of Occludin/OCLN using anti- Occludin/OCLN antibody (A01246-4).
Lane 1: HepG2 whole cell lysates(30ug),
Lane 2: Rabbit control IgG instead of anti- Occludin/OCLN antibody in HepG2 whole cell lysate,
Lane 3: anti- Occludin/OCLN antibody (2μg) + HepG2 whole cell lysate (500μg).
After electrophoresis, proteins were transferred to a membrane. Then the membrane was incubated with rabbit anti- Occludin/OCLN antigen affinity purified polyclonal antibody (A01246-4) at a dilution of 1:1000 and probed with a mouse anti-rabbit IgG-HRP secondary antibody (Light Chain Specific). The signal is developed using ECL Plus Western Blotting Substrate (Catalog # AR1197). A specific band was detected for Occludin/OCLN at approximately 59 kDa. The expected band size for Occludin/OCLN is at 59 kDa.





