| Western blot (WB): | 1:500-2000 |
| Immunocytochemistry/Immunofluorescence (ICC/IF): | 1:50-400 |
| Flow Cytometry (Fixed): | 1:50-200 |
| Enzyme linked immunosorbent assay (ELISA): | 1:100-1000 |

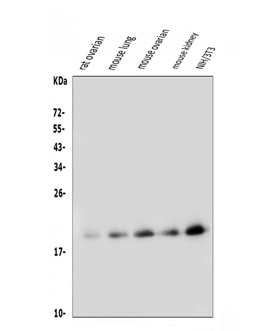
Western blot analysis of FGF10 using anti-FGF10 antibody (A01709). The sample well of each lane was loaded with 30 ug of sample under reducing conditions.
Lane 1: Rat ovarian tissue lysates,
Lane 2: Mouse lung tissue lysates,
Lane 3: Mouse ovarian tissue lysates,
Lane 4: Mouse kidney tissue lysates,
Lane 5: Mouse NIH/3T3 whole cell lysates.
After electrophoresis, proteins were transferred to a membrane. Then the membrane was incubated with rabbit anti-FGF10 antigen affinity purified polyclonal antibody (A01709) at a dilution of 1:1000 and probed with a goat anti-rabbit IgG-HRP secondary antibody (Catalog # BA1054). The signal is developed using ECL Plus Western Blotting Substrate (Catalog # AR1197). A specific band was detected for FGF10 at approximately 20 kDa. The expected band size for FGF10 is at 23 kDa.

ICC/IF analysis of FGF10 using anti-FGF10 antibody (A01709).
FGF10 was detected in an immunocytochemical section of Hela cells. The section was incubated with rabbit anti-FGF10 Antibody (A01709) at a dilution of 1:100. Fluoro488 Conjugated Goat Anti-Rabbit IgG (Green) (Catalog # BA1127) was used as secondary antibody. The section was counterstained with DAPI (Catalog # AR1176) (Blue).

Flow Cytometry analysis of Jurkat cells using anti-FGF10 antibody (A01709).
Overlay histogram showing Jurkat cells stained with A01709 (Blue line). To facilitate intracellular staining, cells were fixed with 4% paraformaldehyde and permeabilized with permeabilization buffer. The cells were blocked with 10% normal goat serum. And then incubated with rabbit anti-FGF10 Antibody (A01709) at 1:100 dilution for 30 min at 20°C. Fluoro488 conjugated goat anti-rabbit IgG (BA1127) was used as secondary antibody at 1:100 dilution for 30 minutes at 20°C. Isotype control antibody (Green line) was rabbit IgG at 1:100 dilution used under the same conditions. Unlabelled sample without incubation with primary antibody and secondary antibody (Red line) was used as a blank control.

Western blot analysis of FGF10 using anti-FGF10 antibody (A01709). The sample well of each lane was loaded with 30 ug of sample under reducing conditions.
Lane 1: Rat ovarian tissue lysates,
Lane 2: Mouse lung tissue lysates,
Lane 3: Mouse ovarian tissue lysates,
Lane 4: Mouse kidney tissue lysates,
Lane 5: Mouse NIH/3T3 whole cell lysates.
After electrophoresis, proteins were transferred to a membrane. Then the membrane was incubated with rabbit anti-FGF10 antigen affinity purified polyclonal antibody (A01709) at a dilution of 1:1000 and probed with a goat anti-rabbit IgG-HRP secondary antibody (Catalog # BA1054). The signal is developed using ECL Plus Western Blotting Substrate (Catalog # AR1197). A specific band was detected for FGF10 at approximately 20 kDa. The expected band size for FGF10 is at 23 kDa.

ICC/IF analysis of FGF10 using anti-FGF10 antibody (A01709).
FGF10 was detected in an immunocytochemical section of Hela cells. The section was incubated with rabbit anti-FGF10 Antibody (A01709) at a dilution of 1:100. Fluoro488 Conjugated Goat Anti-Rabbit IgG (Green) (Catalog # BA1127) was used as secondary antibody. The section was counterstained with DAPI (Catalog # AR1176) (Blue).

Flow Cytometry analysis of Jurkat cells using anti-FGF10 antibody (A01709).
Overlay histogram showing Jurkat cells stained with A01709 (Blue line). To facilitate intracellular staining, cells were fixed with 4% paraformaldehyde and permeabilized with permeabilization buffer. The cells were blocked with 10% normal goat serum. And then incubated with rabbit anti-FGF10 Antibody (A01709) at 1:100 dilution for 30 min at 20°C. Fluoro488 conjugated goat anti-rabbit IgG (BA1127) was used as secondary antibody at 1:100 dilution for 30 minutes at 20°C. Isotype control antibody (Green line) was rabbit IgG at 1:100 dilution used under the same conditions. Unlabelled sample without incubation with primary antibody and secondary antibody (Red line) was used as a blank control.




