| Western blot (WB): | 1:500-2000 |
| Immunohistochemistry (IHC): | 1:50-400 |
| Flow Cytometry (Fixed): | 1:50-200 |
| Enzyme linked immunosorbent assay (ELISA): | 1:100-1000 |
| (Boiling the paraffin sections in 10mM citrate buffer,pH6.0,or PH8.0 EDTA repair liquid for 20 mins is required for the staining of formalin/paraffin sections.) Optimal working dilutions must be determined by end user. | |

Western blot analysis of GPX4 using anti-GPX4 antibody (A02059-1). The sample well of each lane was loaded with 30 ug of sample under reducing conditions.
Lane 1: human HCT116- WT whole cell lysates,
Lane 2: human HCT116-GPX4 KO whole cell lysates.
After electrophoresis, proteins were transferred to a membrane. Then the membrane was incubated with rabbit anti-GPX4 antigA03957-Aen affinity purified polyclonal antibody (A02059-1) at a dilution of 1:1000 and probed with a goat anti-rabbit IgG-HRP secondary antibody (Catalog # BA1054). The signal is developed using ECL Plus Western Blotting Substrate (Catalog # AR1197). A specific band was detected for GPX4 at approximately 19 kDa. The expected band size for GPX4 is at 22 kDa.

Western blot analysis of GPX4 using anti-GPX4 antibody (A02059-1). The sample well of each lane was loaded with 30 ug of sample under reducing conditions.
Lane 1: human HepG2 whole cell lysates,
Lane 2: human MCF-7 whole cell lysates,
Lane 3: human RT4 whole cell lysates,
Lane 4: monkey COS-7 whole cell lysates,
Lane 5: rat kidney tissue lysates,
Lane 6: rat testis tissue lysates,
Lane 7: mouse kidney tissue lysates.
After electrophoresis, proteins were transferred to a membrane. Then the membrane was incubated with rabbit anti-GPX4 antigA03957-Aen affinity purified polyclonal antibody (A02059-1) at a dilution of 1:1000 and probed with a goat anti-rabbit IgG-HRP secondary antibody (Catalog # BA1054). The signal is developed using ECL Plus Western Blotting Substrate (Catalog # AR1197). A specific band was detected for GPX4 at approximately 19 kDa. The expected band size for GPX4 is at 22 kDa.

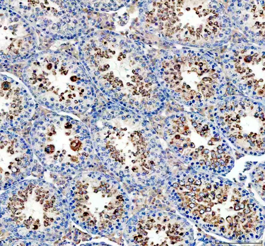
IHC analysis of GPX4 using anti-GPX4 antibody (A02059-1).
GPX4 was detected in a paraffin-embedded section of human testis tissue. The tissue section was incubated with rabbit anti-GPX4 Antibody (A02059-1) at a dilution of 1:200 and developed using HRP Conjugated Rabbit IgG Super Vision Assay Kit (Catalog # SV0002) with DAB (Catalog # AR1027) as the chromogen.

IHC analysis of GPX4 using anti-GPX4 antibody (A02059-1).
GPX4 was detected in a paraffin-embedded section of mouse testis tissue. The tissue section was incubated with rabbit anti-GPX4 Antibody (A02059-1) at a dilution of 1:200 and developed using HRP Conjugated Rabbit IgG Super Vision Assay Kit (Catalog # SV0002) with DAB (Catalog # AR1027) as the chromogen.

Flow Cytometry analysis of THP-1 cells using anti-GPX4 antibody (A02059-1).
Overlay histogram showing THP-1 cells stained with A02059-1 (Blue line). To facilitate intrGPX4llular staining, cells were fixed with 4% paraformaldehyde and permeabilized with permeabilization buffer. The cells were blocked with 10% normal goat serum. And then incubated with rabbit anti-GPX4 Antibody (A02059-1) at 1:100 dilution for 30 min at 20°C. Fluoro488 conjugated goat anti-rabbit IgG (BA1127) was used as secondary antibody at 1:100 dilution for 30 minutes at 20°C. Isotype control antibody (Green line) was rabbit IgG at 1:100 dilution used under the same conditions. Unlabelled sample without incubation with primary antibody and secondary antibody (Red line) was used as a blank control.

Western blot analysis of GPX4 using anti-GPX4 antibody (A02059-1). The sample well of each lane was loaded with 30 ug of sample under reducing conditions.
Lane 1: human HCT116- WT whole cell lysates,
Lane 2: human HCT116-GPX4 KO whole cell lysates.
After electrophoresis, proteins were transferred to a membrane. Then the membrane was incubated with rabbit anti-GPX4 antigA03957-Aen affinity purified polyclonal antibody (A02059-1) at a dilution of 1:1000 and probed with a goat anti-rabbit IgG-HRP secondary antibody (Catalog # BA1054). The signal is developed using ECL Plus Western Blotting Substrate (Catalog # AR1197). A specific band was detected for GPX4 at approximately 19 kDa. The expected band size for GPX4 is at 22 kDa.

Western blot analysis of GPX4 using anti-GPX4 antibody (A02059-1). The sample well of each lane was loaded with 30 ug of sample under reducing conditions.
Lane 1: human HepG2 whole cell lysates,
Lane 2: human MCF-7 whole cell lysates,
Lane 3: human RT4 whole cell lysates,
Lane 4: monkey COS-7 whole cell lysates,
Lane 5: rat kidney tissue lysates,
Lane 6: rat testis tissue lysates,
Lane 7: mouse kidney tissue lysates.
After electrophoresis, proteins were transferred to a membrane. Then the membrane was incubated with rabbit anti-GPX4 antigA03957-Aen affinity purified polyclonal antibody (A02059-1) at a dilution of 1:1000 and probed with a goat anti-rabbit IgG-HRP secondary antibody (Catalog # BA1054). The signal is developed using ECL Plus Western Blotting Substrate (Catalog # AR1197). A specific band was detected for GPX4 at approximately 19 kDa. The expected band size for GPX4 is at 22 kDa.

IHC analysis of GPX4 using anti-GPX4 antibody (A02059-1).
GPX4 was detected in a paraffin-embedded section of human testis tissue. The tissue section was incubated with rabbit anti-GPX4 Antibody (A02059-1) at a dilution of 1:200 and developed using HRP Conjugated Rabbit IgG Super Vision Assay Kit (Catalog # SV0002) with DAB (Catalog # AR1027) as the chromogen.

IHC analysis of GPX4 using anti-GPX4 antibody (A02059-1).
GPX4 was detected in a paraffin-embedded section of mouse testis tissue. The tissue section was incubated with rabbit anti-GPX4 Antibody (A02059-1) at a dilution of 1:200 and developed using HRP Conjugated Rabbit IgG Super Vision Assay Kit (Catalog # SV0002) with DAB (Catalog # AR1027) as the chromogen.

Flow Cytometry analysis of THP-1 cells using anti-GPX4 antibody (A02059-1).
Overlay histogram showing THP-1 cells stained with A02059-1 (Blue line). To facilitate intrGPX4llular staining, cells were fixed with 4% paraformaldehyde and permeabilized with permeabilization buffer. The cells were blocked with 10% normal goat serum. And then incubated with rabbit anti-GPX4 Antibody (A02059-1) at 1:100 dilution for 30 min at 20°C. Fluoro488 conjugated goat anti-rabbit IgG (BA1127) was used as secondary antibody at 1:100 dilution for 30 minutes at 20°C. Isotype control antibody (Green line) was rabbit IgG at 1:100 dilution used under the same conditions. Unlabelled sample without incubation with primary antibody and secondary antibody (Red line) was used as a blank control.






