| Western blot (WB): | 1:500-2000 |
| ELISA: | 1:100-1000 |

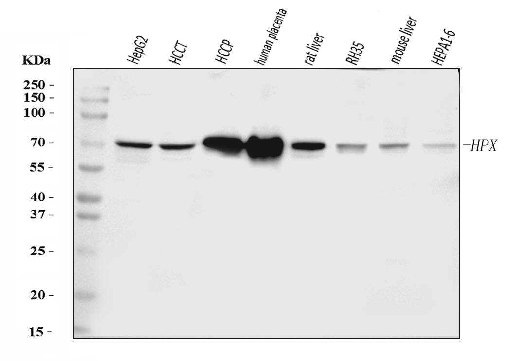
Western blot analysis of Hemopexin/HPX using anti-Hemopexin/HPX antibody (A02237-2). The sample well of each lane was loaded with 30 ug of sample under reducing conditions.
Lane 1: HEPG2 whole cell lysates,
Lane 2: HCCT tissue lysates,
Lane 3: HCCP tissue lysates,
Lane 4: human placenta tissue lysates,
Lane 5: rat liver tissue lysates,
Lane 6: RH35 whole cell lysates,
Lane 7: mouse liver tissue lysates,
Lane 8: HEPA1-6 whole cell lysates.
After electrophoresis, proteins were transferred to a membrane. Then the membrane was incubated with rabbit anti-Hemopexin/HPX antigen affinity purified polyclonal antibody (A02237-2) at a dilution of 1:1000 and probed with a goat anti-rabbit IgG-HRP secondary antibody (Catalog # BA1054). The signal is developed using ECL Plus Western Blotting Substrate (Catalog # AR1197). A specific band was detected for Hemopexin/HPX at approximately 70-75 kDa. The expected band size for Hemopexin/HPX is at 52 kDa.

Western blot analysis of Hemopexin/HPX using anti-Hemopexin/HPX antibody (A02237-2). The sample well of each lane was loaded with 30 ug of sample under reducing conditions.
Lane 1: HEPG2 whole cell lysates,
Lane 2: HCCT tissue lysates,
Lane 3: HCCP tissue lysates,
Lane 4: human placenta tissue lysates,
Lane 5: rat liver tissue lysates,
Lane 6: RH35 whole cell lysates,
Lane 7: mouse liver tissue lysates,
Lane 8: HEPA1-6 whole cell lysates.
After electrophoresis, proteins were transferred to a membrane. Then the membrane was incubated with rabbit anti-Hemopexin/HPX antigen affinity purified polyclonal antibody (A02237-2) at a dilution of 1:1000 and probed with a goat anti-rabbit IgG-HRP secondary antibody (Catalog # BA1054). The signal is developed using ECL Plus Western Blotting Substrate (Catalog # AR1197). A specific band was detected for Hemopexin/HPX at approximately 70-75 kDa. The expected band size for Hemopexin/HPX is at 52 kDa.


