| Western blot (WB): | 1:500-2000 |
| Immunohistochemistry (IHC): | 1:50-400 |
| ELISA: | 1:100-1000 |
| (Boiling the paraffin sections in 10mM citrate buffer,pH6.0,or PH8.0 EDTA repair liquid for 20 mins is required for the staining of formalin/paraffin sections.) Optimal working dilutions must be determined by end user. | |

Western blot analysis of LNPEP using anti-LNPEP antibody (A05092-1). The sample well of each lane was loaded with 30 ug of sample under reducing conditions.
Lane 1: Hela whole cell lysates,
Lane 2: 293T whole cell lysates,
Lane 3: Daudi whole cell lysates,
Lane 4: T-47D whole cell lysates,
Lane 5: RT4 whole cell lysates.
After electrophoresis, proteins were transferred to a membrane. Then the membrane was incubated with rabbit anti-LNPEP antigen affinity purified polyclonal antibody (A05092-1) at a dilution of 1:1000 and probed with a goat anti-rabbit IgG-HRP secondary antibody (Catalog # BA1054). The signal is developed using ECL Plus Western Blotting Substrate (Catalog # AR1197). A specific band was detected for LNPEP at approximately 117 kDa. The expected band size for LNPEP is at 117 kDa.

IHC analysis of LNPEP using anti-LNPEP antibody (A05092-1).
LNPEP was detected in a paraffin-embedded section of human placenta tissue. The tissue section was incubated with rabbit anti-LNPEP Antibody (A05092-1) at a dilution of 1:200 and developed using HRP Conjugated Rabbit IgG Super Vision Assay Kit (Catalog # SV0002) with DAB (Catalog # AR1027) as the chromogen.

IHC analysis of LNPEP using anti-LNPEP antibody (A05092-1).
LNPEP was detected in a paraffin-embedded section of mouse brain tissue. The tissue section was incubated with rabbit anti-LNPEP Antibody (A05092-1) at a dilution of 1:200 and developed using HRP Conjugated Rabbit IgG Super Vision Assay Kit (Catalog # SV0002) with DAB (Catalog # AR1027) as the chromogen.

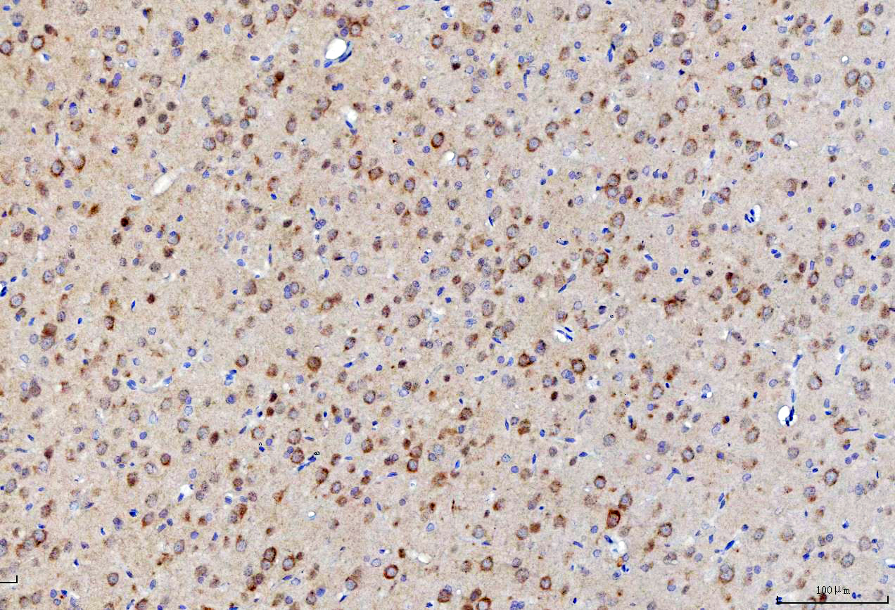
IHC analysis of LNPEP using anti-LNPEP antibody (A05092-1).
LNPEP was detected in a paraffin-embedded section of rat brain tissue. The tissue section was incubated with rabbit anti-LNPEP Antibody (A05092-1) at a dilution of 1:200 and developed using HRP Conjugated Rabbit IgG Super Vision Assay Kit (Catalog # SV0002) with DAB (Catalog # AR1027) as the chromogen.

Western blot analysis of LNPEP using anti-LNPEP antibody (A05092-1). The sample well of each lane was loaded with 30 ug of sample under reducing conditions.
Lane 1: Hela whole cell lysates,
Lane 2: 293T whole cell lysates,
Lane 3: Daudi whole cell lysates,
Lane 4: T-47D whole cell lysates,
Lane 5: RT4 whole cell lysates.
After electrophoresis, proteins were transferred to a membrane. Then the membrane was incubated with rabbit anti-LNPEP antigen affinity purified polyclonal antibody (A05092-1) at a dilution of 1:1000 and probed with a goat anti-rabbit IgG-HRP secondary antibody (Catalog # BA1054). The signal is developed using ECL Plus Western Blotting Substrate (Catalog # AR1197). A specific band was detected for LNPEP at approximately 117 kDa. The expected band size for LNPEP is at 117 kDa.

IHC analysis of LNPEP using anti-LNPEP antibody (A05092-1).
LNPEP was detected in a paraffin-embedded section of human placenta tissue. The tissue section was incubated with rabbit anti-LNPEP Antibody (A05092-1) at a dilution of 1:200 and developed using HRP Conjugated Rabbit IgG Super Vision Assay Kit (Catalog # SV0002) with DAB (Catalog # AR1027) as the chromogen.

IHC analysis of LNPEP using anti-LNPEP antibody (A05092-1).
LNPEP was detected in a paraffin-embedded section of mouse brain tissue. The tissue section was incubated with rabbit anti-LNPEP Antibody (A05092-1) at a dilution of 1:200 and developed using HRP Conjugated Rabbit IgG Super Vision Assay Kit (Catalog # SV0002) with DAB (Catalog # AR1027) as the chromogen.

IHC analysis of LNPEP using anti-LNPEP antibody (A05092-1).
LNPEP was detected in a paraffin-embedded section of rat brain tissue. The tissue section was incubated with rabbit anti-LNPEP Antibody (A05092-1) at a dilution of 1:200 and developed using HRP Conjugated Rabbit IgG Super Vision Assay Kit (Catalog # SV0002) with DAB (Catalog # AR1027) as the chromogen.





