| Western blot (WB): | 1:500-2000 |
| Immunohistochemistry (IHC): | 1:50-400 |
| Immunocytochemistry/Immunofluorescence (ICC/IF): | 1:50-400 |
| ImmunoPrecipitation (IP): | 1:250-300 |
| Flow Cytometry (Fixed): | 1:50-200 |
| Enzyme linked immunosorbent assay (ELISA): | 1:100-1000 |
| (Boiling the paraffin sections in 10mM citrate buffer,pH6.0,or PH8.0 EDTA repair liquid for 20 mins is required for the staining of formalin/paraffin sections.) Optimal working dilutions must be determined by end user. | |

Western blot analysis of METTL14 using anti-METTL14 antibody (A07389-2). The sample well of each lane was loaded with 30 ug of sample under reducing conditions.
Lane 1: human A549 whole cell lysates,
Lane 2: human Raji whole cell lysates,
Lane 3: human A431 whole cell lysates.
After electrophoresis, proteins were transferred to a membrane. Then the membrane was incubated with rabbit anti-METTL14 antigen affinity purified polyclonal antibody (A07389-2) at a dilution of 1:1000 and probed with a goat anti-rabbit IgG-HRP secondary antibody (Catalog # BA1054). The signal is developed using ECL Plus Western Blotting Substrate (Catalog # AR1197). A specific band was detected for METTL14 at approximately 65 kDa. The expected band size for METTL14 is at 52 kDa.

IHC analysis of METTL14 using anti-METTL14 antibody (A07389-2).
METTL14 was detected in a paraffin-embedded section of human breast cancer tissue. Biotinylated goat anti-rabbit IgG was used as secondary antibody. The tissue section was incubated with rabbit anti-METTL14 Antibody (A07389-2) at a dilution of 1:200 and developed using Strepavidin-Biotin-Complex (SABC) (Catalog # SA1022) with DAB (Catalog # AR1027) as the chromogen.

ICC/IF analysis of METTL14 using anti-METTL14 antibody (A07389-2).
METTL14 was detected in an immunocytochemical section of A431 cells. The section was incubated with rabbit anti-METTL14 Antibody (A07389-2) at a dilution of 1:100. Fluoro488 Conjugated Goat Anti-Rabbit IgG (Green) (Catalog # BA1127) was used as secondary antibody. The section was counterstained with DAPI (Catalog # AR1176) (Blue).

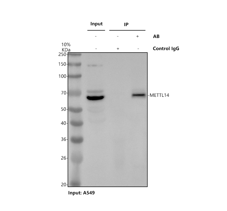
IP analysis of METTL14 using anti-METTL14 antibody (A07389-2) in A549 whole cell lysate.
Western blot analysis of METTL14 using anti- METTL14 antibody (A07389-2).
Lane 1: A549 whole cell lysates(30ug),
Lane 2: Rabbit control IgG instead of anti- METTL14 antibody in A549 whole cell lysate,
Lane 3: anti- METTL14 antibody (2μg) + A549 whole cell lysate (500μg).
After electrophoresis, proteins were transferred to a membrane. Then the membrane was incubated with rabbit anti- METTL14 antigen affinity purified polyclonal antibody (A07389-2) at a dilution of 1:1000 and probed with a mouse anti-rabbit IgG-HRP secondary antibody (Catalog # BM2007). The signal is developed using ECL Plus Western Blotting Substrate (Catalog # AR1197). A specific band was detected for METTL14 at approximately 65 kDa. The expected band size for METTL14 is at 52 kDa.

Flow Cytometry analysis of THP-1 cells using anti-METTL14 antibody (A07389-2).
Overlay histogram showing THP-1 cells stained with A07389-2 (Blue line). To facilitate intracellular staining, cells were fixed with 4% paraformaldehyde and permeabilized with permeabilization buffer. The cells were blocked with 10% normal goat serum. And then incubated with rabbit anti-METTL14 Antibody (A07389-2) at 1:100 dilution for 30 min at 20°C. Fluoro488 conjugated goat anti-rabbit IgG (BA1127) was used as secondary antibody at 1:100 dilution for 30 minutes at 20°C. Isotype control antibody (Green line) was rabbit IgG at 1:100 dilution used under the same conditions. Unlabelled sample without incubation with primary antibody and secondary antibody (Red line) was used as a blank control.

Western blot analysis of METTL14 using anti-METTL14 antibody (A07389-2). The sample well of each lane was loaded with 30 ug of sample under reducing conditions.
Lane 1: human A549 whole cell lysates,
Lane 2: human Raji whole cell lysates,
Lane 3: human A431 whole cell lysates.
After electrophoresis, proteins were transferred to a membrane. Then the membrane was incubated with rabbit anti-METTL14 antigen affinity purified polyclonal antibody (A07389-2) at a dilution of 1:1000 and probed with a goat anti-rabbit IgG-HRP secondary antibody (Catalog # BA1054). The signal is developed using ECL Plus Western Blotting Substrate (Catalog # AR1197). A specific band was detected for METTL14 at approximately 65 kDa. The expected band size for METTL14 is at 52 kDa.

IHC analysis of METTL14 using anti-METTL14 antibody (A07389-2).
METTL14 was detected in a paraffin-embedded section of human breast cancer tissue. Biotinylated goat anti-rabbit IgG was used as secondary antibody. The tissue section was incubated with rabbit anti-METTL14 Antibody (A07389-2) at a dilution of 1:200 and developed using Strepavidin-Biotin-Complex (SABC) (Catalog # SA1022) with DAB (Catalog # AR1027) as the chromogen.

ICC/IF analysis of METTL14 using anti-METTL14 antibody (A07389-2).
METTL14 was detected in an immunocytochemical section of A431 cells. The section was incubated with rabbit anti-METTL14 Antibody (A07389-2) at a dilution of 1:100. Fluoro488 Conjugated Goat Anti-Rabbit IgG (Green) (Catalog # BA1127) was used as secondary antibody. The section was counterstained with DAPI (Catalog # AR1176) (Blue).

IP analysis of METTL14 using anti-METTL14 antibody (A07389-2) in A549 whole cell lysate.
Western blot analysis of METTL14 using anti- METTL14 antibody (A07389-2).
Lane 1: A549 whole cell lysates(30ug),
Lane 2: Rabbit control IgG instead of anti- METTL14 antibody in A549 whole cell lysate,
Lane 3: anti- METTL14 antibody (2μg) + A549 whole cell lysate (500μg).
After electrophoresis, proteins were transferred to a membrane. Then the membrane was incubated with rabbit anti- METTL14 antigen affinity purified polyclonal antibody (A07389-2) at a dilution of 1:1000 and probed with a mouse anti-rabbit IgG-HRP secondary antibody (Catalog # BM2007). The signal is developed using ECL Plus Western Blotting Substrate (Catalog # AR1197). A specific band was detected for METTL14 at approximately 65 kDa. The expected band size for METTL14 is at 52 kDa.

Flow Cytometry analysis of THP-1 cells using anti-METTL14 antibody (A07389-2).
Overlay histogram showing THP-1 cells stained with A07389-2 (Blue line). To facilitate intracellular staining, cells were fixed with 4% paraformaldehyde and permeabilized with permeabilization buffer. The cells were blocked with 10% normal goat serum. And then incubated with rabbit anti-METTL14 Antibody (A07389-2) at 1:100 dilution for 30 min at 20°C. Fluoro488 conjugated goat anti-rabbit IgG (BA1127) was used as secondary antibody at 1:100 dilution for 30 minutes at 20°C. Isotype control antibody (Green line) was rabbit IgG at 1:100 dilution used under the same conditions. Unlabelled sample without incubation with primary antibody and secondary antibody (Red line) was used as a blank control.






