| Western blot (WB): | 1:500-2000 |
| Immunohistochemistry (IHC): | 1:50-400 |
| Enzyme linked immunosorbent assay (ELISA): | 1:100-1000 |
| (Boiling the paraffin sections in 10mM citrate buffer,pH6.0,or PH8.0 EDTA repair liquid for 20 mins is required for the staining of formalin/paraffin sections.) Optimal working dilutions must be determined by end user. | |

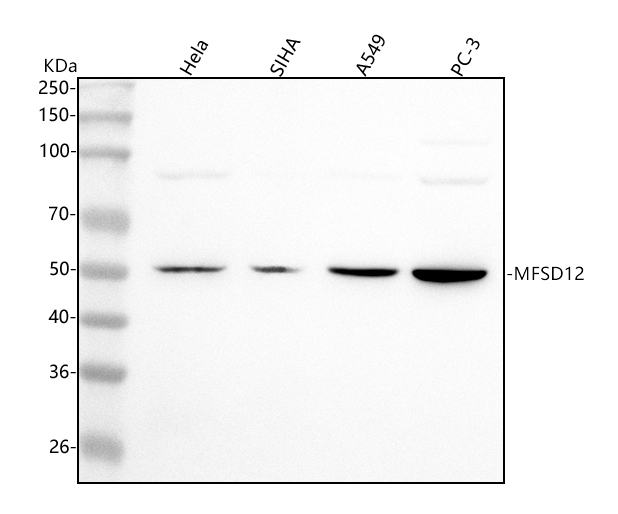
Western blot analysis of anti-MFSD12 antibody (A16855-1). The sample well of each lane was loaded with 30 ug of sample under reducing conditions.
Lane 1: human Hela whole cell lysates,
Lane 2: human SiHa whole cell lysates,
Lane 3: human A549 whole cell lysates,
Lane 4: human PC-3 whole cell lysates.
After electrophoresis, proteins were transferred to a membrane. Then the membrane was incubated with rabbit anti-MFSD12 antigen affinity purified polyclonal antibody (A16855-1) and probed with a goat anti-rabbit IgG-HRP secondary antibody (Catalog # BA1054). The signal is developed using ECL Plus Western Blotting Substrate (Catalog # AR1197). A specific band was detected for MFSD12 at approximately 52 kDa. The expected band size for MFSD12 is at 52 kDa.

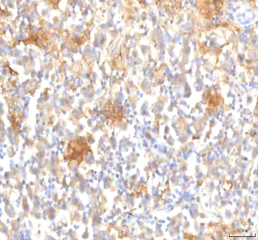
IHC analysis of MFSD12 using anti-MFSD12 antibody (A16855-1).
MFSD12 was detected in a paraffin-embedded section of human testicular seminoma tissue. The tissue section was developed using HRP Conjugated Rabbit IgG Super Vision Assay Kit (Catalog # SV0002) with DAB (Catalog # AR1027) as the chromogen.

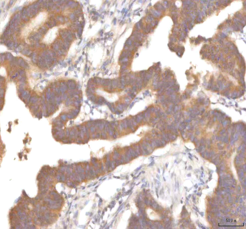
IHC analysis of MFSD12 using anti-MFSD12 antibody (A16855-1).
MFSD12 was detected in a paraffin-embedded section of human colon adenocarcinoma tissue. The tissue section was developed using HRP Conjugated Rabbit IgG Super Vision Assay Kit (Catalog # SV0002) with DAB (Catalog # AR1027) as the chromogen.

Western blot analysis of anti-MFSD12 antibody (A16855-1). The sample well of each lane was loaded with 30 ug of sample under reducing conditions.
Lane 1: human Hela whole cell lysates,
Lane 2: human SiHa whole cell lysates,
Lane 3: human A549 whole cell lysates,
Lane 4: human PC-3 whole cell lysates.
After electrophoresis, proteins were transferred to a membrane. Then the membrane was incubated with rabbit anti-MFSD12 antigen affinity purified polyclonal antibody (A16855-1) and probed with a goat anti-rabbit IgG-HRP secondary antibody (Catalog # BA1054). The signal is developed using ECL Plus Western Blotting Substrate (Catalog # AR1197). A specific band was detected for MFSD12 at approximately 52 kDa. The expected band size for MFSD12 is at 52 kDa.

IHC analysis of MFSD12 using anti-MFSD12 antibody (A16855-1).
MFSD12 was detected in a paraffin-embedded section of human testicular seminoma tissue. The tissue section was developed using HRP Conjugated Rabbit IgG Super Vision Assay Kit (Catalog # SV0002) with DAB (Catalog # AR1027) as the chromogen.

IHC analysis of MFSD12 using anti-MFSD12 antibody (A16855-1).
MFSD12 was detected in a paraffin-embedded section of human colon adenocarcinoma tissue. The tissue section was developed using HRP Conjugated Rabbit IgG Super Vision Assay Kit (Catalog # SV0002) with DAB (Catalog # AR1027) as the chromogen.




