| Western blot (WB): | 1:500-2000 |
| Immunohistochemistry (IHC): | 1:50-400 |
| Immunofluorescence (IF): | 1:50-400 |
| Flow Cytometry (Fixed): | 1:50-200 |
| (Boiling the paraffin sections in 10mM citrate buffer,pH6.0,or PH8.0 EDTA repair liquid for 20 mins is required for the staining of formalin/paraffin sections.) Optimal working dilutions must be determined by end user. | |

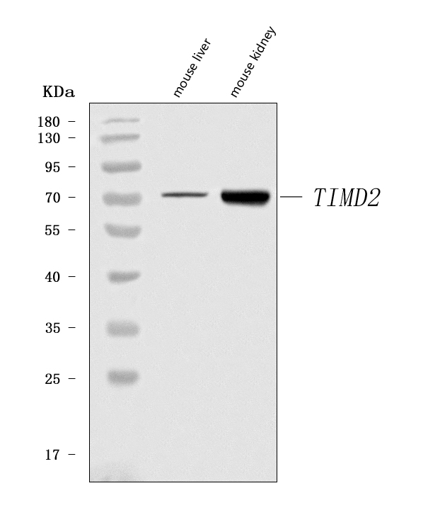
Western blot analysis of TIM2/TIMD2 using anti-TIM2/TIMD2 antibody (A32807). The sample well of each lane was loaded with 30 ug of sample under reducing conditions.
Lane 1: mouse liver tissue lysates,
Lane 2: mouse kidney tissue lysates.
After electrophoresis, proteins were transferred to a membrane. Then the membrane was incubated with rabbit anti-TIM2/TIMD2 antigen affinity purified polyclonal antibody (A32807) at a dilution of 1:1000 and probed with a goat anti-rabbit IgG-HRP secondary antibody (Catalog # BA1054). The signal is developed using ECL Plus Western Blotting Substrate (Catalog # AR1197). A specific band was detected for TIM2/TIMD2 at approximately 70 kDa. The expected band size for TIM2/TIMD2 is at 34 kDa.

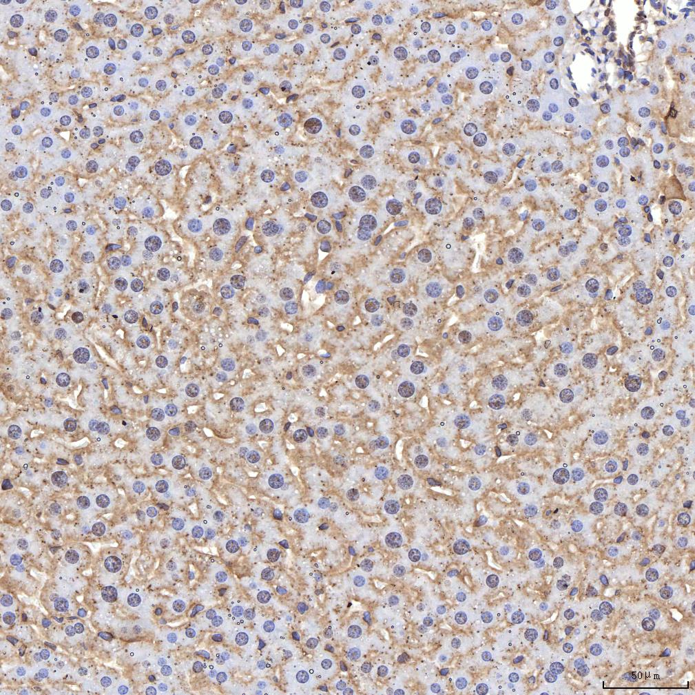
IHC analysis of TIM2/TIMD2 using anti-TIM2/TIMD2 antibody (A32807).
TIM2/TIMD2 was detected in a paraffin-embedded section of mouse liver tissue. The tissue section was incubated with rabbit anti-TIM2/TIMD2 Antibody (A32807) at a dilution of 1:200 and developed using HRP Conjugated Rabbit IgG Super Vision Assay Kit (Catalog # SV0002) with DAB (Catalog # AR1027) as the chromogen.

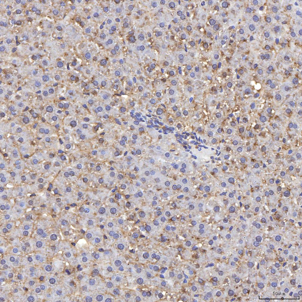
IHC analysis of TIM2/TIMD2 using anti-TIM2/TIMD2 antibody (A32807).
TIM2/TIMD2 was detected in a paraffin-embedded section of rat liver tissue. The tissue section was incubated with rabbit anti-TIM2/TIMD2 Antibody (A32807) at a dilution of 1:200 and developed using HRP Conjugated Rabbit IgG Super Vision Assay Kit (Catalog # SV0002) with DAB (Catalog # AR1027) as the chromogen.

IF analysis using anti- TIM2/TIMD2 antibody (A32807) detected in paraffin-embedded section of mouse liver tissue. The tissue section were stained using the Fluoro550-conjugated Anti-rabbit IgG Secondary Antibody (red)(Catalog#BA1135) and counterstained with DAPI (blue).

Flow Cytometry analysis of Hepa1-6 cells using anti-TIM2/TIMD2 antibody (A32807).
Overlay histogram showing Hepa1-6 cells stained with A32807 (Blue line). The cells were fixed with 4% paraformaldehyde and blocked with 10% normal goat serum. And then incubated with rabbit anti-TIM2/TIMD2 Antibody (A32807) at 1:100 dilution for 30 min at 20°C. Fluoro488 conjugated goat anti-rabbit IgG (BA1127) was used as secondary antibody at 1:100 dilution for 30 minutes at 20°C. Isotype control antibody (Green line) was rabbit IgG at 1:100 dilution used under the same conditions. Unlabelled sample without incubation with primary antibody and secondary antibody (Red line) was used as a blank control.

Western blot analysis of TIM2/TIMD2 using anti-TIM2/TIMD2 antibody (A32807). The sample well of each lane was loaded with 30 ug of sample under reducing conditions.
Lane 1: mouse liver tissue lysates,
Lane 2: mouse kidney tissue lysates.
After electrophoresis, proteins were transferred to a membrane. Then the membrane was incubated with rabbit anti-TIM2/TIMD2 antigen affinity purified polyclonal antibody (A32807) at a dilution of 1:1000 and probed with a goat anti-rabbit IgG-HRP secondary antibody (Catalog # BA1054). The signal is developed using ECL Plus Western Blotting Substrate (Catalog # AR1197). A specific band was detected for TIM2/TIMD2 at approximately 70 kDa. The expected band size for TIM2/TIMD2 is at 34 kDa.

IHC analysis of TIM2/TIMD2 using anti-TIM2/TIMD2 antibody (A32807).
TIM2/TIMD2 was detected in a paraffin-embedded section of mouse liver tissue. The tissue section was incubated with rabbit anti-TIM2/TIMD2 Antibody (A32807) at a dilution of 1:200 and developed using HRP Conjugated Rabbit IgG Super Vision Assay Kit (Catalog # SV0002) with DAB (Catalog # AR1027) as the chromogen.

IHC analysis of TIM2/TIMD2 using anti-TIM2/TIMD2 antibody (A32807).
TIM2/TIMD2 was detected in a paraffin-embedded section of rat liver tissue. The tissue section was incubated with rabbit anti-TIM2/TIMD2 Antibody (A32807) at a dilution of 1:200 and developed using HRP Conjugated Rabbit IgG Super Vision Assay Kit (Catalog # SV0002) with DAB (Catalog # AR1027) as the chromogen.

IF analysis using anti- TIM2/TIMD2 antibody (A32807) detected in paraffin-embedded section of mouse liver tissue. The tissue section were stained using the Fluoro550-conjugated Anti-rabbit IgG Secondary Antibody (red)(Catalog#BA1135) and counterstained with DAPI (blue).

Flow Cytometry analysis of Hepa1-6 cells using anti-TIM2/TIMD2 antibody (A32807).
Overlay histogram showing Hepa1-6 cells stained with A32807 (Blue line). The cells were fixed with 4% paraformaldehyde and blocked with 10% normal goat serum. And then incubated with rabbit anti-TIM2/TIMD2 Antibody (A32807) at 1:100 dilution for 30 min at 20°C. Fluoro488 conjugated goat anti-rabbit IgG (BA1127) was used as secondary antibody at 1:100 dilution for 30 minutes at 20°C. Isotype control antibody (Green line) was rabbit IgG at 1:100 dilution used under the same conditions. Unlabelled sample without incubation with primary antibody and secondary antibody (Red line) was used as a blank control.




