| Western blot (WB): | 1:500-2000 |
| Immunohistochemistry (IHC): | 1:50-400 |
| Immunocytochemistry/Immunofluorescence (ICC/IF): | 1:50-400 |
| Flow Cytometry (Fixed): | 1:50-200 |
| (Boiling the paraffin sections in 10mM citrate buffer,pH6.0,or PH8.0 EDTA repair liquid for 20 mins is required for the staining of formalin/paraffin sections.) Optimal working dilutions must be determined by end user. | |

Western blot analysis of p63/TP63 using anti-p63/TP63 antibody (BA1326). The sample well of each lane was loaded with 30 ug of sample under reducing conditions.
Lane 1: A431 whole cell lysates.
After electrophoresis, proteins were transferred to a membrane. Then the membrane was incubated with rabbit anti-p63/TP63 antigen affinity purified polyclonal antibody (BA1326) at a dilution of 1:1000 and probed with a goat anti-rabbit IgG-HRP secondary antibody (Catalog # BA1054). The signal is developed using ECL Plus Western Blotting Substrate (Catalog # AR1197). A specific band was detected for p63/TP63 at approximately 75 kDa. The expected band size for p63/TP63 is at 77 kDa.

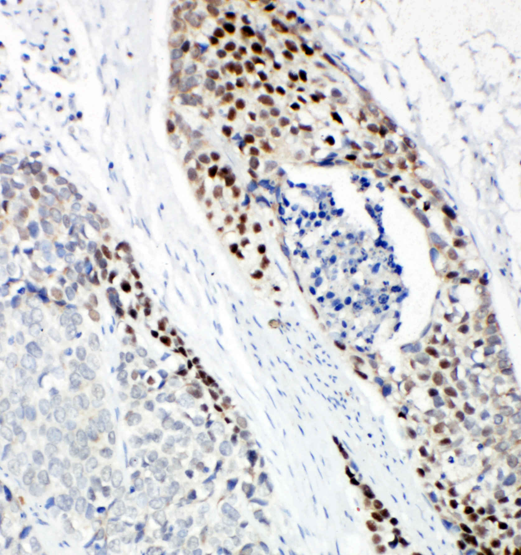
IHC analysis of p63/TP63 using anti-p63/TP63 antibody (BA1326).
p63/TP63 was detected in a paraffin-embedded section of human esophageal squamous cell carcinoma tissue. Biotinylated goat anti-rabbit IgG was used as secondary antibody. The tissue section was incubated with rabbit anti-p63/TP63 Antibody (BA1326) at a dilution of 1:200 and developed using Strepavidin-Biotin-Complex (SABC) (Catalog # SA1022) with DAB (Catalog # AR1027) as the chromogen.

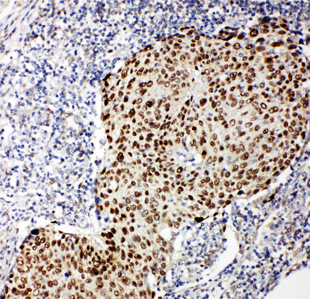
IHC analysis of p63/TP63 using anti-p63/TP63 antibody (BA1326).
p63/TP63 was detected in a paraffin-embedded section of human esophageal squamous cell carcinoma tissue. Biotinylated goat anti-rabbit IgG was used as secondary antibody. The tissue section was incubated with rabbit anti-p63/TP63 Antibody (BA1326) at a dilution of 1:200 and developed using Strepavidin-Biotin-Complex (SABC) (Catalog # SA1022) with DAB (Catalog # AR1027) as the chromogen.

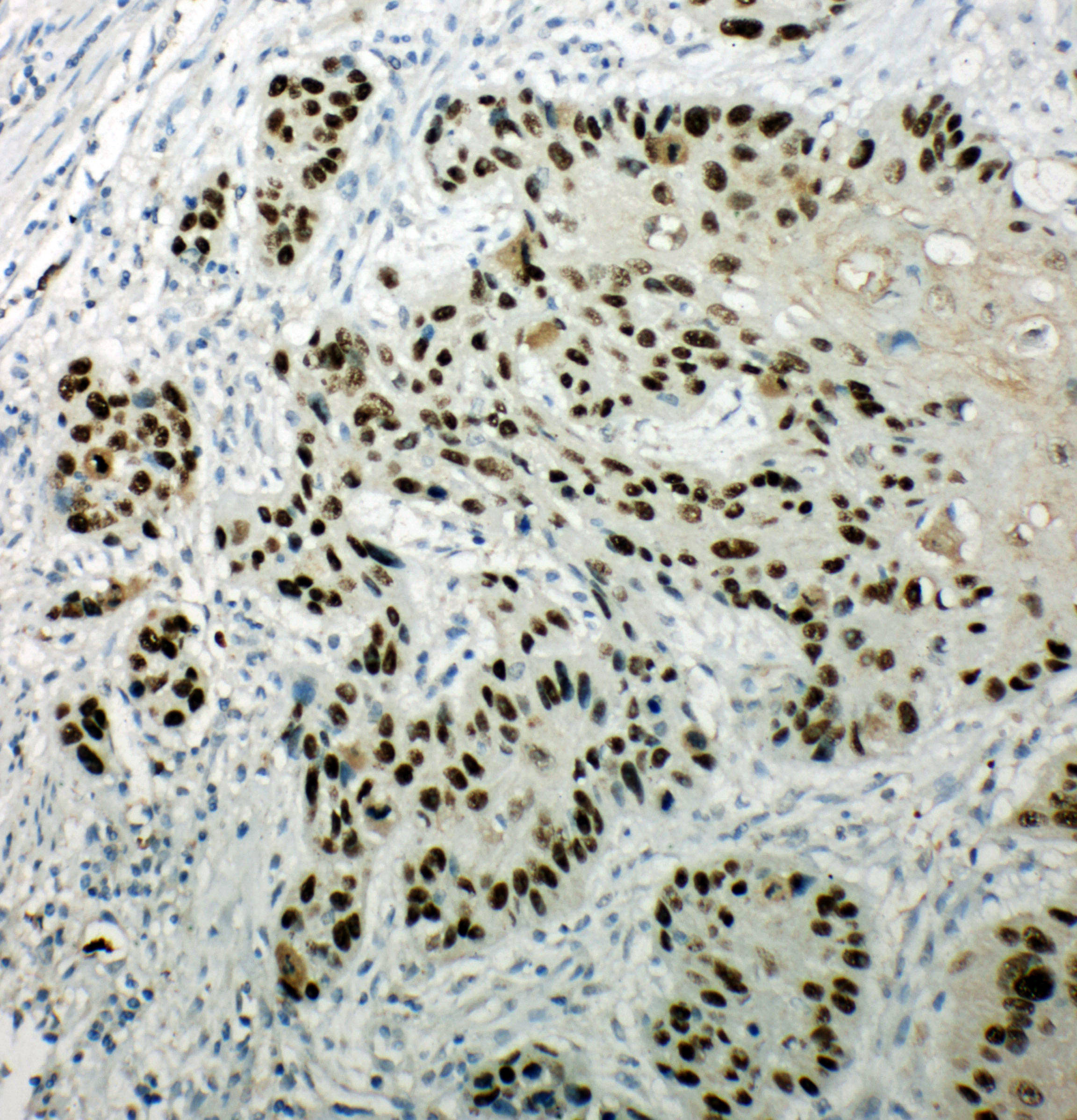
IHC analysis of p63/TP63 using anti-p63/TP63 antibody (BA1326).
p63/TP63 was detected in a paraffin-embedded section of human lung cancer tissue. Biotinylated goat anti-rabbit IgG was used as secondary antibody. The tissue section was incubated with rabbit anti-p63/TP63 Antibody (BA1326) at a dilution of 1:200 and developed using Strepavidin-Biotin-Complex (SABC) (Catalog # SA1022) with DAB (Catalog # AR1027) as the chromogen.

ICC/IF analysis of p63/TP63 using anti-p63/TP63 antibody (BA1326).
p63/TP63 was detected in an immunocytochemical section of A431 cells. The section was incubated with rabbit anti-p63/TP63 Antibody (BA1326) at a dilution of 1:100. Fluoro488 Conjugated Goat Anti-Rabbit IgG (Green) (Catalog # BA1127) was used as secondary antibody. The section was counterstained with DAPI (Catalog # AR1176) (Blue).

Flow cytometry analysis of A431 cell (1:100) Fluoro 488 conjugated goat anti-rabbit IgG(blue) was used as secondary antibody. Isotype control antibody (Green line) was rabbit IgG Fluoro 488. Unlabelled sample (Red line).

Western blot analysis of p63/TP63 using anti-p63/TP63 antibody (BA1326). The sample well of each lane was loaded with 30 ug of sample under reducing conditions.
Lane 1: A431 whole cell lysates.
After electrophoresis, proteins were transferred to a membrane. Then the membrane was incubated with rabbit anti-p63/TP63 antigen affinity purified polyclonal antibody (BA1326) at a dilution of 1:1000 and probed with a goat anti-rabbit IgG-HRP secondary antibody (Catalog # BA1054). The signal is developed using ECL Plus Western Blotting Substrate (Catalog # AR1197). A specific band was detected for p63/TP63 at approximately 75 kDa. The expected band size for p63/TP63 is at 77 kDa.

IHC analysis of p63/TP63 using anti-p63/TP63 antibody (BA1326).
p63/TP63 was detected in a paraffin-embedded section of human esophageal squamous cell carcinoma tissue. Biotinylated goat anti-rabbit IgG was used as secondary antibody. The tissue section was incubated with rabbit anti-p63/TP63 Antibody (BA1326) at a dilution of 1:200 and developed using Strepavidin-Biotin-Complex (SABC) (Catalog # SA1022) with DAB (Catalog # AR1027) as the chromogen.

IHC analysis of p63/TP63 using anti-p63/TP63 antibody (BA1326).
p63/TP63 was detected in a paraffin-embedded section of human esophageal squamous cell carcinoma tissue. Biotinylated goat anti-rabbit IgG was used as secondary antibody. The tissue section was incubated with rabbit anti-p63/TP63 Antibody (BA1326) at a dilution of 1:200 and developed using Strepavidin-Biotin-Complex (SABC) (Catalog # SA1022) with DAB (Catalog # AR1027) as the chromogen.

IHC analysis of p63/TP63 using anti-p63/TP63 antibody (BA1326).
p63/TP63 was detected in a paraffin-embedded section of human lung cancer tissue. Biotinylated goat anti-rabbit IgG was used as secondary antibody. The tissue section was incubated with rabbit anti-p63/TP63 Antibody (BA1326) at a dilution of 1:200 and developed using Strepavidin-Biotin-Complex (SABC) (Catalog # SA1022) with DAB (Catalog # AR1027) as the chromogen.

ICC/IF analysis of p63/TP63 using anti-p63/TP63 antibody (BA1326).
p63/TP63 was detected in an immunocytochemical section of A431 cells. The section was incubated with rabbit anti-p63/TP63 Antibody (BA1326) at a dilution of 1:100. Fluoro488 Conjugated Goat Anti-Rabbit IgG (Green) (Catalog # BA1127) was used as secondary antibody. The section was counterstained with DAPI (Catalog # AR1176) (Blue).

Flow cytometry analysis of A431 cell (1:100) Fluoro 488 conjugated goat anti-rabbit IgG(blue) was used as secondary antibody. Isotype control antibody (Green line) was rabbit IgG Fluoro 488. Unlabelled sample (Red line).





