| Western blot (WB): | 1:500-2000 |
| Immunohistochemistry (IHC): | 1:50-400 |
| Immunocytochemistry/Immunofluorescence (ICC/IF): | 1:50-400 |
| Flow Cytometry (Fixed): | 1:50-200 |
| (Boiling the paraffin sections in 10mM citrate buffer,pH6.0,or PH8.0 EDTA repair liquid for 20 mins is required for the staining of formalin/paraffin sections.) Optimal working dilutions must be determined by end user. | |

Western blot analysis of anti-VDAC1 antibody (BA3754). The sample well of each lane was loaded with 30 ug of sample under reducing conditions.
Lane 1: human Hela whole cell lysates,
Lane 2: human A431 whole cell lysates,
Lane 3: human 293T whole cell lysates,
Lane 4: rat brain tissue lysates,
Lane 5: rat NRK whole cell lysates,
Lane 6: mouse brain tissue lysates,
Lane 7: mouse NIH/3T3 whole cell lysates.
After electrophoresis, proteins were transferred to a membrane. Then the membrane was incubated with rabbit anti-VDAC1 antigen affinity purified polyclonal antibody (BA3754) and probed with a goat anti-rabbit IgG-HRP secondary antibody (Catalog # BA1054). The signal is developed using ECL Plus Western Blotting Substrate (Catalog # AR1197). A specific band was detected for VDAC1 at approximately 34 kDa. The expected band size for VDAC1 is at 31 kDa.

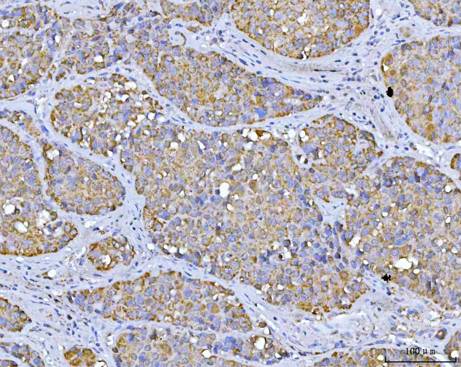
IHC analysis of VDAC1 using anti-VDAC1 antibody (BA3754).
VDAC1 was detected in a paraffin-embedded section of human liver cancer tissue. The tissue section was developed using HRP Conjugated Rabbit IgG Super Vision Assay Kit (Catalog # SV0002) with DAB (Catalog # AR1027) as the chromogen.

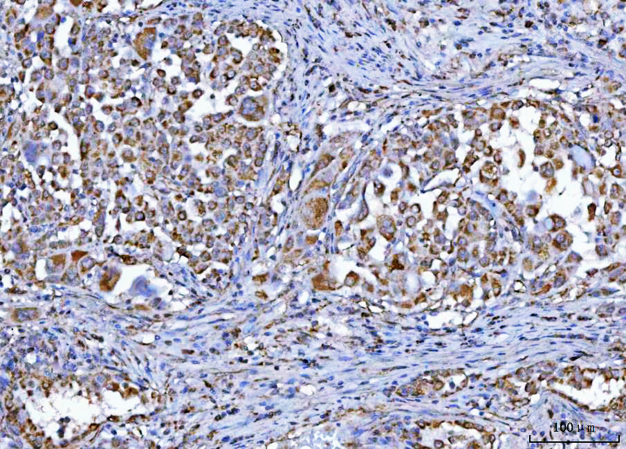
IHC analysis of VDAC1 using anti-VDAC1 antibody (BA3754).
VDAC1 was detected in a paraffin-embedded section of human lung cancer tissue. The tissue section was developed using HRP Conjugated Rabbit IgG Super Vision Assay Kit (Catalog # SV0002) with DAB (Catalog # AR1027) as the chromogen.

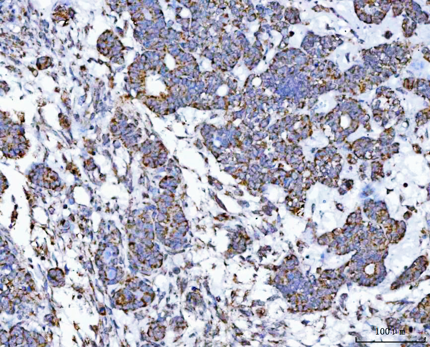
IHC analysis of VDAC1 using anti-VDAC1 antibody (BA3754).
VDAC1 was detected in a paraffin-embedded section of human ovarian cancer tissue. The tissue section was developed using HRP Conjugated Rabbit IgG Super Vision Assay Kit (Catalog # SV0002) with DAB (Catalog # AR1027) as the chromogen.

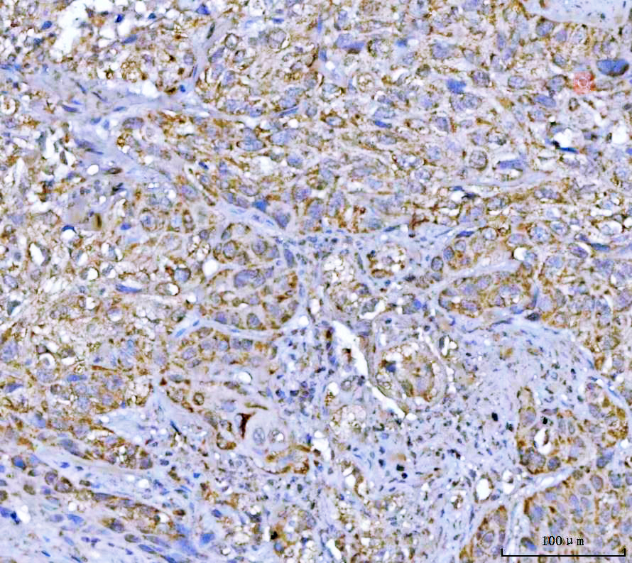
IHC analysis of VDAC1 using anti-VDAC1 antibody (BA3754).
VDAC1 was detected in a paraffin-embedded section of human urothelial carcinoma tissue. The tissue section was developed using HRP Conjugated Rabbit IgG Super Vision Assay Kit (Catalog # SV0002) with DAB (Catalog # AR1027) as the chromogen.

ICC/IF analysis of VDAC1 using anti-VDAC1 antibody (BA3754).
VDAC1 was detected in an immunocytochemical section of Hela cells. Cy3-conjugated Anti-rabbit IgG Secondary Antibody (red)(Catalog#BA1032) was used as secondary antibody. The section was counterstained with DAPI (Catalog # AR1176) (Blue).

Flow Cytometry analysis of Hela cells using anti-VDAC1 antibody (BA3754).
Overlay histogram showing Hela cells stained with BA3754 (Blue line). To facilitate intracellular staining, cells were fixed with 4% paraformaldehyde and permeabilized with permeabilization buffer. The cells were blocked with 10% normal goat serum. And then incubated with rabbit anti-VDAC1 Antibody (BA3754) at 1:100 dilution for 30 min at 20°C. Fluoro488 conjugated goat anti-rabbit IgG (BA1127) was used as secondary antibody at 1:100 dilution for 30 minutes at 20°C. Isotype control antibody (Green line) was rabbit IgG at 1:100 dilution used under the same conditions. Unlabelled sample without incubation with primary antibody and secondary antibody (Red line) was used as a blank control.

Western blot analysis of anti-VDAC1 antibody (BA3754). The sample well of each lane was loaded with 30 ug of sample under reducing conditions.
Lane 1: human Hela whole cell lysates,
Lane 2: human A431 whole cell lysates,
Lane 3: human 293T whole cell lysates,
Lane 4: rat brain tissue lysates,
Lane 5: rat NRK whole cell lysates,
Lane 6: mouse brain tissue lysates,
Lane 7: mouse NIH/3T3 whole cell lysates.
After electrophoresis, proteins were transferred to a membrane. Then the membrane was incubated with rabbit anti-VDAC1 antigen affinity purified polyclonal antibody (BA3754) and probed with a goat anti-rabbit IgG-HRP secondary antibody (Catalog # BA1054). The signal is developed using ECL Plus Western Blotting Substrate (Catalog # AR1197). A specific band was detected for VDAC1 at approximately 34 kDa. The expected band size for VDAC1 is at 31 kDa.

IHC analysis of VDAC1 using anti-VDAC1 antibody (BA3754).
VDAC1 was detected in a paraffin-embedded section of human liver cancer tissue. The tissue section was developed using HRP Conjugated Rabbit IgG Super Vision Assay Kit (Catalog # SV0002) with DAB (Catalog # AR1027) as the chromogen.

IHC analysis of VDAC1 using anti-VDAC1 antibody (BA3754).
VDAC1 was detected in a paraffin-embedded section of human lung cancer tissue. The tissue section was developed using HRP Conjugated Rabbit IgG Super Vision Assay Kit (Catalog # SV0002) with DAB (Catalog # AR1027) as the chromogen.

IHC analysis of VDAC1 using anti-VDAC1 antibody (BA3754).
VDAC1 was detected in a paraffin-embedded section of human ovarian cancer tissue. The tissue section was developed using HRP Conjugated Rabbit IgG Super Vision Assay Kit (Catalog # SV0002) with DAB (Catalog # AR1027) as the chromogen.

IHC analysis of VDAC1 using anti-VDAC1 antibody (BA3754).
VDAC1 was detected in a paraffin-embedded section of human urothelial carcinoma tissue. The tissue section was developed using HRP Conjugated Rabbit IgG Super Vision Assay Kit (Catalog # SV0002) with DAB (Catalog # AR1027) as the chromogen.

ICC/IF analysis of VDAC1 using anti-VDAC1 antibody (BA3754).
VDAC1 was detected in an immunocytochemical section of Hela cells. Cy3-conjugated Anti-rabbit IgG Secondary Antibody (red)(Catalog#BA1032) was used as secondary antibody. The section was counterstained with DAPI (Catalog # AR1176) (Blue).

Flow Cytometry analysis of Hela cells using anti-VDAC1 antibody (BA3754).
Overlay histogram showing Hela cells stained with BA3754 (Blue line). To facilitate intracellular staining, cells were fixed with 4% paraformaldehyde and permeabilized with permeabilization buffer. The cells were blocked with 10% normal goat serum. And then incubated with rabbit anti-VDAC1 Antibody (BA3754) at 1:100 dilution for 30 min at 20°C. Fluoro488 conjugated goat anti-rabbit IgG (BA1127) was used as secondary antibody at 1:100 dilution for 30 minutes at 20°C. Isotype control antibody (Green line) was rabbit IgG at 1:100 dilution used under the same conditions. Unlabelled sample without incubation with primary antibody and secondary antibody (Red line) was used as a blank control.






