| Western blot (WB): | 1:500-2000 |
| Immunohistochemistry (IHC): | 1:50-400 |
| (Boiling the paraffin sections in 10mM citrate buffer,pH6.0,or PH8.0 EDTA repair liquid for 20 mins is required for the staining of formalin/paraffin sections.) Optimal working dilutions must be determined by end user. | |

Western blot analysis of anti-Desmin antibody (BM0036). The sample well of each lane was loaded with 30 ug of sample under reducing conditions.
Lane 1: rat skeletal muscle tissue lysates,
Lane 2: rat cardiac muscle tissue lysates,
Lane 3: mouse skeletal muscle tissue lysates,
Lane 4: mouse cardiac muscle tissue lysates.
After electrophoresis, proteins were transferred to a membrane. Then the membrane was incubated with rabbit anti-Desmin antigen affinity purified monoclonal antibody (BM0036) and probed with a goat anti-rabbit IgG-HRP secondary antibody (Catalog # BA1054). The signal is developed using ECL Plus Western Blotting Substrate (Catalog # AR1197). A specific band was detected for Desmin at approximately 54 kDa. The expected band size for Desmin is at 54 kDa.

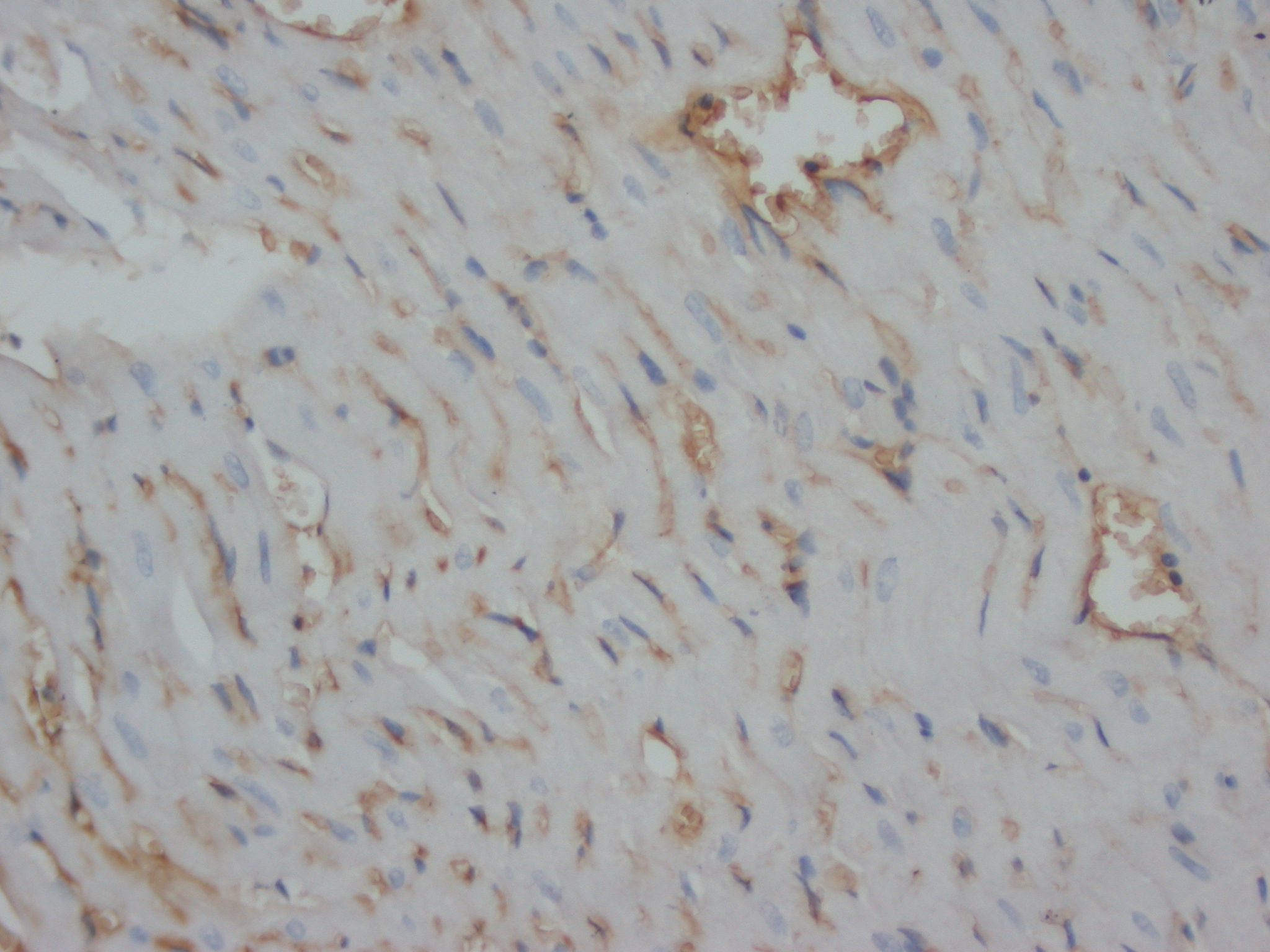
IHC analysis of Desmin using anti-Desmin antibody (BM0036).
Desmin was detected in a paraffin-embedded section of rat cardiac muscle tissue. The tissue section was developed using HRP Conjugated rabbit IgG Super Vision Assay Kit (Catalog # SV0002) with DAB (Catalog # AR1027) as the chromogen.

IHC analysis of Desmin using anti-Desmin antibody (BM0036).
Desmin was detected in a paraffin-embedded section of human placenta tissue. The tissue section was developed using HRP Conjugated rabbit IgG Super Vision Assay Kit (Catalog # SV0002) with DAB (Catalog # AR1027) as the chromogen.

IHC analysis of Desmin using anti-Desmin antibody (BM0036).
Desmin was detected in a paraffin-embedded section of human colorectal adenocarcinoma tissue. The tissue section was developed using HRP Conjugated rabbit IgG Super Vision Assay Kit (Catalog # SV0002) with DAB (Catalog # AR1027) as the chromogen.

IHC analysis of Desmin using anti-Desmin antibody (BM0036).
Desmin was detected in a paraffin-embedded section of human lung adenocarcinoma tissue. The tissue section was developed using HRP Conjugated rabbit IgG Super Vision Assay Kit (Catalog # SV0002) with DAB (Catalog # AR1027) as the chromogen.

IHC analysis of Desmin using anti-Desmin antibody (BM0036).
Desmin was detected in a paraffin-embedded section of human placenta tissue. The tissue section was developed using HRP Conjugated rabbit IgG Super Vision Assay Kit (Catalog # SV0002) with DAB (Catalog # AR1027) as the chromogen.

IHC analysis of Desmin using anti-Desmin antibody (BM0036).
Desmin was detected in a paraffin-embedded section of human invasive urothelial carcinoma tissue. The tissue section was developed using HRP Conjugated rabbit IgG Super Vision Assay Kit (Catalog # SV0002) with DAB (Catalog # AR1027) as the chromogen.

Western blot analysis of anti-Desmin antibody (BM0036). The sample well of each lane was loaded with 30 ug of sample under reducing conditions.
Lane 1: rat skeletal muscle tissue lysates,
Lane 2: rat cardiac muscle tissue lysates,
Lane 3: mouse skeletal muscle tissue lysates,
Lane 4: mouse cardiac muscle tissue lysates.
After electrophoresis, proteins were transferred to a membrane. Then the membrane was incubated with rabbit anti-Desmin antigen affinity purified monoclonal antibody (BM0036) and probed with a goat anti-rabbit IgG-HRP secondary antibody (Catalog # BA1054). The signal is developed using ECL Plus Western Blotting Substrate (Catalog # AR1197). A specific band was detected for Desmin at approximately 54 kDa. The expected band size for Desmin is at 54 kDa.

IHC analysis of Desmin using anti-Desmin antibody (BM0036).
Desmin was detected in a paraffin-embedded section of rat cardiac muscle tissue. The tissue section was developed using HRP Conjugated rabbit IgG Super Vision Assay Kit (Catalog # SV0002) with DAB (Catalog # AR1027) as the chromogen.

IHC analysis of Desmin using anti-Desmin antibody (BM0036).
Desmin was detected in a paraffin-embedded section of human placenta tissue. The tissue section was developed using HRP Conjugated rabbit IgG Super Vision Assay Kit (Catalog # SV0002) with DAB (Catalog # AR1027) as the chromogen.

IHC analysis of Desmin using anti-Desmin antibody (BM0036).
Desmin was detected in a paraffin-embedded section of human colorectal adenocarcinoma tissue. The tissue section was developed using HRP Conjugated rabbit IgG Super Vision Assay Kit (Catalog # SV0002) with DAB (Catalog # AR1027) as the chromogen.

IHC analysis of Desmin using anti-Desmin antibody (BM0036).
Desmin was detected in a paraffin-embedded section of human lung adenocarcinoma tissue. The tissue section was developed using HRP Conjugated rabbit IgG Super Vision Assay Kit (Catalog # SV0002) with DAB (Catalog # AR1027) as the chromogen.

IHC analysis of Desmin using anti-Desmin antibody (BM0036).
Desmin was detected in a paraffin-embedded section of human placenta tissue. The tissue section was developed using HRP Conjugated rabbit IgG Super Vision Assay Kit (Catalog # SV0002) with DAB (Catalog # AR1027) as the chromogen.

IHC analysis of Desmin using anti-Desmin antibody (BM0036).
Desmin was detected in a paraffin-embedded section of human invasive urothelial carcinoma tissue. The tissue section was developed using HRP Conjugated rabbit IgG Super Vision Assay Kit (Catalog # SV0002) with DAB (Catalog # AR1027) as the chromogen.






