| Western blot (WB): | 1:500-2000 |
| Immunohistochemistry (IHC): | 1:50-400 |
| (Boiling the paraffin sections in 10mM citrate buffer,pH6.0,or PH8.0 EDTA repair liquid for 20 mins is required for the staining of formalin/paraffin sections.) Optimal working dilutions must be determined by end user. | |

Western blot analysis of anti- Myosin antibody (BM0096). The sample well of each lane was loaded with 50ug of sample under reducing conditions.
Lane 1: Monkey heart tissue lysates,
Lane 2: Monkey skeletal muscle tissue lysates,
Lane 3: Rat skeletal muscle tissue lysates. Use mouse anti- Myosin 1:1000, probed with a goat anti-mouse IgG-HRP secondary antibody. The signal is developed using an Enhanced Chemiluminescent detection (ECL) kit (Catalog # EK1001). A specific band was detected for Myosin at approximately 230KD. The expected band size for Myosin is at 223KD.

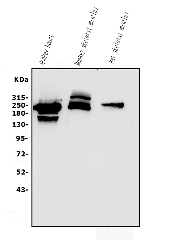
Western blot analysis of anti- Myosin antibody (BM0096). The sample well of each lane was loaded with 50ug of sample under reducing conditions.
Lane 1: Monkey heart tissue lysates,
Lane 2: Monkey skeletal muscle tissue lysates,
Lane 3: Rat skeletal muscle tissue lysates. Use mouse anti- Myosin 1:1000, probed with a goat anti-mouse IgG-HRP secondary antibody. The signal is developed using an Enhanced Chemiluminescent detection (ECL) kit (Catalog # EK1001). A specific band was detected for Myosin at approximately 230KD. The expected band size for Myosin is at 223KD.


