| Western blot (WB): | 1:500-2000 |
| Immunohistochemistry (IHC): | 1:50-200 |
| Immunocytochemistry/Immunofluorescence (ICC/IF): | 1:50-200 |

Western blot analysis of anti-Histone H3 antibody (BM4104). The sample well of each lane was loaded with 30 ug of sample under reducing conditions.
Lane 1: human Hela whole cell lysates,
Lane 2: human 293T whole cell lysates,
Lane 3: human A549 whole cell lysates,
Lane 4: human HepG2 whole cell lysates,
Lane 5: rat C6 whole cell lysates,
Lane 6: mouse NIH/3T3 whole cell lysates.
After electrophoresis, proteins were transferred to a membrane. Then the membrane was incubated with rabbit anti-Histone H3 antigen affinity purified monoclonal antibody (BM4104) at a dilution of 1:1000 and probed with a goat anti-rabbit IgG-HRP secondary antibody (Catalog # BA1054). The signal is developed using ECL Plus Western Blotting Substrate (Catalog # AR1197). A specific band was detected for Histone H3 at approximately 17 kDa. The expected band size for Histone H3 is at 15 kDa.

IHC analysis of Histone H3 using anti-Histone H3 antibody (BM4104).
Histone H3 was detected in a paraffin-embedded section of human placenta tissue. The tissue section was incubated with rabbit anti-Histone H3 Antibody (BM4104) at a dilution of 1:200 and developed using HRP Conjugated Rabbit IgG Super Vision Assay Kit (Catalog # SV0002) with DAB (Catalog # AR1027) as the chromogen.

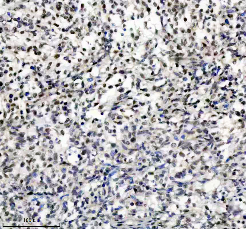
IHC analysis of Histone H3 using anti-Histone H3 antibody (BM4104).
Histone H3 was detected in a paraffin-embedded section of human lymphoma tissue. The tissue section was incubated with rabbit anti-Histone H3 Antibody (BM4104) at a dilution of 1:200 and developed using HRP Conjugated Rabbit IgG Super Vision Assay Kit (Catalog # SV0002) with DAB (Catalog # AR1027) as the chromogen.

IHC analysis of Histone H3 using anti-Histone H3 antibody (BM4104).
Histone H3 was detected in a paraffin-embedded section of human ovarian cancer tissue. The tissue section was incubated with rabbit anti-Histone H3 Antibody (BM4104) at a dilution of 1:200 and developed using HRP Conjugated Rabbit IgG Super Vision Assay Kit (Catalog # SV0002) with DAB (Catalog # AR1027) as the chromogen.

IHC analysis of Histone H3 using anti-Histone H3 antibody (BM4104).
Histone H3 was detected in a paraffin-embedded section of human esophageal cancer tissue. The tissue section was incubated with rabbit anti-Histone H3 Antibody (BM4104) at a dilution of 1:200 and developed using HRP Conjugated Rabbit IgG Super Vision Assay Kit (Catalog # SV0002) with DAB (Catalog # AR1027) as the chromogen.

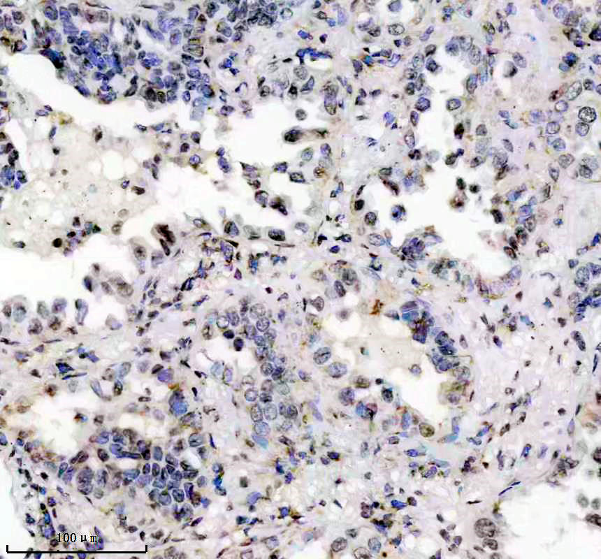
IHC analysis of Histone H3 using anti-Histone H3 antibody (BM4104).
Histone H3 was detected in a paraffin-embedded section of human lung cancer tissue. The tissue section was incubated with rabbit anti-Histone H3 Antibody (BM4104) at a dilution of 1:200 and developed using HRP Conjugated Rabbit IgG Super Vision Assay Kit (Catalog # SV0002) with DAB (Catalog # AR1027) as the chromogen.

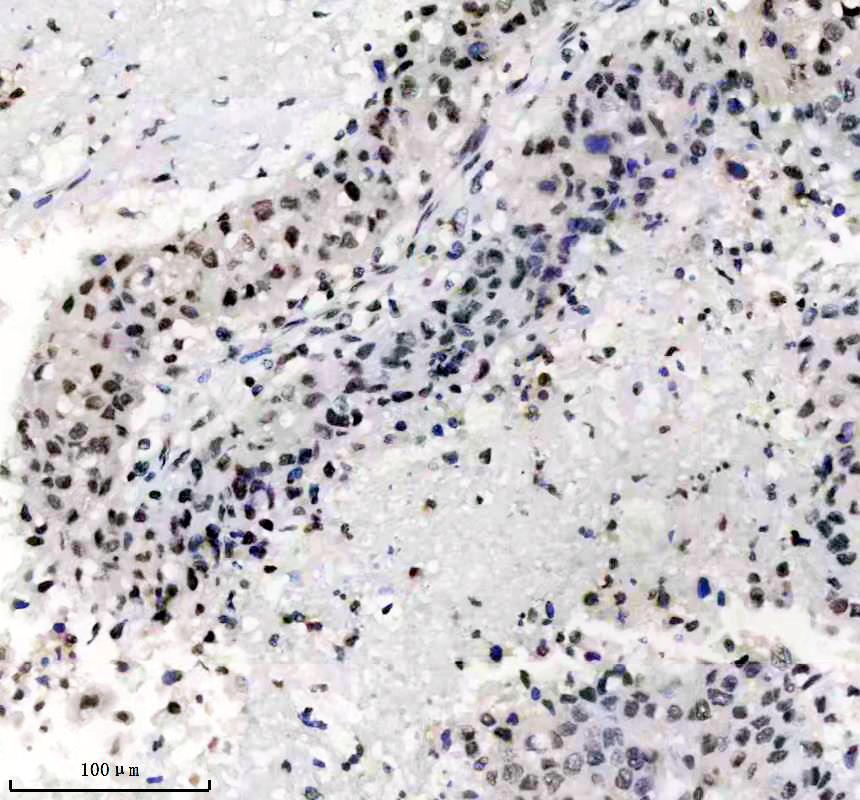
IHC analysis of Histone H3 using anti-Histone H3 antibody (BM4104).
Histone H3 was detected in a paraffin-embedded section of human breast cancer tissue. The tissue section was incubated with rabbit anti-Histone H3 Antibody (BM4104) at a dilution of 1:200 and developed using HRP Conjugated Rabbit IgG Super Vision Assay Kit (Catalog # SV0002) with DAB (Catalog # AR1027) as the chromogen.

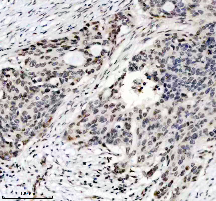
IHC analysis of Histone H3 using anti-Histone H3 antibody (BM4104).
Histone H3 was detected in a paraffin-embedded section of human liver cancer tissue. The tissue section was incubated with rabbit anti-Histone H3 Antibody (BM4104) at a dilution of 1:200 and developed using HRP Conjugated Rabbit IgG Super Vision Assay Kit (Catalog # SV0002) with DAB (Catalog # AR1027) as the chromogen.

IHC analysis of Histone H3 using anti-Histone H3 antibody (BM4104).
Histone H3 was detected in a paraffin-embedded section of mouse brain tissue. The tissue section was incubated with rabbit anti-Histone H3 Antibody (BM4104) at a dilution of 1:200 and developed using HRP Conjugated Rabbit IgG Super Vision Assay Kit (Catalog # SV0002) with DAB (Catalog # AR1027) as the chromogen.

IHC analysis of Histone H3 using anti-Histone H3 antibody (BM4104).
Histone H3 was detected in a paraffin-embedded section of rat brain tissue. The tissue section was incubated with rabbit anti-Histone H3 Antibody (BM4104) at a dilution of 1:200 and developed using HRP Conjugated Rabbit IgG Super Vision Assay Kit (Catalog # SV0002) with DAB (Catalog # AR1027) as the chromogen.

Western blot analysis of anti-Histone H3 antibody (BM4104). The sample well of each lane was loaded with 30 ug of sample under reducing conditions.
Lane 1: human Hela whole cell lysates,
Lane 2: human 293T whole cell lysates,
Lane 3: human A549 whole cell lysates,
Lane 4: human HepG2 whole cell lysates,
Lane 5: rat C6 whole cell lysates,
Lane 6: mouse NIH/3T3 whole cell lysates.
After electrophoresis, proteins were transferred to a membrane. Then the membrane was incubated with rabbit anti-Histone H3 antigen affinity purified monoclonal antibody (BM4104) at a dilution of 1:1000 and probed with a goat anti-rabbit IgG-HRP secondary antibody (Catalog # BA1054). The signal is developed using ECL Plus Western Blotting Substrate (Catalog # AR1197). A specific band was detected for Histone H3 at approximately 17 kDa. The expected band size for Histone H3 is at 15 kDa.

IHC analysis of Histone H3 using anti-Histone H3 antibody (BM4104).
Histone H3 was detected in a paraffin-embedded section of human placenta tissue. The tissue section was incubated with rabbit anti-Histone H3 Antibody (BM4104) at a dilution of 1:200 and developed using HRP Conjugated Rabbit IgG Super Vision Assay Kit (Catalog # SV0002) with DAB (Catalog # AR1027) as the chromogen.

IHC analysis of Histone H3 using anti-Histone H3 antibody (BM4104).
Histone H3 was detected in a paraffin-embedded section of human lymphoma tissue. The tissue section was incubated with rabbit anti-Histone H3 Antibody (BM4104) at a dilution of 1:200 and developed using HRP Conjugated Rabbit IgG Super Vision Assay Kit (Catalog # SV0002) with DAB (Catalog # AR1027) as the chromogen.

IHC analysis of Histone H3 using anti-Histone H3 antibody (BM4104).
Histone H3 was detected in a paraffin-embedded section of human ovarian cancer tissue. The tissue section was incubated with rabbit anti-Histone H3 Antibody (BM4104) at a dilution of 1:200 and developed using HRP Conjugated Rabbit IgG Super Vision Assay Kit (Catalog # SV0002) with DAB (Catalog # AR1027) as the chromogen.

IHC analysis of Histone H3 using anti-Histone H3 antibody (BM4104).
Histone H3 was detected in a paraffin-embedded section of human esophageal cancer tissue. The tissue section was incubated with rabbit anti-Histone H3 Antibody (BM4104) at a dilution of 1:200 and developed using HRP Conjugated Rabbit IgG Super Vision Assay Kit (Catalog # SV0002) with DAB (Catalog # AR1027) as the chromogen.

IHC analysis of Histone H3 using anti-Histone H3 antibody (BM4104).
Histone H3 was detected in a paraffin-embedded section of human lung cancer tissue. The tissue section was incubated with rabbit anti-Histone H3 Antibody (BM4104) at a dilution of 1:200 and developed using HRP Conjugated Rabbit IgG Super Vision Assay Kit (Catalog # SV0002) with DAB (Catalog # AR1027) as the chromogen.

IHC analysis of Histone H3 using anti-Histone H3 antibody (BM4104).
Histone H3 was detected in a paraffin-embedded section of human breast cancer tissue. The tissue section was incubated with rabbit anti-Histone H3 Antibody (BM4104) at a dilution of 1:200 and developed using HRP Conjugated Rabbit IgG Super Vision Assay Kit (Catalog # SV0002) with DAB (Catalog # AR1027) as the chromogen.

IHC analysis of Histone H3 using anti-Histone H3 antibody (BM4104).
Histone H3 was detected in a paraffin-embedded section of human liver cancer tissue. The tissue section was incubated with rabbit anti-Histone H3 Antibody (BM4104) at a dilution of 1:200 and developed using HRP Conjugated Rabbit IgG Super Vision Assay Kit (Catalog # SV0002) with DAB (Catalog # AR1027) as the chromogen.

IHC analysis of Histone H3 using anti-Histone H3 antibody (BM4104).
Histone H3 was detected in a paraffin-embedded section of mouse brain tissue. The tissue section was incubated with rabbit anti-Histone H3 Antibody (BM4104) at a dilution of 1:200 and developed using HRP Conjugated Rabbit IgG Super Vision Assay Kit (Catalog # SV0002) with DAB (Catalog # AR1027) as the chromogen.

IHC analysis of Histone H3 using anti-Histone H3 antibody (BM4104).
Histone H3 was detected in a paraffin-embedded section of rat brain tissue. The tissue section was incubated with rabbit anti-Histone H3 Antibody (BM4104) at a dilution of 1:200 and developed using HRP Conjugated Rabbit IgG Super Vision Assay Kit (Catalog # SV0002) with DAB (Catalog # AR1027) as the chromogen.











