| Western blot (WB): | 1:500-2000 |
| Immunocytochemistry/Immunofluorescence (ICC/IF): | 1:50-200 |

Western blot analysis of FGFR1 expression in SH-SY5Y cell lysate.

Immunohistochemical analysis of paraffin-embedded Rat pancreas, using the Antibody.

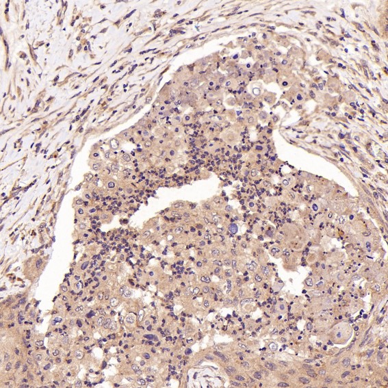
Immunohistochemical analysis of paraffin-embedded Human thymoma, using the Antibody.

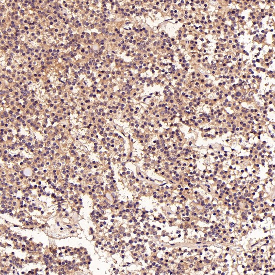
Immunohistochemical analysis of paraffin-embedded Human pituitary tumor, using the Antibody.

Immunofluorescent analysis using the Antibody.

Immunofluorescent analysis of HeLa cells, using FGFR1 Antibody.

Western blot analysis of FGFR1 expression in SH-SY5Y cell lysate.

Immunohistochemical analysis of paraffin-embedded Rat pancreas, using the Antibody.

Immunohistochemical analysis of paraffin-embedded Human thymoma, using the Antibody.

Immunohistochemical analysis of paraffin-embedded Human pituitary tumor, using the Antibody.

Immunofluorescent analysis using the Antibody.

Immunofluorescent analysis of HeLa cells, using FGFR1 Antibody.





