| Western blot (WB): | 1:500-2000 |
| Immunohistochemistry (IHC): | 1:50-200 |
| ImmunoPrecipitation (IP): | 1:50 |
| Flow Cytometry (FCM): | 1:50 |

Western blot analysis of anti-NEDD4 antibody (BM5598). The sample well of each lane was loaded with 30 ug of sample under reducing conditions.
Lane 1: human A549 whole cell lysates,
Lane 2: human SH-SY5Y whole cell lysates,
Lane 3: human U251 whole cell lysates,
Lane 4: human 293T whole cell lysates,
Lane 5: rat C6 whole cell lysates,
Lane 6: rat PC-12 whole cell lysates,
Lane 7: mouse Neuro-2a whole cell lysates,
Lane 8: mouse NIH/3T3 whole cell lysates.
After electrophoresis, proteins were transferred to a membrane. Then the membrane was incubated with rabbit anti-NEDD4 antigen affinity purified monoclonal antibody (BM5598) at a dilution of 1:1000 and probed with a goat anti-rabbit IgG-HRP secondary antibody (Catalog # BA1054). The signal is developed using ECL Plus Western Blotting Substrate (Catalog # AR1197). A specific band was detected for NEDD4 at approximately 130 kDa. The expected band size for NEDD4 is at 149 kDa.

IHC analysis of NEDD4 using anti-NEDD4 antibody (BM5598) .
NEDD4 was detected in a paraffin-embedded section of human bladder cancer tissue. The tissue section was incubated with rabbit anti-NEDD4 Antibody (BM5598) at a dilution of 1:200 and developed using HRP Conjugated Rabbit IgG Super Vision Assay Kit (Catalog # SV0002) with DAB (Catalog # AR1027) as the chromogen.

IHC analysis of NEDD4 using anti-NEDD4 antibody (BM5598) .
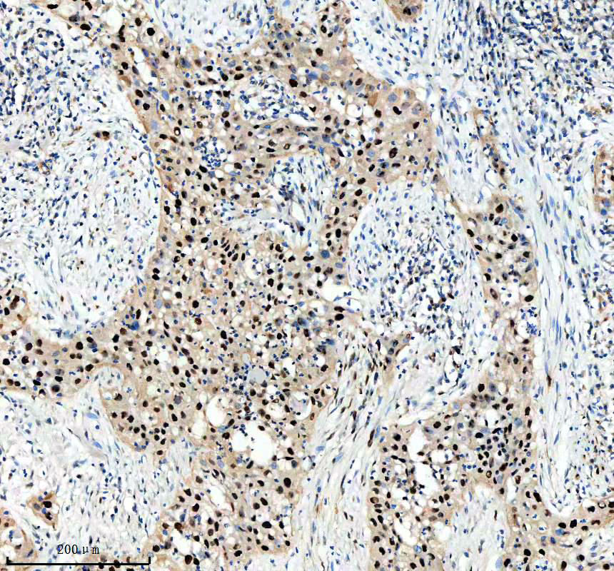
NEDD4 was detected in a paraffin-embedded section of human pancreas cancer tissue. The tissue section was incubated with rabbit anti-NEDD4 Antibody (BM5598) at a dilution of 1:200 and developed using HRP Conjugated Rabbit IgG Super Vision Assay Kit (Catalog # SV0002) with DAB (Catalog # AR1027) as the chromogen.

IHC analysis of NEDD4 using anti-NEDD4 antibody (BM5598) .
NEDD4 was detected in a paraffin-embedded section of human pancreas cancer tissue. The tissue section was incubated with rabbit anti-NEDD4 Antibody (BM5598) at a dilution of 1:200 and developed using HRP Conjugated Rabbit IgG Super Vision Assay Kit (Catalog # SV0002) with DAB (Catalog # AR1027) as the chromogen.

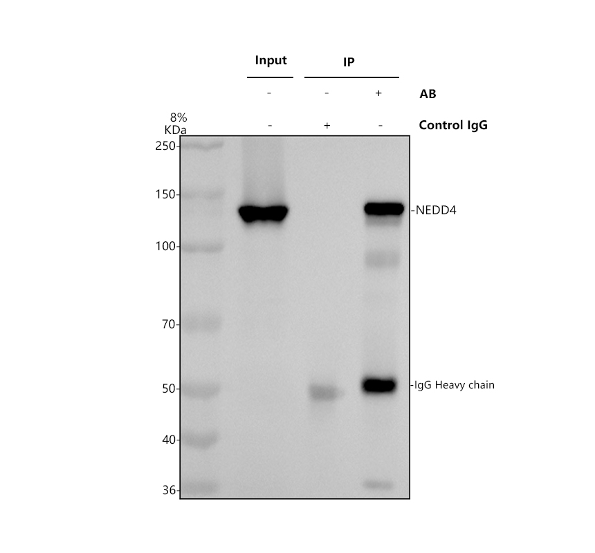
IP analysis of NEDD4 using anti-NEDD4 antibody (BM5598) in A549 whole cell lysate.
Western blot analysis of NEDD4 using anti- NEDD4 antibody (BM5598).
Lane 1: A549 whole cell lysates(30ug),
Lane 2: Rabbit control IgG instead of anti- NEDD4 antibody in A549 whole cell lysate,
Lane 3: anti- NEDD4 antibody (2μg) + A549 whole cell lysate (500μg).
After electrophoresis, proteins were transferred to a membrane. Then the membrane was incubated with rabbit anti- NEDD4 antigen affinity purified monoclonal antibody (BM5598) at a dilution of 1:1000 and probed with a goat anti-rabbit IgG-HRP secondary antibody (Catalog # BA1054). The signal is developed using ECL Plus Western Blotting Substrate (Catalog # AR1197). A specific band was detected for NEDD4 at approximately 135 kDa. The expected band size for NEDD4 is at 150 kDa.

Western blot analysis of anti-NEDD4 antibody (BM5598). The sample well of each lane was loaded with 30 ug of sample under reducing conditions.
Lane 1: human A549 whole cell lysates,
Lane 2: human SH-SY5Y whole cell lysates,
Lane 3: human U251 whole cell lysates,
Lane 4: human 293T whole cell lysates,
Lane 5: rat C6 whole cell lysates,
Lane 6: rat PC-12 whole cell lysates,
Lane 7: mouse Neuro-2a whole cell lysates,
Lane 8: mouse NIH/3T3 whole cell lysates.
After electrophoresis, proteins were transferred to a membrane. Then the membrane was incubated with rabbit anti-NEDD4 antigen affinity purified monoclonal antibody (BM5598) at a dilution of 1:1000 and probed with a goat anti-rabbit IgG-HRP secondary antibody (Catalog # BA1054). The signal is developed using ECL Plus Western Blotting Substrate (Catalog # AR1197). A specific band was detected for NEDD4 at approximately 130 kDa. The expected band size for NEDD4 is at 149 kDa.

IHC analysis of NEDD4 using anti-NEDD4 antibody (BM5598) .
NEDD4 was detected in a paraffin-embedded section of human bladder cancer tissue. The tissue section was incubated with rabbit anti-NEDD4 Antibody (BM5598) at a dilution of 1:200 and developed using HRP Conjugated Rabbit IgG Super Vision Assay Kit (Catalog # SV0002) with DAB (Catalog # AR1027) as the chromogen.

IHC analysis of NEDD4 using anti-NEDD4 antibody (BM5598) .
NEDD4 was detected in a paraffin-embedded section of human pancreas cancer tissue. The tissue section was incubated with rabbit anti-NEDD4 Antibody (BM5598) at a dilution of 1:200 and developed using HRP Conjugated Rabbit IgG Super Vision Assay Kit (Catalog # SV0002) with DAB (Catalog # AR1027) as the chromogen.

IHC analysis of NEDD4 using anti-NEDD4 antibody (BM5598) .
NEDD4 was detected in a paraffin-embedded section of human pancreas cancer tissue. The tissue section was incubated with rabbit anti-NEDD4 Antibody (BM5598) at a dilution of 1:200 and developed using HRP Conjugated Rabbit IgG Super Vision Assay Kit (Catalog # SV0002) with DAB (Catalog # AR1027) as the chromogen.

IP analysis of NEDD4 using anti-NEDD4 antibody (BM5598) in A549 whole cell lysate.
Western blot analysis of NEDD4 using anti- NEDD4 antibody (BM5598).
Lane 1: A549 whole cell lysates(30ug),
Lane 2: Rabbit control IgG instead of anti- NEDD4 antibody in A549 whole cell lysate,
Lane 3: anti- NEDD4 antibody (2μg) + A549 whole cell lysate (500μg).
After electrophoresis, proteins were transferred to a membrane. Then the membrane was incubated with rabbit anti- NEDD4 antigen affinity purified monoclonal antibody (BM5598) at a dilution of 1:1000 and probed with a goat anti-rabbit IgG-HRP secondary antibody (Catalog # BA1054). The signal is developed using ECL Plus Western Blotting Substrate (Catalog # AR1197). A specific band was detected for NEDD4 at approximately 135 kDa. The expected band size for NEDD4 is at 150 kDa.






