| Western blot (WB): | 1:500 |
| Immunohistochemistry (IHC): | 1:150 |

Immunohistochemical staining of paraffin-embedded Carcinoma of Human liver tissue using anti-ITGAM mouse monoclonal antibody. (Heat-induced epitope retrieval by 1mM EDTA in 10mM Tris buffer (pH8.5) at 120°C for 3min, M00144-4) (1:150)

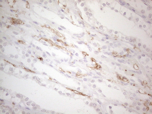
Immunohistochemical staining of paraffin-embedded Carcinoma of Human kidney tissue using anti-ITGAM mouse monoclonal antibody. (Heat-induced epitope retrieval by 1mM EDTA in 10mM Tris buffer (pH8.5) at 120°C for 3min, M00144-4) (1:150)

Immunohistochemical staining of paraffin-embedded Human Kidney tissue within the normal limits using anti-ITGAM mouse monoclonal antibody. (Heat-induced epitope retrieval by 1mM EDTA in 10mM Tris buffer (pH8.5) at 120°C for 3min, M00144-4) (1:150)

Immunohistochemical staining of paraffin-embedded Adenocarcinoma of Human colon tissue using anti-ITGAM mouse monoclonal antibody. (Heat-induced epitope retrieval by 1mM EDTA in 10mM Tris buffer (pH8.5) at 120°C for 3min, M00144-4) (1:150)

Immunohistochemical staining of paraffin-embedded Human colon tissue within the normal limits using anti-ITGAM mouse monoclonal antibody. (Heat-induced epitope retrieval by 1mM EDTA in 10mM Tris buffer (pH8.5) at 120°C for 3min, M00144-4) (1:150)

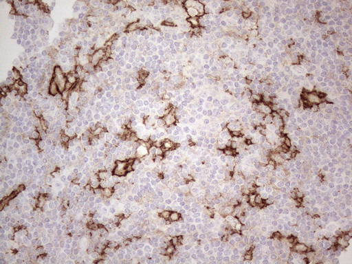
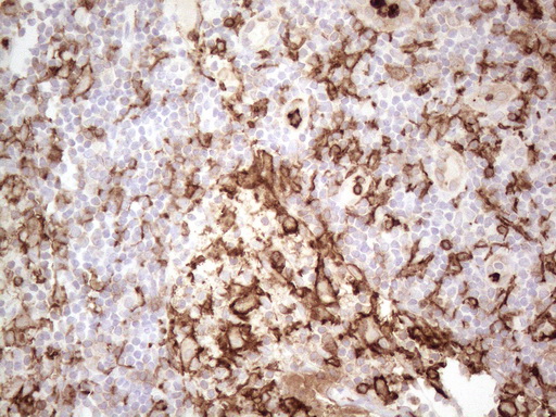
Immunohistochemical staining of paraffin-embedded Human tonsil within the normal limits using anti-ITGAM mouse monoclonal antibody. (Heat-induced epitope retrieval by 1mM EDTA in 10mM Tris buffer (pH8.5) at 120°C for 3min, M00144-4) (1:150)

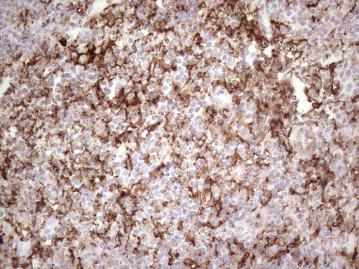
Immunohistochemical staining of paraffin-embedded Human lymphoma tissue using anti-ITGAM mouse monoclonal antibody. (Heat-induced epitope retrieval by 1mM EDTA in 10mM Tris buffer (pH8.5) at 120°C for 3min, M00144-4) (1:150)

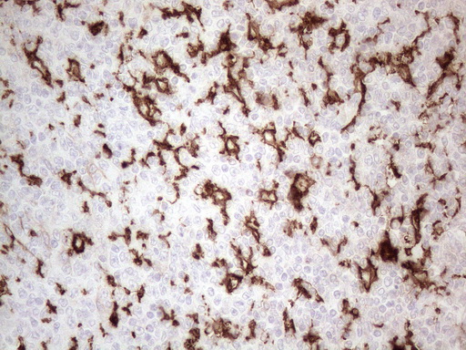
Immunohistochemical staining of paraffin-embedded Human lymph node tissue within the normal limits using anti-ITGAM mouse monoclonal antibody. (Heat-induced epitope retrieval by 1mM EDTA in 10mM Tris buffer (pH8.5) at 120°C for 3min, M00144-4) (1:150)

Immunohistochemical staining of paraffin-embedded Human bladder tissue within the normal limits using anti-ITGAM mouse monoclonal antibody. (Heat-induced epitope retrieval by 1mM EDTA in 10mM Tris buffer (pH8.5) at 120°C for 3min, M00144-4) (1:150)

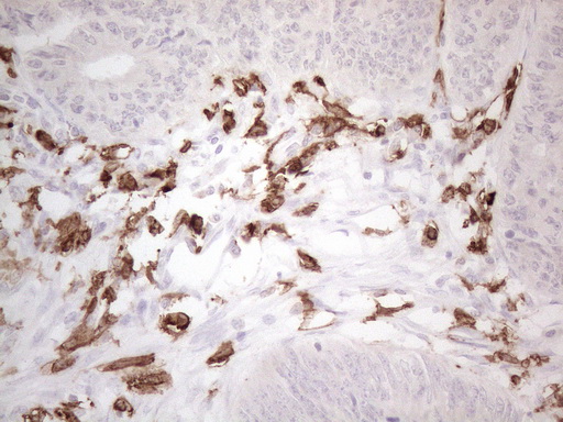
Immunohistochemical staining of paraffin-embedded Carcinoma of Human thyroid tissue using anti-ITGAM mouse monoclonal antibody. (Heat-induced epitope retrieval by 1mM EDTA in 10mM Tris buffer (pH8.5) at 120°C for 3min, M00144-4) (1:150)

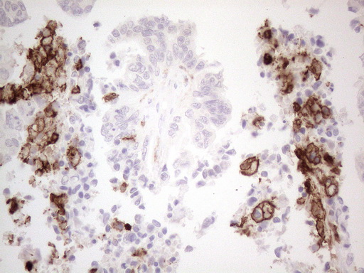
Immunohistochemical staining of paraffin-embedded Adenocarcinoma of Human ovary tissue using anti-ITGAM mouse monoclonal antibody. (Heat-induced epitope retrieval by 1mM EDTA in 10mM Tris buffer (pH8.5) at 120°C for 3min, M00144-4) (1:150)

HEK293T cells were transfected with the pCMV6-ENTRY control (Left lane) or pCMV6-ENTRY ITGAM (Right lane) cDNA for 48 hrs and lysed. Equivalent amounts of cell lysates (5 ug per lane) were separated by SDS-PAGE and immunoblotted with anti-ITGAM (1:500) (M00144-4).

Immunohistochemical staining of paraffin-embedded Carcinoma of Human liver tissue using anti-ITGAM mouse monoclonal antibody. (Heat-induced epitope retrieval by 1mM EDTA in 10mM Tris buffer (pH8.5) at 120°C for 3min, M00144-4) (1:150)

Immunohistochemical staining of paraffin-embedded Carcinoma of Human kidney tissue using anti-ITGAM mouse monoclonal antibody. (Heat-induced epitope retrieval by 1mM EDTA in 10mM Tris buffer (pH8.5) at 120°C for 3min, M00144-4) (1:150)

Immunohistochemical staining of paraffin-embedded Human Kidney tissue within the normal limits using anti-ITGAM mouse monoclonal antibody. (Heat-induced epitope retrieval by 1mM EDTA in 10mM Tris buffer (pH8.5) at 120°C for 3min, M00144-4) (1:150)

Immunohistochemical staining of paraffin-embedded Adenocarcinoma of Human colon tissue using anti-ITGAM mouse monoclonal antibody. (Heat-induced epitope retrieval by 1mM EDTA in 10mM Tris buffer (pH8.5) at 120°C for 3min, M00144-4) (1:150)

Immunohistochemical staining of paraffin-embedded Human colon tissue within the normal limits using anti-ITGAM mouse monoclonal antibody. (Heat-induced epitope retrieval by 1mM EDTA in 10mM Tris buffer (pH8.5) at 120°C for 3min, M00144-4) (1:150)

Immunohistochemical staining of paraffin-embedded Human tonsil within the normal limits using anti-ITGAM mouse monoclonal antibody. (Heat-induced epitope retrieval by 1mM EDTA in 10mM Tris buffer (pH8.5) at 120°C for 3min, M00144-4) (1:150)

Immunohistochemical staining of paraffin-embedded Human lymphoma tissue using anti-ITGAM mouse monoclonal antibody. (Heat-induced epitope retrieval by 1mM EDTA in 10mM Tris buffer (pH8.5) at 120°C for 3min, M00144-4) (1:150)

Immunohistochemical staining of paraffin-embedded Human lymph node tissue within the normal limits using anti-ITGAM mouse monoclonal antibody. (Heat-induced epitope retrieval by 1mM EDTA in 10mM Tris buffer (pH8.5) at 120°C for 3min, M00144-4) (1:150)

Immunohistochemical staining of paraffin-embedded Human bladder tissue within the normal limits using anti-ITGAM mouse monoclonal antibody. (Heat-induced epitope retrieval by 1mM EDTA in 10mM Tris buffer (pH8.5) at 120°C for 3min, M00144-4) (1:150)

Immunohistochemical staining of paraffin-embedded Carcinoma of Human thyroid tissue using anti-ITGAM mouse monoclonal antibody. (Heat-induced epitope retrieval by 1mM EDTA in 10mM Tris buffer (pH8.5) at 120°C for 3min, M00144-4) (1:150)

Immunohistochemical staining of paraffin-embedded Adenocarcinoma of Human ovary tissue using anti-ITGAM mouse monoclonal antibody. (Heat-induced epitope retrieval by 1mM EDTA in 10mM Tris buffer (pH8.5) at 120°C for 3min, M00144-4) (1:150)

HEK293T cells were transfected with the pCMV6-ENTRY control (Left lane) or pCMV6-ENTRY ITGAM (Right lane) cDNA for 48 hrs and lysed. Equivalent amounts of cell lysates (5 ug per lane) were separated by SDS-PAGE and immunoblotted with anti-ITGAM (1:500) (M00144-4).











