| Western blot (WB): | 1:500-2000 |
| Immunohistochemistry (IHC): | 1:50-400 |
| Flow Cytometry (Fixed): | 1:50-200 |
| (Boiling the paraffin sections in 10mM citrate buffer,pH6.0,or PH8.0 EDTA repair liquid for 20 mins is required for the staining of formalin/paraffin sections.) Optimal working dilutions must be determined by end user. | |

Western blot analysis of CD11B/Integrin Alpha M/ITGAM using anti-CD11B/Integrin Alpha M/ITGAM antibody (PB9140).
Lane 1: recombinant Human CD11B Protein 0.5ng.
After electrophoresis, proteins were transferred to a membrane. Then the membrane was incubated with rabbit anti-CD11B/Integrin Alpha M/ITGAM antigen affinity purified polyclonal antibody (PB9140) at a dilution of 1:1000 and probed with a goat anti-rabbit IgG-HRP secondary antibody (Catalog # BA1054). The signal is developed using ECL Plus Western Blotting Substrate (Catalog # AR1197). A specific band was detected for CD11B/Integrin Alpha M/ITGAM at approximately 45 kDa.

IHC analysis of CD11B/Integrin Alpha M/ITGAM using anti-CD11B/Integrin Alpha M/ITGAM antibody (PB9140).
CD11B/Integrin Alpha M/ITGAM was detected in a paraffin-embedded section of human tonsil tissue. Biotinylated goat anti-rabbit IgG was used as secondary antibody. The tissue section was incubated with rabbit anti-CD11B/Integrin Alpha M/ITGAM Antibody (PB9140) at a dilution of 1:200 and developed using Strepavidin-Biotin-Complex (SABC) (Catalog # SA1022) with DAB (Catalog # AR1027) as the chromogen.

IHC analysis of CD11B/Integrin Alpha M/ITGAM using anti-CD11B/Integrin Alpha M/ITGAM antibody (PB9140).
CD11B/Integrin Alpha M/ITGAM was detected in a paraffin-embedded section of mouse spleen tissue. Biotinylated goat anti-rabbit IgG was used as secondary antibody. The tissue section was incubated with rabbit anti-CD11B/Integrin Alpha M/ITGAM Antibody (PB9140) at a dilution of 1:200 and developed using Strepavidin-Biotin-Complex (SABC) (Catalog # SA1022) with DAB (Catalog # AR1027) as the chromogen.

IHC analysis of CD11B/Integrin Alpha M/ITGAM using anti-CD11B/Integrin Alpha M/ITGAM antibody (PB9140).
CD11B/Integrin Alpha M/ITGAM was detected in a paraffin-embedded section of rat spleen tissue. Biotinylated goat anti-rabbit IgG was used as secondary antibody. The tissue section was incubated with rabbit anti-CD11B/Integrin Alpha M/ITGAM Antibody (PB9140) at a dilution of 1:200 and developed using Strepavidin-Biotin-Complex (SABC) (Catalog # SA1022) with DAB (Catalog # AR1027) as the chromogen.

Flow Cytometry analysis of THP-1 cells using anti-CD11B/Integrin Alpha M/ITGAM antibody (PB9140).
Overlay histogram showing THP-1 cells stained with PB9140 (Blue line). The cells were fixed with 4% paraformaldehyde and blocked with 10% normal goat serum. And then incubated with rabbit anti-CD11B/Integrin Alpha M/ITGAM Antibody (PB9140) at 1:100 dilution for 30 min at 20°C. Fluoro488 conjugated goat anti-rabbit IgG (BA1127) was used as secondary antibody at 1:100 dilution for 30 minutes at 20°C. Isotype control antibody (Green line) was rabbit IgG at 1:100 dilution used under the same conditions. Unlabelled sample without incubation with primary antibody and secondary antibody (Red line) was used as a blank control.

Western blot analysis of CD11B/Integrin Alpha M/ITGAM using anti-CD11B/Integrin Alpha M/ITGAM antibody (PB9140).
Lane 1: recombinant Human CD11B Protein 0.5ng.
After electrophoresis, proteins were transferred to a membrane. Then the membrane was incubated with rabbit anti-CD11B/Integrin Alpha M/ITGAM antigen affinity purified polyclonal antibody (PB9140) at a dilution of 1:1000 and probed with a goat anti-rabbit IgG-HRP secondary antibody (Catalog # BA1054). The signal is developed using ECL Plus Western Blotting Substrate (Catalog # AR1197). A specific band was detected for CD11B/Integrin Alpha M/ITGAM at approximately 45 kDa.

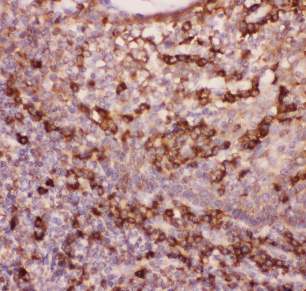
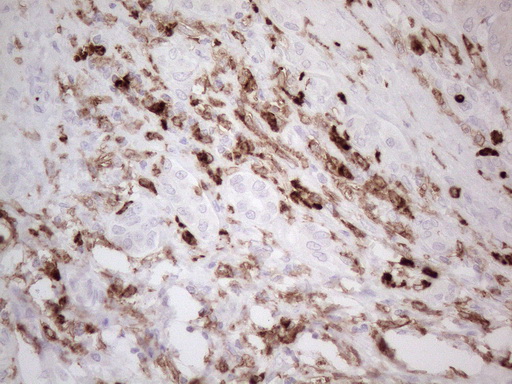
IHC analysis of CD11B/Integrin Alpha M/ITGAM using anti-CD11B/Integrin Alpha M/ITGAM antibody (PB9140).
CD11B/Integrin Alpha M/ITGAM was detected in a paraffin-embedded section of human tonsil tissue. Biotinylated goat anti-rabbit IgG was used as secondary antibody. The tissue section was incubated with rabbit anti-CD11B/Integrin Alpha M/ITGAM Antibody (PB9140) at a dilution of 1:200 and developed using Strepavidin-Biotin-Complex (SABC) (Catalog # SA1022) with DAB (Catalog # AR1027) as the chromogen.

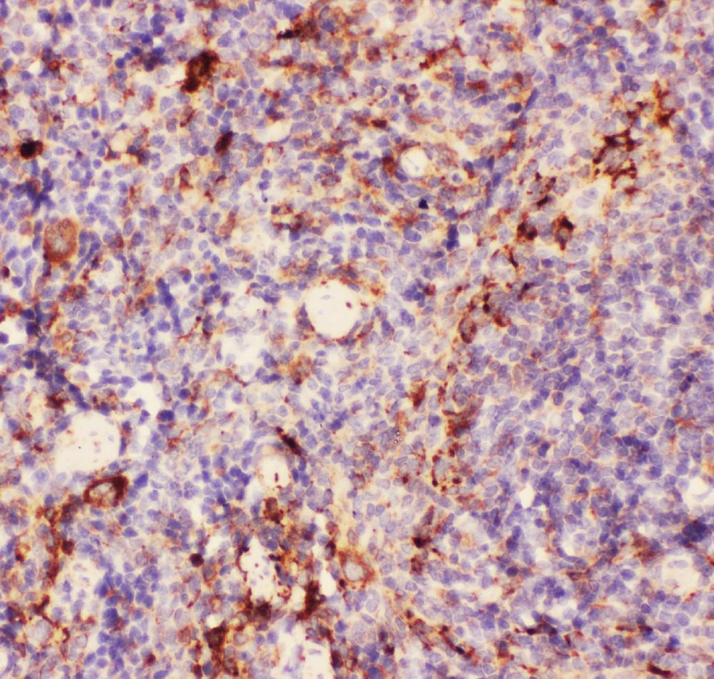
IHC analysis of CD11B/Integrin Alpha M/ITGAM using anti-CD11B/Integrin Alpha M/ITGAM antibody (PB9140).
CD11B/Integrin Alpha M/ITGAM was detected in a paraffin-embedded section of mouse spleen tissue. Biotinylated goat anti-rabbit IgG was used as secondary antibody. The tissue section was incubated with rabbit anti-CD11B/Integrin Alpha M/ITGAM Antibody (PB9140) at a dilution of 1:200 and developed using Strepavidin-Biotin-Complex (SABC) (Catalog # SA1022) with DAB (Catalog # AR1027) as the chromogen.

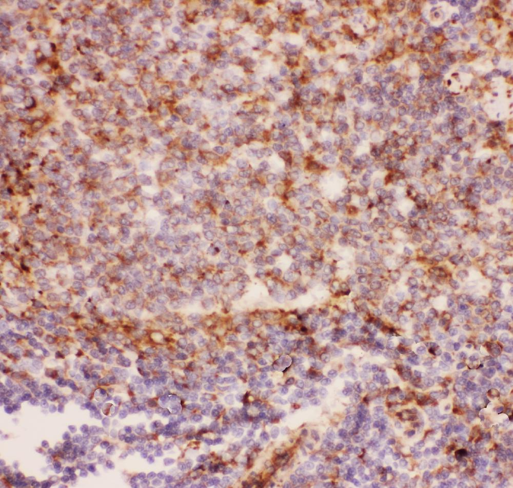
IHC analysis of CD11B/Integrin Alpha M/ITGAM using anti-CD11B/Integrin Alpha M/ITGAM antibody (PB9140).
CD11B/Integrin Alpha M/ITGAM was detected in a paraffin-embedded section of rat spleen tissue. Biotinylated goat anti-rabbit IgG was used as secondary antibody. The tissue section was incubated with rabbit anti-CD11B/Integrin Alpha M/ITGAM Antibody (PB9140) at a dilution of 1:200 and developed using Strepavidin-Biotin-Complex (SABC) (Catalog # SA1022) with DAB (Catalog # AR1027) as the chromogen.

Flow Cytometry analysis of THP-1 cells using anti-CD11B/Integrin Alpha M/ITGAM antibody (PB9140).
Overlay histogram showing THP-1 cells stained with PB9140 (Blue line). The cells were fixed with 4% paraformaldehyde and blocked with 10% normal goat serum. And then incubated with rabbit anti-CD11B/Integrin Alpha M/ITGAM Antibody (PB9140) at 1:100 dilution for 30 min at 20°C. Fluoro488 conjugated goat anti-rabbit IgG (BA1127) was used as secondary antibody at 1:100 dilution for 30 minutes at 20°C. Isotype control antibody (Green line) was rabbit IgG at 1:100 dilution used under the same conditions. Unlabelled sample without incubation with primary antibody and secondary antibody (Red line) was used as a blank control.




