| Western blot (WB): | 1:500-2000 |
| Immunohistochemistry (IHC): | 1:50-200 |
| Immunocytochemistry/Immunofluorescence (ICC/IF): | 1:50-200 |

Western blot analysis of anti-CD11B/Integrin Alpha M/ITGAM antibody (BM3925). The sample well of each lane was loaded with 30 ug of sample under reducing conditions.
Lane 1: mouse RAW264.7 whole cell lysates.
After electrophoresis, proteins were transferred to a membrane. Then the membrane was incubated with rabbit anti-CD11B/Integrin Alpha M/ITGAM antigen affinity purified monoclonal antibody (BM3925) at a dilution of 1:1000 and probed with a goat anti-rabbit IgG-HRP secondary antibody (Catalog # BA1054). The signal is developed using ECL Plus Western Blotting Substrate (Catalog # AR1197). A specific band was detected for CD11B/Integrin Alpha M/ITGAM at approximately 170 kDa. The expected band size for CD11B/Integrin Alpha M/ITGAM is at 127 kDa.

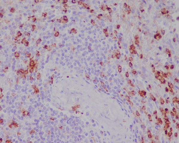
Immunohistochemical analysis of paraffin-embedded human spleen, using CD11b Antibody.

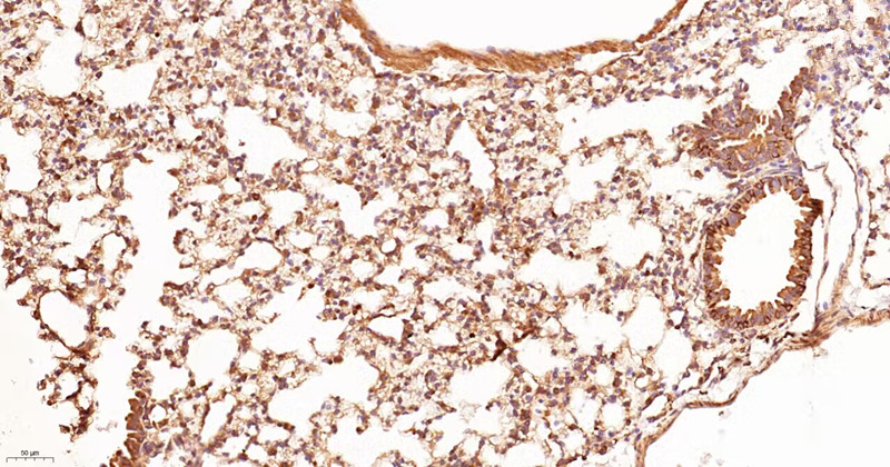
Immunohistochemical analysis of paraffin-embedded mouse lung, using CD11b Antibody.

Western blot analysis of anti-CD11B/Integrin Alpha M/ITGAM antibody (BM3925). The sample well of each lane was loaded with 30 ug of sample under reducing conditions.
Lane 1: mouse RAW264.7 whole cell lysates.
After electrophoresis, proteins were transferred to a membrane. Then the membrane was incubated with rabbit anti-CD11B/Integrin Alpha M/ITGAM antigen affinity purified monoclonal antibody (BM3925) at a dilution of 1:1000 and probed with a goat anti-rabbit IgG-HRP secondary antibody (Catalog # BA1054). The signal is developed using ECL Plus Western Blotting Substrate (Catalog # AR1197). A specific band was detected for CD11B/Integrin Alpha M/ITGAM at approximately 170 kDa. The expected band size for CD11B/Integrin Alpha M/ITGAM is at 127 kDa.

Immunohistochemical analysis of paraffin-embedded human spleen, using CD11b Antibody.

Immunohistochemical analysis of paraffin-embedded mouse lung, using CD11b Antibody.




