| Western blot (WB): | 1:500~2000 |
| Immunohistochemistry (IHC): | 1:150 |
| Flow cytometry (FCM): | 1:100 |

Immunohistochemical staining of paraffin-embedded Adenocarcinoma of Human endometrium tissue using anti-TIMP2 mouse monoclonal antibody. (Heat-induced epitope retrieval by 10mM citric buffer, pH6.0, 100°C for 10min, M01037-3)

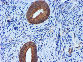
Immunohistochemical staining of paraffin-embedded Human endometrium tissue within the normal limits using anti-TIMP2 mouse monoclonal antibody. (Heat-induced epitope retrieval by 10mM citric buffer, pH6.0, 100°C for 10min, M01037-3)

HEK293T cells transfected with either overexpress plasmid (Red) or empty vector control plasmid (Blue) were immunostained by anti-TIMP2 antibody, and then analyzed by flow cytometry.

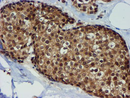
Immunohistochemical staining of paraffin-embedded Adenocarcinoma of Human breast tissue using anti-TIMP2 mouse monoclonal antibody. (Heat-induced epitope retrieval by 10mM citric buffer, pH6.0, 100°C for 10min, M01037-3)

Immunohistochemical staining of paraffin-embedded Human pancreas tissue within the normal limits using anti-TIMP2 mouse monoclonal antibody. (Heat-induced epitope retrieval by 10mM citric buffer, pH6.0, 100°C for 10min, M01037-3)

Immunohistochemical staining of paraffin-embedded Human breast tissue within the normal limits using anti-TIMP2 mouse monoclonal antibody. (Heat-induced epitope retrieval by 10mM citric buffer, pH6.0, 100°C for 10min, M01037-3)

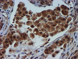
Immunohistochemical staining of paraffin-embedded Adenocarcinoma of Human ovary tissue using anti-TIMP2 mouse monoclonal antibody. (Heat-induced epitope retrieval by 10mM citric buffer, pH6.0, 100°C for 10min, M01037-3)

Immunohistochemical staining of paraffin-embedded Carcinoma of Human bladder tissue using anti-TIMP2 mouse monoclonal antibody. (Heat-induced epitope retrieval by 10mM citric buffer, pH6.0, 100°C for 10min, M01037-3)

Immunohistochemical staining of paraffin-embedded Carcinoma of Human lung tissue using anti-TIMP2 mouse monoclonal antibody. (Heat-induced epitope retrieval by 10mM citric buffer, pH6.0, 100°C for 10min, M01037-3)

Flow cytometric Analysis of Jurkat cells, using anti-TIMP2 antibody, (Red), compared to a nonspecific negative control antibody, (Blue).

HEK293T cells were transfected with the pCMV6-ENTRY control (Left lane) or pCMV6-ENTRY TIMP2 (Right lane) cDNA for 48 hrs and lysed. Equivalent amounts of cell lysates (5 ug per lane) were separated by SDS-PAGE and immunoblotted with anti-TIMP2.

Immunohistochemical staining of paraffin-embedded Adenocarcinoma of Human endometrium tissue using anti-TIMP2 mouse monoclonal antibody. (Heat-induced epitope retrieval by 10mM citric buffer, pH6.0, 100°C for 10min, M01037-3)

Immunohistochemical staining of paraffin-embedded Human endometrium tissue within the normal limits using anti-TIMP2 mouse monoclonal antibody. (Heat-induced epitope retrieval by 10mM citric buffer, pH6.0, 100°C for 10min, M01037-3)

HEK293T cells transfected with either overexpress plasmid (Red) or empty vector control plasmid (Blue) were immunostained by anti-TIMP2 antibody, and then analyzed by flow cytometry.

Immunohistochemical staining of paraffin-embedded Adenocarcinoma of Human breast tissue using anti-TIMP2 mouse monoclonal antibody. (Heat-induced epitope retrieval by 10mM citric buffer, pH6.0, 100°C for 10min, M01037-3)

Immunohistochemical staining of paraffin-embedded Human pancreas tissue within the normal limits using anti-TIMP2 mouse monoclonal antibody. (Heat-induced epitope retrieval by 10mM citric buffer, pH6.0, 100°C for 10min, M01037-3)

Immunohistochemical staining of paraffin-embedded Human breast tissue within the normal limits using anti-TIMP2 mouse monoclonal antibody. (Heat-induced epitope retrieval by 10mM citric buffer, pH6.0, 100°C for 10min, M01037-3)

Immunohistochemical staining of paraffin-embedded Adenocarcinoma of Human ovary tissue using anti-TIMP2 mouse monoclonal antibody. (Heat-induced epitope retrieval by 10mM citric buffer, pH6.0, 100°C for 10min, M01037-3)

Immunohistochemical staining of paraffin-embedded Carcinoma of Human bladder tissue using anti-TIMP2 mouse monoclonal antibody. (Heat-induced epitope retrieval by 10mM citric buffer, pH6.0, 100°C for 10min, M01037-3)

Immunohistochemical staining of paraffin-embedded Carcinoma of Human lung tissue using anti-TIMP2 mouse monoclonal antibody. (Heat-induced epitope retrieval by 10mM citric buffer, pH6.0, 100°C for 10min, M01037-3)

Flow cytometric Analysis of Jurkat cells, using anti-TIMP2 antibody, (Red), compared to a nonspecific negative control antibody, (Blue).

HEK293T cells were transfected with the pCMV6-ENTRY control (Left lane) or pCMV6-ENTRY TIMP2 (Right lane) cDNA for 48 hrs and lysed. Equivalent amounts of cell lysates (5 ug per lane) were separated by SDS-PAGE and immunoblotted with anti-TIMP2.










