| Western blot (WB): | 1:2000 |
| Immunohistochemistry (IHC): | 1:50 |
| Immunocytochemistry/Immunofluorescence (ICC/IF): | 1:100 |
| Flow cytometry (FCM): | 1:100 |

Immunohistochemical staining of paraffin-embedded Human prostate tissue within the normal limits using anti-BCL10 mouse monoclonal antibody. (Heat-induced epitope retrieval by 10mM citric buffer, pH6.0, 100°C for 10min, M01616-5, Dilution 1:50)

HEK293T cells were transfected with the pCMV6-ENTRY control (Left lane) or pCMV6-ENTRY BCL10 (Right lane) cDNA for 48 hrs and lysed. Equivalent amounts of cell lysates (5 ug per lane) were separated by SDS-PAGE and immunoblotted with anti-BCL10.

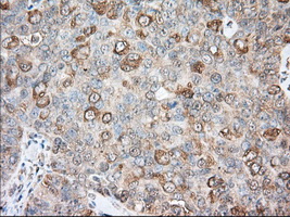
Immunohistochemical staining of paraffin-embedded Adenocarcinoma of Human ovary tissue using anti-BCL10 mouse monoclonal antibody. (Heat-induced epitope retrieval by 10mM citric buffer, pH6.0, 100°C for 10min, M01616-5, Dilution 1:50)

Flow cytometric Analysis of Jurkat cells, using anti-BCL10 antibody, (Red), compared to a nonspecific negative control antibody, (Blue).

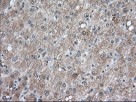
Immunohistochemical staining of paraffin-embedded Human liver tissue within the normal limits using anti-BCL10 mouse monoclonal antibody. (Heat-induced epitope retrieval by 10mM citric buffer, pH6.0, 100°C for 10min, M01616-5, Dilution 1:50)

Anti-BCL10 mouse monoclonal antibody immunofluorescent staining of COS7 cells transiently transfected by pCMV6-ENTRY BCL10 .

Immunohistochemical staining of paraffin-embedded Human prostate tissue within the normal limits using anti-BCL10 mouse monoclonal antibody. (Heat-induced epitope retrieval by 10mM citric buffer, pH6.0, 100°C for 10min, M01616-5, Dilution 1:50)

HEK293T cells were transfected with the pCMV6-ENTRY control (Left lane) or pCMV6-ENTRY BCL10 (Right lane) cDNA for 48 hrs and lysed. Equivalent amounts of cell lysates (5 ug per lane) were separated by SDS-PAGE and immunoblotted with anti-BCL10.

Immunohistochemical staining of paraffin-embedded Adenocarcinoma of Human ovary tissue using anti-BCL10 mouse monoclonal antibody. (Heat-induced epitope retrieval by 10mM citric buffer, pH6.0, 100°C for 10min, M01616-5, Dilution 1:50)

Flow cytometric Analysis of Jurkat cells, using anti-BCL10 antibody, (Red), compared to a nonspecific negative control antibody, (Blue).

Immunohistochemical staining of paraffin-embedded Human liver tissue within the normal limits using anti-BCL10 mouse monoclonal antibody. (Heat-induced epitope retrieval by 10mM citric buffer, pH6.0, 100°C for 10min, M01616-5, Dilution 1:50)

Anti-BCL10 mouse monoclonal antibody immunofluorescent staining of COS7 cells transiently transfected by pCMV6-ENTRY BCL10 .





