| Western blot (WB): | 1:500-2000 |
| Immunohistochemistry (IHC): | 1:50-400 |
| (Boiling the paraffin sections in 10mM citrate buffer,pH6.0,or PH8.0 EDTA repair liquid for 20 mins is required for the staining of formalin/paraffin sections.) Optimal working dilutions must be determined by end user. | |

Western blot analysis of anti-BCL10 antibody (PB0555). The sample well of each lane was loaded with 30 ug of sample under reducing conditions.
Lane 1: human Raji whole cell lysates,
Lane 2: human Jurkat whole cell lysates,
Lane 3: human MCF-7 whole cell lysates,
Lane 4: human Hela whole cell lysates.
After electrophoresis, proteins were transferred to a membrane. Then the membrane was incubated with rabbit anti-BCL10 antigen affinity purified polyclonal antibody (PB0555) and probed with a goat anti-rabbit IgG-HRP secondary antibody (Catalog # BA1054). The signal is developed using ECL Plus Western Blotting Substrate (Catalog # AR1197). A specific band was detected for BCL10 at approximately 28 kDa. The expected band size for BCL10 is at 26 kDa.

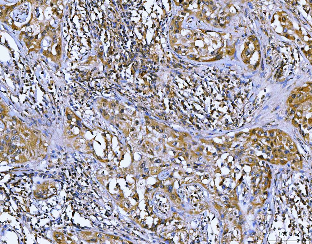
IHC analysis of BCL10 using anti-BCL10 antibody (PB0555).
BCL10 was detected in a paraffin-embedded section of human lymph node carcinoma tissue. The tissue section was developed using HRP Conjugated Rabbit IgG Super Vision Assay Kit (Catalog # SV0002) with DAB (Catalog # AR1027) as the chromogen.

Western blot analysis of anti-BCL10 antibody (PB0555). The sample well of each lane was loaded with 30 ug of sample under reducing conditions.
Lane 1: human Raji whole cell lysates,
Lane 2: human Jurkat whole cell lysates,
Lane 3: human MCF-7 whole cell lysates,
Lane 4: human Hela whole cell lysates.
After electrophoresis, proteins were transferred to a membrane. Then the membrane was incubated with rabbit anti-BCL10 antigen affinity purified polyclonal antibody (PB0555) and probed with a goat anti-rabbit IgG-HRP secondary antibody (Catalog # BA1054). The signal is developed using ECL Plus Western Blotting Substrate (Catalog # AR1197). A specific band was detected for BCL10 at approximately 28 kDa. The expected band size for BCL10 is at 26 kDa.

IHC analysis of BCL10 using anti-BCL10 antibody (PB0555).
BCL10 was detected in a paraffin-embedded section of human lymph node carcinoma tissue. The tissue section was developed using HRP Conjugated Rabbit IgG Super Vision Assay Kit (Catalog # SV0002) with DAB (Catalog # AR1027) as the chromogen.

