| Western blot (WB): | 1:500-2000 |
| Immunohistochemistry (IHC): | 1:50-400 |
| Flow Cytometry (Fixed): | 1:50-200 |
| Immunocytochemistry/Immunofluorescence (ICC/IF): | 1:50-400 |
| (Boiling the paraffin sections in 10mM citrate buffer,pH6.0,or PH8.0 EDTA repair liquid for 25 mins is required for the staining of formalin/paraffin sections.) Optimal working dilutions must be determined by end user. | |

Western blot analysis of CD2AP using anti-CD2AP antibody (M01756). The sample well of each lane was loaded with 30 ug of sample under reducing conditions.
Lane 1: human Hela whole cell lysates,
Lane 2: human 293T whole cell lysates,
Lane 3: human MCF-7 whole cell lysates,
Lane 4: human 22RV1 whole cell lysates,
Lane 5: rat RH35 whole cell lysates,
Lane 6: rat C6 whole cell lysates,
Lane 7: mouse Hepa1/6 whole cell lysates,
Lane 8: mouse Neuro-2a whole cell lysates.
After electrophoresis, proteins were transferred to a membrane. Then the membrane was incubated with mouse anti-CD2AP antigen affinity purified monoclonal antibody (M01756) at a dilution of 1:1000 and probed with a goat anti-mouse IgG-HRP secondary antibody (Catalog # BA1050). The signal is developed using ECL Plus Western Blotting Substrate (Catalog # AR1197). A specific band was detected for CD2AP at approximately 80 kDa. The expected band size for CD2AP is at 71 kDa.

IHC analysis of CD2AP using anti-CD2AP antibody (M01756).
CD2AP was detected in a paraffin-embedded section of human colon cancer tissue. Biotinylated goat anti-mouse IgG was used as secondary antibody. The tissue section was incubated with mouse anti-CD2AP Antibody (M01756) at a dilution of 1:200 and developed using Strepavidin-Biotin-Complex (SABC) (Catalog # SA1021) with DAB (Catalog # AR1027) as the chromogen.

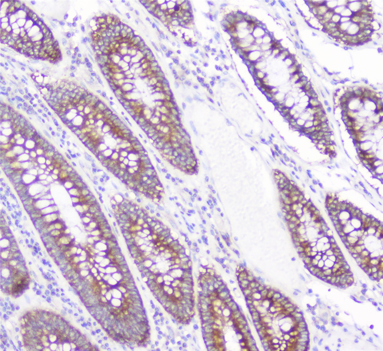
IHC analysis of CD2AP using anti-CD2AP antibody (M01756).
CD2AP was detected in a paraffin-embedded section of human colon cancer tissue. Biotinylated goat anti-mouse IgG was used as secondary antibody. The tissue section was incubated with mouse anti-CD2AP Antibody (M01756) at a dilution of 1:200 and developed using Strepavidin-Biotin-Complex (SABC) (Catalog # SA1021) with DAB (Catalog # AR1027) as the chromogen.

IHC analysis of CD2AP using anti-CD2AP antibody (M01756).
CD2AP was detected in a paraffin-embedded section of human placenta tissue. Biotinylated goat anti-mouse IgG was used as secondary antibody. The tissue section was incubated with mouse anti-CD2AP Antibody (M01756) at a dilution of 1:200 and developed using Strepavidin-Biotin-Complex (SABC) (Catalog # SA1021) with DAB (Catalog # AR1027) as the chromogen.

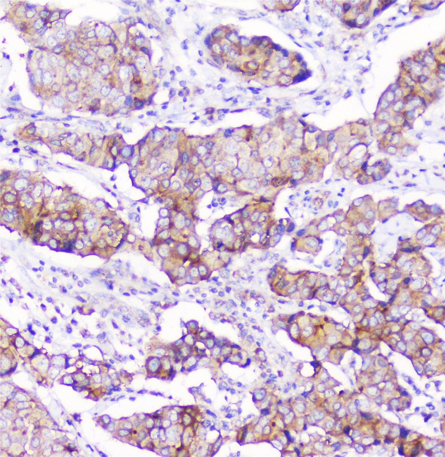
IHC analysis of CD2AP using anti-CD2AP antibody (M01756).
CD2AP was detected in a paraffin-embedded section of human mammary cancer tissue. Biotinylated goat anti-mouse IgG was used as secondary antibody. The tissue section was incubated with mouse anti-CD2AP Antibody (M01756) at a dilution of 1:200 and developed using Strepavidin-Biotin-Complex (SABC) (Catalog # SA1021) with DAB (Catalog # AR1027) as the chromogen.

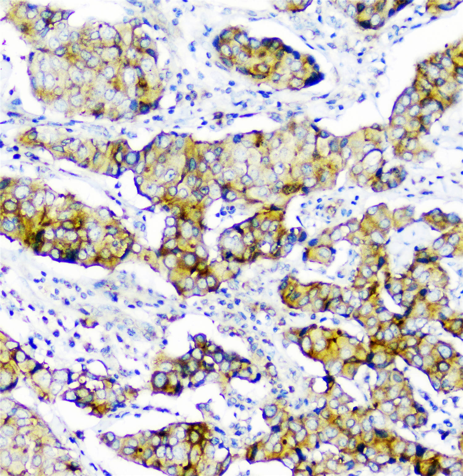
IHC analysis of CD2AP using anti-CD2AP antibody (M01756).
CD2AP was detected in a paraffin-embedded section of human mammary cancer tissue. The tissue section was incubated with mouse anti-CD2AP Antibody (M01756) at a dilution of 1:200 and developed using HRP Conjugated mouse IgG Super Vision Assay Kit (Catalog # SV0001) with DAB (Catalog # AR1027) as the chromogen.

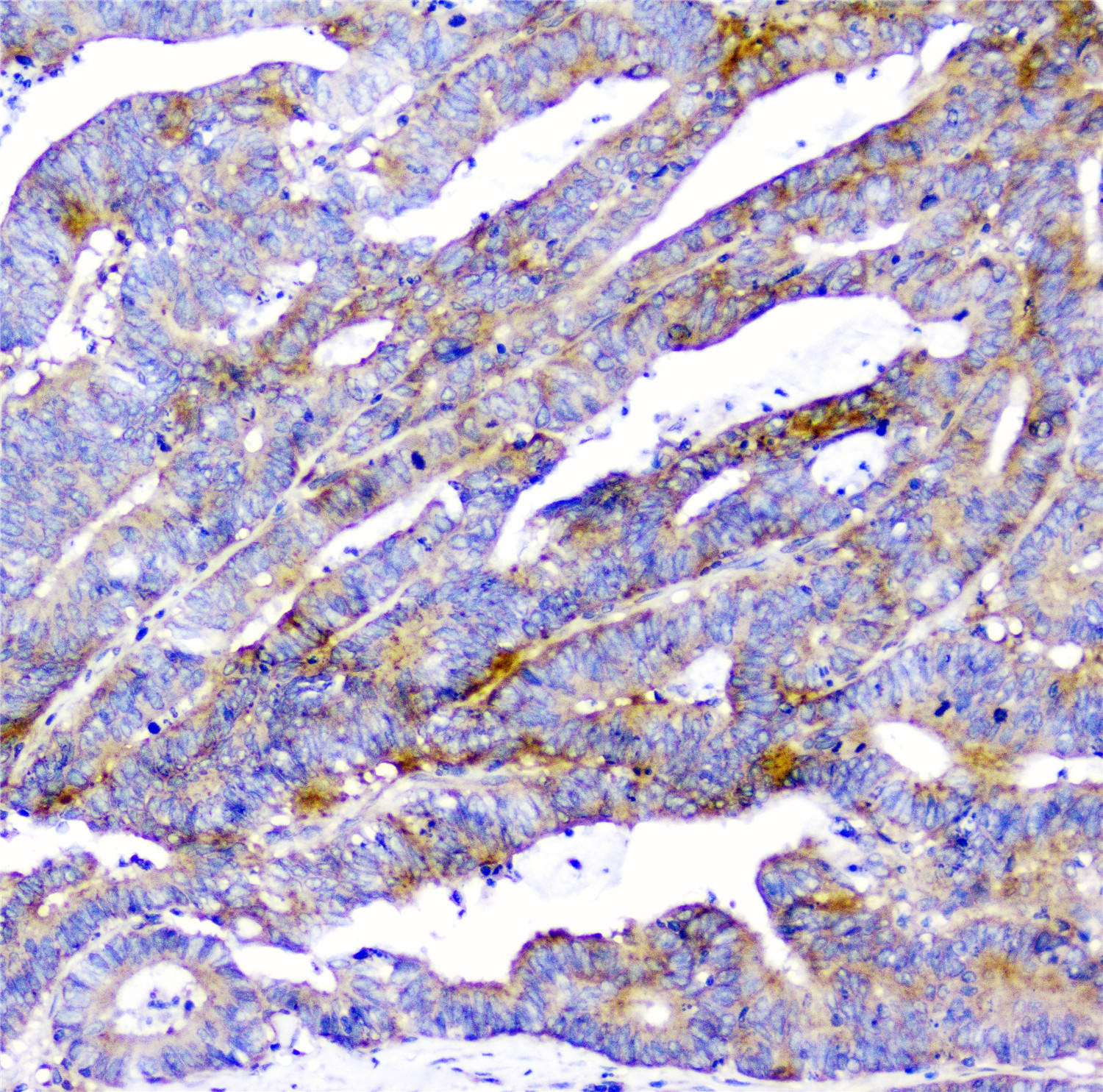
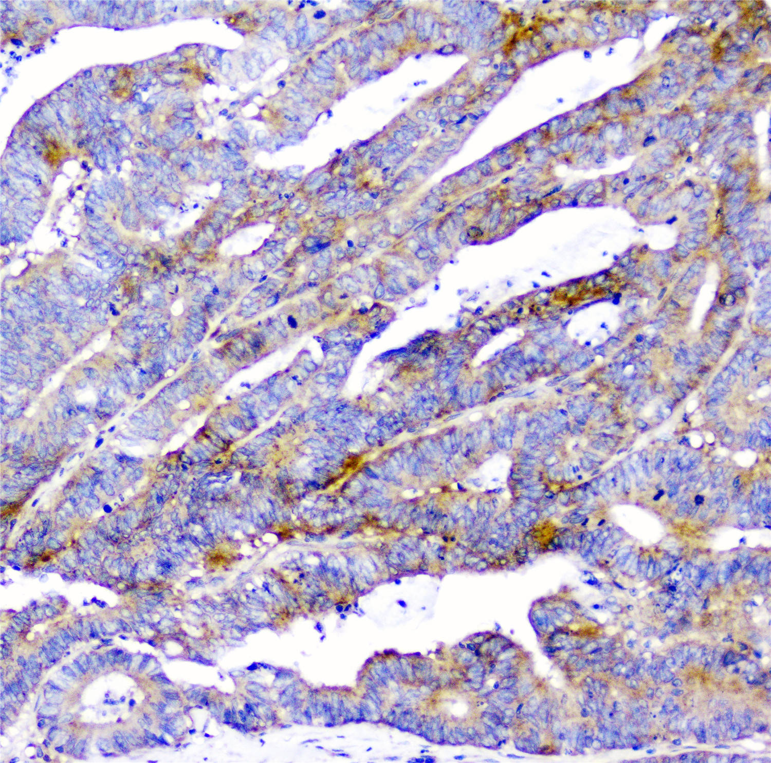
IHC analysis of CD2AP using anti-CD2AP antibody (M01756).
CD2AP was detected in a paraffin-embedded section of human colon cancer tissue. The tissue section was incubated with mouse anti-CD2AP Antibody (M01756) at a dilution of 1:200 and developed using HRP Conjugated mouse IgG Super Vision Assay Kit (Catalog # SV0001) with DAB (Catalog # AR1027) as the chromogen.

IHC analysis of CD2AP using anti-CD2AP antibody (M01756).
CD2AP was detected in a paraffin-embedded section of human mammary cancer tissue. Biotinylated goat anti-mouse IgG was used as secondary antibody. The tissue section was incubated with mouse anti-CD2AP Antibody (M01756) at a dilution of 1:200 and developed using Strepavidin-Biotin-Complex (SABC) (Catalog # SA1021) with DAB (Catalog # AR1027) as the chromogen.

IHC analysis of CD2AP using anti-CD2AP antibody (M01756).
CD2AP was detected in a paraffin-embedded section of human placenta tissue. Biotinylated goat anti-mouse IgG was used as secondary antibody. The tissue section was incubated with mouse anti-CD2AP Antibody (M01756) at a dilution of 1:200 and developed using Strepavidin-Biotin-Complex (SABC) (Catalog # SA1021) with DAB (Catalog # AR1027) as the chromogen.

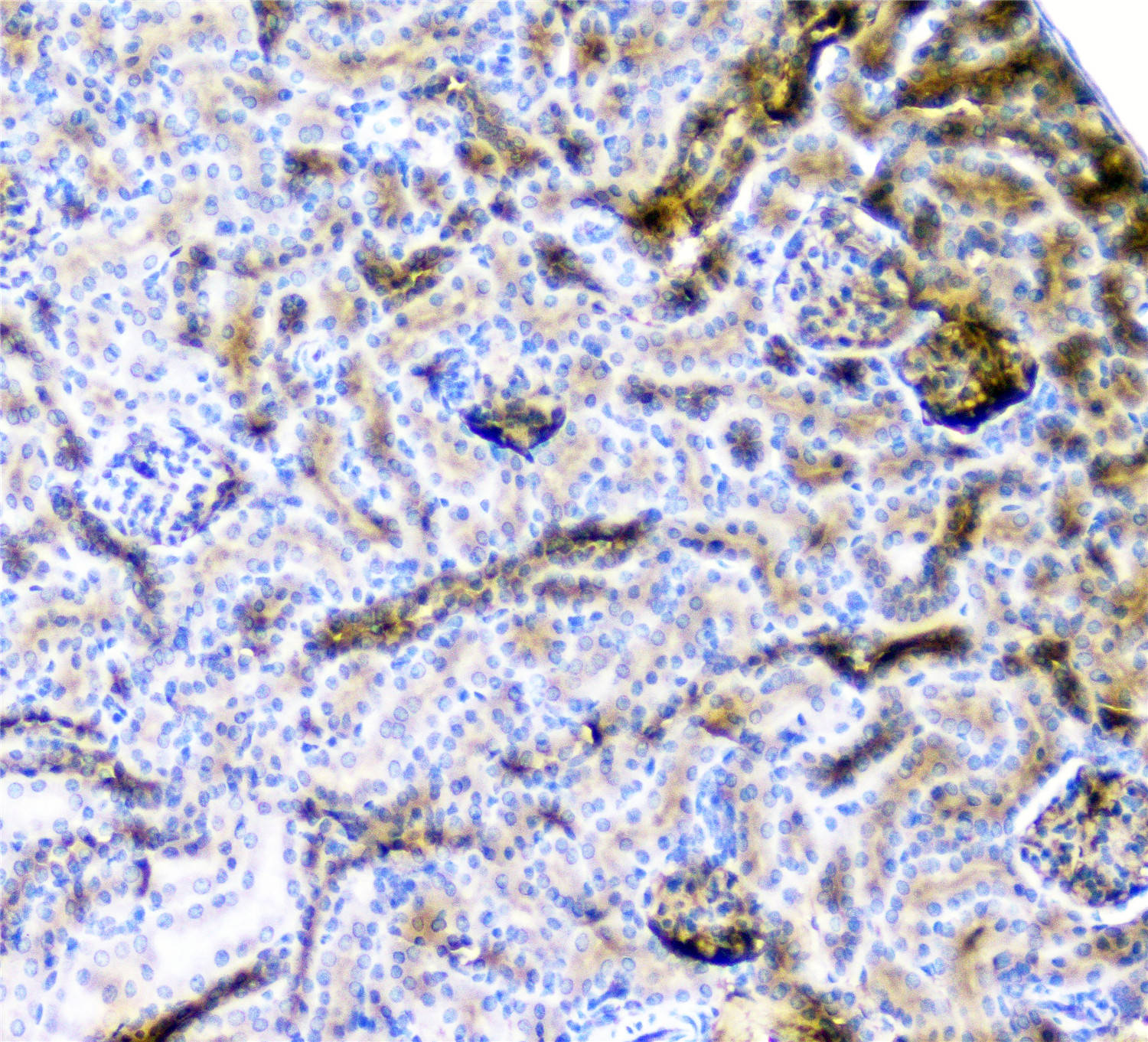
IHC analysis of CD2AP using anti-CD2AP antibody (M01756).
CD2AP was detected in a paraffin-embedded section of mouse kidney tissue. Biotinylated goat anti-mouse IgG was used as secondary antibody. The tissue section was incubated with mouse anti-CD2AP Antibody (M01756) at a dilution of 1:200 and developed using Strepavidin-Biotin-Complex (SABC) (Catalog # SA1021) with DAB (Catalog # AR1027) as the chromogen.

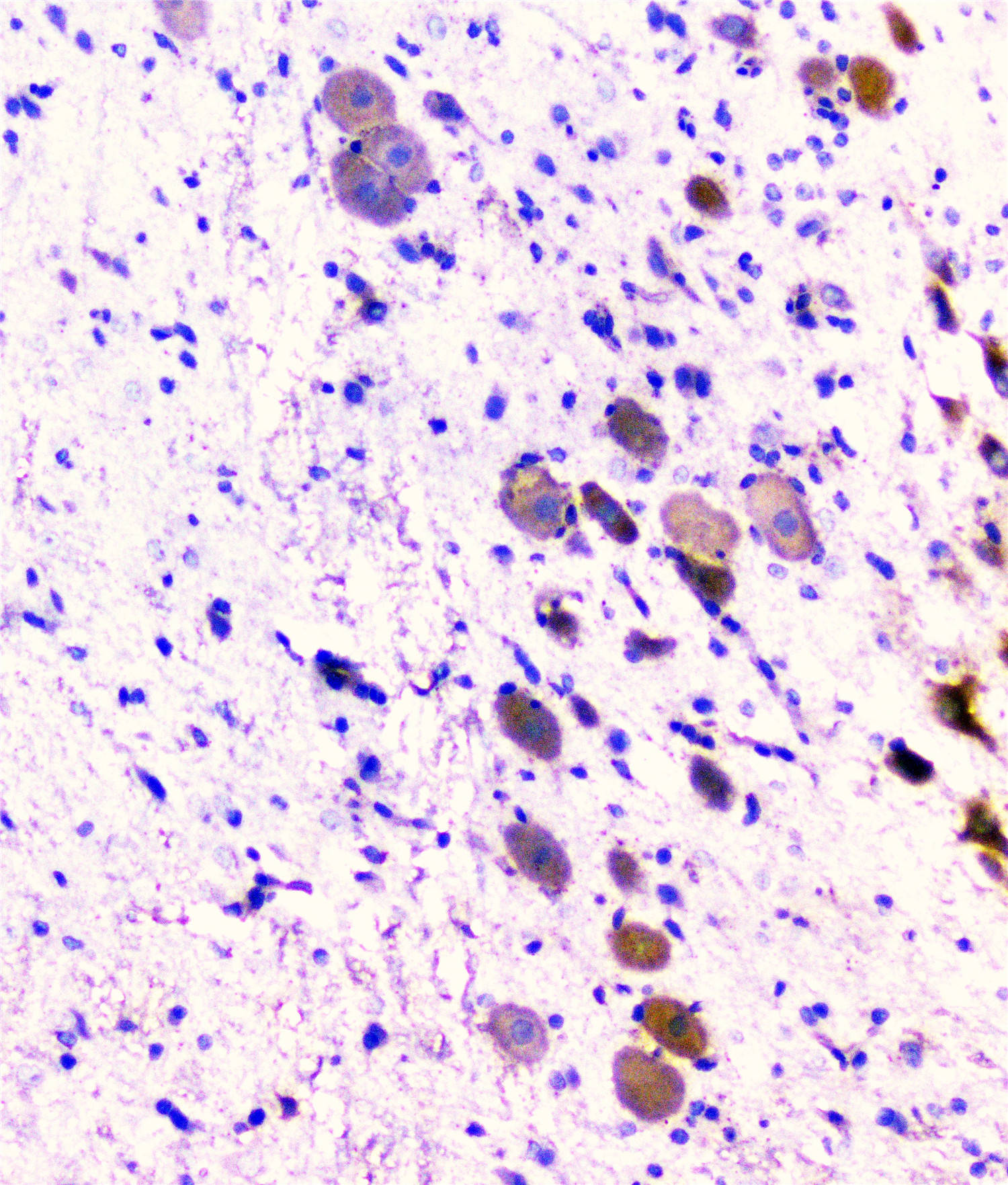
IHC analysis of CD2AP using anti-CD2AP antibody (M01756).
CD2AP was detected in a paraffin-embedded section of rat brain tissue. Biotinylated goat anti-mouse IgG was used as secondary antibody. The tissue section was incubated with mouse anti-CD2AP Antibody (M01756) at a dilution of 1:200 and developed using Strepavidin-Biotin-Complex (SABC) (Catalog # SA1021) with DAB (Catalog # AR1027) as the chromogen.

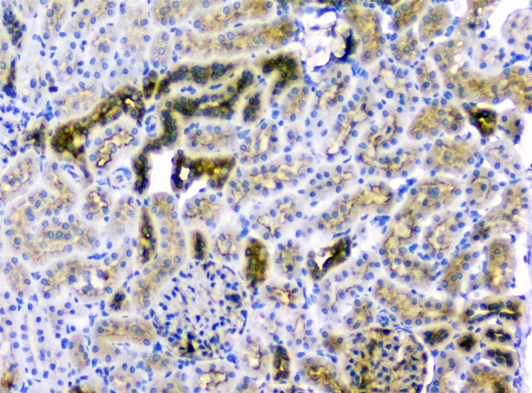
IHC analysis of CD2AP using anti-CD2AP antibody (M01756).
CD2AP was detected in a paraffin-embedded section of rat kidney tissue. Biotinylated goat anti-mouse IgG was used as secondary antibody. The tissue section was incubated with mouse anti-CD2AP Antibody (M01756) at a dilution of 1:200 and developed using Strepavidin-Biotin-Complex (SABC) (Catalog # SA1021) with DAB (Catalog # AR1027) as the chromogen.

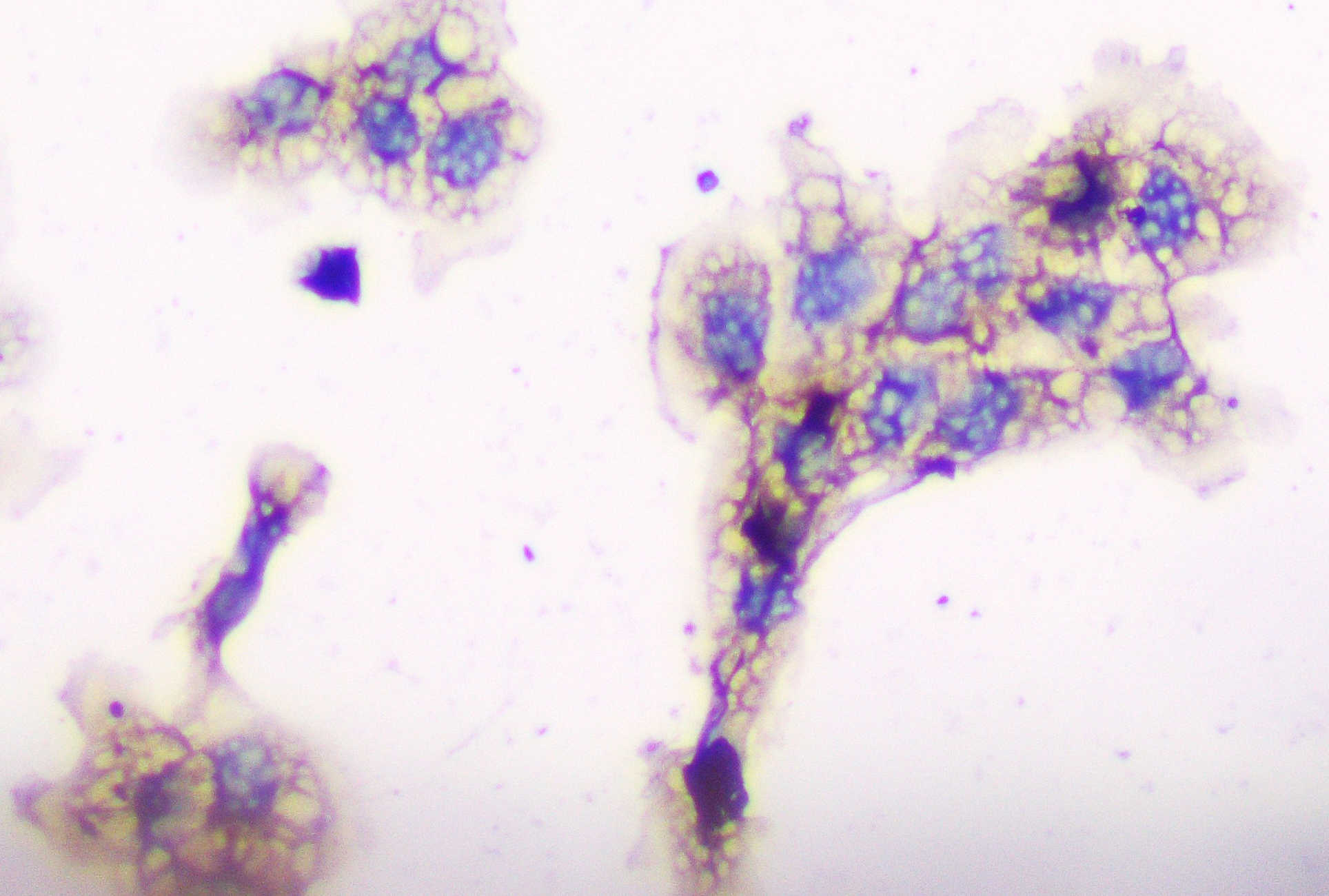
ICC analysis of CD2AP using anti- CD2AP antibody (M01756).
CD2AP was detected in an immunocytochemical section of A431 cells. The section was incubated with mouse anti-CD2AP Antibody (M01756) at a dilution of 1:100. Biotinylated goat anti-mouse IgG was used as secondary antibody. The section was developed using Strepavidin-Biotin-Complex (SABC)(Catalog # SA1021) with DAB (Catalog # AR1027) as the chromogen.

Flow Cytometry analysis of K562 cells using anti-D2AP antibody (M01756).Overlay histogram showing K562 cells stained with M01756 (Blue line).The cells were blocked with 10% normal goat serum. And then incubated with mouse anti-D2AP Antibody (M01756, 1:100) for 30 min at 20°C. Fluoro®488 conjugated goat anti-mouse IgG (BA1126, 1:100) was used as secondary antibody for 30 minutes at 20°C. Isotype control antibody (Green line) was mouse IgG (1:100) used under the same conditions. Unlabelled sample (Red line) was also used as a control.

Flow Cytometry analysis of U2OS cells using anti-CD2AP antibody (M01756).
Overlay histogram showing U2OS cells stained with M01756 (Blue line).The cells were blocked with 10% normal goat serum. And then incubated with mouse anti-CD2AP Antibody (M01756, 1:100) for 30 min at 20°C. Fluoro®488 conjugated goat anti-mouse IgG (BA1126, 1:100) was used as secondary antibody for 30 minutes at 20°C. Isotype control antibody (Green line) was rabbit IgG (1:100) used under the same conditions. Unlabelled sample (Red line) was also used as a control.

Western blot analysis of CD2AP using anti-CD2AP antibody (M01756). The sample well of each lane was loaded with 30 ug of sample under reducing conditions.
Lane 1: human Hela whole cell lysates,
Lane 2: human 293T whole cell lysates,
Lane 3: human MCF-7 whole cell lysates,
Lane 4: human 22RV1 whole cell lysates,
Lane 5: rat RH35 whole cell lysates,
Lane 6: rat C6 whole cell lysates,
Lane 7: mouse Hepa1/6 whole cell lysates,
Lane 8: mouse Neuro-2a whole cell lysates.
After electrophoresis, proteins were transferred to a membrane. Then the membrane was incubated with mouse anti-CD2AP antigen affinity purified monoclonal antibody (M01756) at a dilution of 1:1000 and probed with a goat anti-mouse IgG-HRP secondary antibody (Catalog # BA1050). The signal is developed using ECL Plus Western Blotting Substrate (Catalog # AR1197). A specific band was detected for CD2AP at approximately 80 kDa. The expected band size for CD2AP is at 71 kDa.

IHC analysis of CD2AP using anti-CD2AP antibody (M01756).
CD2AP was detected in a paraffin-embedded section of human colon cancer tissue. Biotinylated goat anti-mouse IgG was used as secondary antibody. The tissue section was incubated with mouse anti-CD2AP Antibody (M01756) at a dilution of 1:200 and developed using Strepavidin-Biotin-Complex (SABC) (Catalog # SA1021) with DAB (Catalog # AR1027) as the chromogen.

IHC analysis of CD2AP using anti-CD2AP antibody (M01756).
CD2AP was detected in a paraffin-embedded section of human colon cancer tissue. Biotinylated goat anti-mouse IgG was used as secondary antibody. The tissue section was incubated with mouse anti-CD2AP Antibody (M01756) at a dilution of 1:200 and developed using Strepavidin-Biotin-Complex (SABC) (Catalog # SA1021) with DAB (Catalog # AR1027) as the chromogen.

IHC analysis of CD2AP using anti-CD2AP antibody (M01756).
CD2AP was detected in a paraffin-embedded section of human placenta tissue. Biotinylated goat anti-mouse IgG was used as secondary antibody. The tissue section was incubated with mouse anti-CD2AP Antibody (M01756) at a dilution of 1:200 and developed using Strepavidin-Biotin-Complex (SABC) (Catalog # SA1021) with DAB (Catalog # AR1027) as the chromogen.

IHC analysis of CD2AP using anti-CD2AP antibody (M01756).
CD2AP was detected in a paraffin-embedded section of human mammary cancer tissue. Biotinylated goat anti-mouse IgG was used as secondary antibody. The tissue section was incubated with mouse anti-CD2AP Antibody (M01756) at a dilution of 1:200 and developed using Strepavidin-Biotin-Complex (SABC) (Catalog # SA1021) with DAB (Catalog # AR1027) as the chromogen.

IHC analysis of CD2AP using anti-CD2AP antibody (M01756).
CD2AP was detected in a paraffin-embedded section of human mammary cancer tissue. The tissue section was incubated with mouse anti-CD2AP Antibody (M01756) at a dilution of 1:200 and developed using HRP Conjugated mouse IgG Super Vision Assay Kit (Catalog # SV0001) with DAB (Catalog # AR1027) as the chromogen.

IHC analysis of CD2AP using anti-CD2AP antibody (M01756).
CD2AP was detected in a paraffin-embedded section of human colon cancer tissue. The tissue section was incubated with mouse anti-CD2AP Antibody (M01756) at a dilution of 1:200 and developed using HRP Conjugated mouse IgG Super Vision Assay Kit (Catalog # SV0001) with DAB (Catalog # AR1027) as the chromogen.

IHC analysis of CD2AP using anti-CD2AP antibody (M01756).
CD2AP was detected in a paraffin-embedded section of human mammary cancer tissue. Biotinylated goat anti-mouse IgG was used as secondary antibody. The tissue section was incubated with mouse anti-CD2AP Antibody (M01756) at a dilution of 1:200 and developed using Strepavidin-Biotin-Complex (SABC) (Catalog # SA1021) with DAB (Catalog # AR1027) as the chromogen.

IHC analysis of CD2AP using anti-CD2AP antibody (M01756).
CD2AP was detected in a paraffin-embedded section of human placenta tissue. Biotinylated goat anti-mouse IgG was used as secondary antibody. The tissue section was incubated with mouse anti-CD2AP Antibody (M01756) at a dilution of 1:200 and developed using Strepavidin-Biotin-Complex (SABC) (Catalog # SA1021) with DAB (Catalog # AR1027) as the chromogen.

IHC analysis of CD2AP using anti-CD2AP antibody (M01756).
CD2AP was detected in a paraffin-embedded section of mouse kidney tissue. Biotinylated goat anti-mouse IgG was used as secondary antibody. The tissue section was incubated with mouse anti-CD2AP Antibody (M01756) at a dilution of 1:200 and developed using Strepavidin-Biotin-Complex (SABC) (Catalog # SA1021) with DAB (Catalog # AR1027) as the chromogen.

IHC analysis of CD2AP using anti-CD2AP antibody (M01756).
CD2AP was detected in a paraffin-embedded section of rat brain tissue. Biotinylated goat anti-mouse IgG was used as secondary antibody. The tissue section was incubated with mouse anti-CD2AP Antibody (M01756) at a dilution of 1:200 and developed using Strepavidin-Biotin-Complex (SABC) (Catalog # SA1021) with DAB (Catalog # AR1027) as the chromogen.

IHC analysis of CD2AP using anti-CD2AP antibody (M01756).
CD2AP was detected in a paraffin-embedded section of rat kidney tissue. Biotinylated goat anti-mouse IgG was used as secondary antibody. The tissue section was incubated with mouse anti-CD2AP Antibody (M01756) at a dilution of 1:200 and developed using Strepavidin-Biotin-Complex (SABC) (Catalog # SA1021) with DAB (Catalog # AR1027) as the chromogen.

ICC analysis of CD2AP using anti- CD2AP antibody (M01756).
CD2AP was detected in an immunocytochemical section of A431 cells. The section was incubated with mouse anti-CD2AP Antibody (M01756) at a dilution of 1:100. Biotinylated goat anti-mouse IgG was used as secondary antibody. The section was developed using Strepavidin-Biotin-Complex (SABC)(Catalog # SA1021) with DAB (Catalog # AR1027) as the chromogen.

Flow Cytometry analysis of K562 cells using anti-D2AP antibody (M01756).Overlay histogram showing K562 cells stained with M01756 (Blue line).The cells were blocked with 10% normal goat serum. And then incubated with mouse anti-D2AP Antibody (M01756, 1:100) for 30 min at 20°C. Fluoro®488 conjugated goat anti-mouse IgG (BA1126, 1:100) was used as secondary antibody for 30 minutes at 20°C. Isotype control antibody (Green line) was mouse IgG (1:100) used under the same conditions. Unlabelled sample (Red line) was also used as a control.

Flow Cytometry analysis of U2OS cells using anti-CD2AP antibody (M01756).
Overlay histogram showing U2OS cells stained with M01756 (Blue line).The cells were blocked with 10% normal goat serum. And then incubated with mouse anti-CD2AP Antibody (M01756, 1:100) for 30 min at 20°C. Fluoro®488 conjugated goat anti-mouse IgG (BA1126, 1:100) was used as secondary antibody for 30 minutes at 20°C. Isotype control antibody (Green line) was rabbit IgG (1:100) used under the same conditions. Unlabelled sample (Red line) was also used as a control.














