| Western blot (WB): | 1:500-2000 |
| Immunohistochemistry (IHC): | 1:50-400 |
| Immunocytochemistry/Immunofluorescence (ICC/IF): | 1:50-400 |
| ImmunoPrecipitation (IP): | 1:50 |
| Flow Cytometry (Fixed): | 1:50-200 |
| Enzyme linked immunosorbent assay (ELISA): | 1:100-1000 |
| (Boiling the paraffin sections in 10mM citrate buffer,pH6.0,or PH8.0 EDTA repair liquid for 20 mins is required for the staining of formalin/paraffin sections.) Optimal working dilutions must be determined by end user. | |

Western blot analysis of CD2AP using anti-CD2AP antibody (A01756-2). The sample well of each lane was loaded with 30 ug of sample under reducing conditions.
Lane 1: human Jurkat whole cell lysates,
Lane 2: human A431 whole cell lysates,
Lane 3: human Hela whole cell lysates,
Lane 4: human K562 whole cell lysates.
After electrophoresis, proteins were transferred to a membrane. Then the membrane was incubated with rabbit anti-CD2AP antigen affinity purified polyclonal antibody (A01756-2) at a dilution of 1:1000 and probed with a goat anti-rabbit IgG-HRP secondary antibody (Catalog # BA1054). The signal is developed using ECL Plus Western Blotting Substrate (Catalog # AR1197). A specific band was detected for CD2AP at approximately 80 kDa. The expected band size for CD2AP is at 71 kDa.

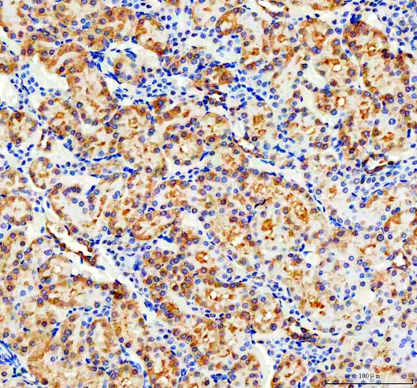
IHC analysis of CD2AP using anti-CD2AP antibody (A01756-2).
CD2AP was detected in a paraffin-embedded section of mouse kidney tissue. The tissue section was incubated with rabbit anti-CD2AP Antibody (A01756-2) at a dilution of 1:200 and developed using HRP Conjugated Rabbit IgG Super Vision Assay Kit (Catalog # SV0002) with DAB (Catalog # AR1027) as the chromogen.

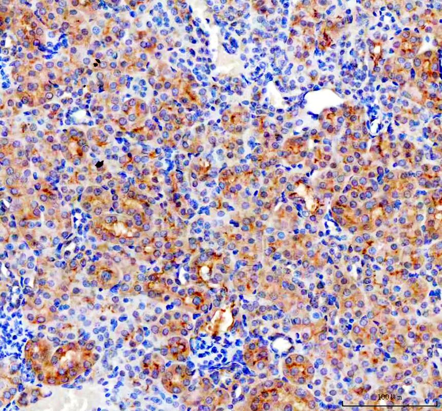
IHC analysis of CD2AP using anti-CD2AP antibody (A01756-2).
CD2AP was detected in a paraffin-embedded section of rat kidney tissue. The tissue section was incubated with rabbit anti-CD2AP Antibody (A01756-2) at a dilution of 1:200 and developed using HRP Conjugated Rabbit IgG Super Vision Assay Kit (Catalog # SV0002) with DAB (Catalog # AR1027) as the chromogen.

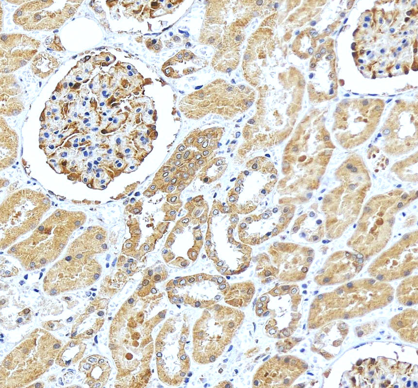
IHC analysis of CD2AP using anti-CD2AP antibody (A01756-2).
CD2AP was detected in a paraffin-embedded section of human kidney tissue. The tissue section was incubated with rabbit anti-CD2AP Antibody (A01756-2) at a dilution of 1:200 and developed using HRP Conjugated Rabbit IgG Super Vision Assay Kit (Catalog # SV0002) with DAB (Catalog # AR1027) as the chromogen.

ICC/IF analysis of CD2AP using anti-CD2AP antibody (A01756-2).
CD2AP was detected in an immunocytochemical section of Hela cells. The section was incubated with rabbit anti-CD2AP Antibody (A01756-2) at a dilution of 1:100. Fluoro488 Conjugated Goat Anti-Rabbit IgG (Green) (Catalog # BA1127) was used as secondary antibody. The section was counterstained with DAPI (Catalog # AR1176) (Blue).

IP analysis of CD2AP using anti-CD2AP antibody (A01756-2) in Jurkat whole cell lysate.
Western blot analysis of CD2AP using anti- CD2AP antibody (A01756-2).
Lane 1: Jurkat whole cell lysates(30ug),
Lane 2: Rabbit control IgG instead of anti- CD2AP antibody in Jurkat whole cell lysate,
Lane 3: anti- CD2AP antibody (2μg) + Jurkat whole cell lysate (500μg).
After electrophoresis, proteins were transferred to a membrane. Then the membrane was incubated with rabbit anti- CD2AP antigen affinity purified polyclonal antibody (A01756-2) at a dilution of 1:1000 and probed with a goat anti-rabbit IgG-HRP secondary antibody (Catalog # BA1054). The signal is developed using ECL Plus Western Blotting Substrate (Catalog # AR1197). A specific band was detected for CD2AP at approximately 80 kDa. The expected band size for CD2AP is at 71 kDa.

Flow Cytometry analysis of K562 cells using anti-CD2AP antibody (A01756-2).
Overlay histogram showing K562 cells stained with A01756-2 (Blue line). To facilitate intracellular staining, cells were fixed with 4% paraformaldehyde and permeabilized with permeabilization buffer. The cells were blocked with 10% normal goat serum. And then incubated with rabbit anti-CD2AP Antibody (A01756-2) at 1:100 dilution for 30 min at 20°C. Fluoro488 conjugated goat anti-rabbit IgG (BA1127) was used as secondary antibody at 1:100 dilution for 30 minutes at 20°C. Isotype control antibody (Green line) was rabbit IgG at 1:100 dilution used under the same conditions. Unlabelled sample without incubation with primary antibody and secondary antibody (Red line) was used as a blank control.

Western blot analysis of CD2AP using anti-CD2AP antibody (A01756-2). The sample well of each lane was loaded with 30 ug of sample under reducing conditions.
Lane 1: human Jurkat whole cell lysates,
Lane 2: human A431 whole cell lysates,
Lane 3: human Hela whole cell lysates,
Lane 4: human K562 whole cell lysates.
After electrophoresis, proteins were transferred to a membrane. Then the membrane was incubated with rabbit anti-CD2AP antigen affinity purified polyclonal antibody (A01756-2) at a dilution of 1:1000 and probed with a goat anti-rabbit IgG-HRP secondary antibody (Catalog # BA1054). The signal is developed using ECL Plus Western Blotting Substrate (Catalog # AR1197). A specific band was detected for CD2AP at approximately 80 kDa. The expected band size for CD2AP is at 71 kDa.

IHC analysis of CD2AP using anti-CD2AP antibody (A01756-2).
CD2AP was detected in a paraffin-embedded section of mouse kidney tissue. The tissue section was incubated with rabbit anti-CD2AP Antibody (A01756-2) at a dilution of 1:200 and developed using HRP Conjugated Rabbit IgG Super Vision Assay Kit (Catalog # SV0002) with DAB (Catalog # AR1027) as the chromogen.

IHC analysis of CD2AP using anti-CD2AP antibody (A01756-2).
CD2AP was detected in a paraffin-embedded section of rat kidney tissue. The tissue section was incubated with rabbit anti-CD2AP Antibody (A01756-2) at a dilution of 1:200 and developed using HRP Conjugated Rabbit IgG Super Vision Assay Kit (Catalog # SV0002) with DAB (Catalog # AR1027) as the chromogen.

IHC analysis of CD2AP using anti-CD2AP antibody (A01756-2).
CD2AP was detected in a paraffin-embedded section of human kidney tissue. The tissue section was incubated with rabbit anti-CD2AP Antibody (A01756-2) at a dilution of 1:200 and developed using HRP Conjugated Rabbit IgG Super Vision Assay Kit (Catalog # SV0002) with DAB (Catalog # AR1027) as the chromogen.

ICC/IF analysis of CD2AP using anti-CD2AP antibody (A01756-2).
CD2AP was detected in an immunocytochemical section of Hela cells. The section was incubated with rabbit anti-CD2AP Antibody (A01756-2) at a dilution of 1:100. Fluoro488 Conjugated Goat Anti-Rabbit IgG (Green) (Catalog # BA1127) was used as secondary antibody. The section was counterstained with DAPI (Catalog # AR1176) (Blue).

IP analysis of CD2AP using anti-CD2AP antibody (A01756-2) in Jurkat whole cell lysate.
Western blot analysis of CD2AP using anti- CD2AP antibody (A01756-2).
Lane 1: Jurkat whole cell lysates(30ug),
Lane 2: Rabbit control IgG instead of anti- CD2AP antibody in Jurkat whole cell lysate,
Lane 3: anti- CD2AP antibody (2μg) + Jurkat whole cell lysate (500μg).
After electrophoresis, proteins were transferred to a membrane. Then the membrane was incubated with rabbit anti- CD2AP antigen affinity purified polyclonal antibody (A01756-2) at a dilution of 1:1000 and probed with a goat anti-rabbit IgG-HRP secondary antibody (Catalog # BA1054). The signal is developed using ECL Plus Western Blotting Substrate (Catalog # AR1197). A specific band was detected for CD2AP at approximately 80 kDa. The expected band size for CD2AP is at 71 kDa.

Flow Cytometry analysis of K562 cells using anti-CD2AP antibody (A01756-2).
Overlay histogram showing K562 cells stained with A01756-2 (Blue line). To facilitate intracellular staining, cells were fixed with 4% paraformaldehyde and permeabilized with permeabilization buffer. The cells were blocked with 10% normal goat serum. And then incubated with rabbit anti-CD2AP Antibody (A01756-2) at 1:100 dilution for 30 min at 20°C. Fluoro488 conjugated goat anti-rabbit IgG (BA1127) was used as secondary antibody at 1:100 dilution for 30 minutes at 20°C. Isotype control antibody (Green line) was rabbit IgG at 1:100 dilution used under the same conditions. Unlabelled sample without incubation with primary antibody and secondary antibody (Red line) was used as a blank control.








