| Western blot (WB): | 1:1000~2000 |
| Immunohistochemistry (IHC): | 1:50 |
| Immunocytochemistry/Immunofluorescence (ICC/IF): | 1:50 |
| Flow cytometry (FCM): | 1:100 |

Flow cytometric Analysis of Hela cells, using anti-HSPA9 antibody, (Red), compared to a nonspecific negative control antibody, (Blue).

Flow cytometric Analysis of Jurkat cells, using anti-HSPA9 antibody, (Red), compared to a nonspecific negative control antibody, (Blue).

Western blot analysis of extracts (10ug) from a mouse cell line and 3 different mouse tissues by using anti-HSPA9 monoclonal antibody (1:200).

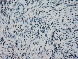
Immunohistochemical staining of paraffin-embedded Carcinoma of Human kidney tissue using anti-HSPA9 mouse monoclonal antibody. (Heat-induced epitope retrieval by 10mM citric buffer, pH6.0, 100°C for 10min, M02561-1)

Western blot analysis of extracts (35ug) from 9 different cell lines by usin g anti-HSPA9 monoclonal antibody (HepG2: human; HeLa: human; SVT2: mouse; A549: human; COS7: monkey; Jurkat: human; MDCK: canine; PC12: rat; MCF7: human).

Immunohistochemical staining of paraffin-embedded Human endometrium tissue within the normal limits using anti-HSPA9 mouse monoclonal antibody. (Heat-induced epitope retrieval by 10mM citric buffer, pH6.0, 100°C for 10min, M02561-1)

Immunohistochemical staining of paraffin-embedded Carcinoma of Human pancreas tissue using anti-HSPA9 mouse monoclonal antibody. (Heat-induced epitope retrieval by 10mM citric buffer, pH6.0, 100°C for 10min, M02561-1)

Immunohistochemical staining of paraffin-embedded Adenocarcinoma of Human breast tissue using anti-HSPA9 mouse monoclonal antibody. (Heat-induced epitope retrieval by 10mM citric buffer, pH6.0, 100°C for 10min, M02561-1)

Immunohistochemical staining of paraffin-embedded Human pancreas tissue within the normal limits using anti-HSPA9 mouse monoclonal antibody. (Heat-induced epitope retrieval by 10mM citric buffer, pH6.0, 100°C for 10min, M02561-1)

Immunofluorescent staining of HepG2 cells using anti-HSPA9 mouse monoclonal antibody.

Immunohistochemical staining of paraffin-embedded Adenocarcinoma of Human ovary tissue using anti-HSPA9 mouse monoclonal antibody. (Heat-induced epitope retrieval by 10mM citric buffer, pH6.0, 100°C for 10min, M02561-1)

Anti-HSPA9 mouse monoclonal antibody immunofluorescent staining of COS7 cells transiently transfected by pCMV6-ENTRY HSPA9 .

HEK293T cells were transfected with the pCMV6-ENTRY control (Left lane) or pCMV6-ENTRY HSPA9 (Right lane) cDNA for 48 hrs and lysed. Equivalent amounts of cell lysates (5 ug per lane) were separated by SDS-PAGE and immunoblotted with anti-HSPA9(Cat# M02561-1).

Flow cytometric Analysis of Hela cells, using anti-HSPA9 antibody, (Red), compared to a nonspecific negative control antibody, (Blue).

Flow cytometric Analysis of Jurkat cells, using anti-HSPA9 antibody, (Red), compared to a nonspecific negative control antibody, (Blue).

Western blot analysis of extracts (10ug) from a mouse cell line and 3 different mouse tissues by using anti-HSPA9 monoclonal antibody (1:200).

Immunohistochemical staining of paraffin-embedded Carcinoma of Human kidney tissue using anti-HSPA9 mouse monoclonal antibody. (Heat-induced epitope retrieval by 10mM citric buffer, pH6.0, 100°C for 10min, M02561-1)

Western blot analysis of extracts (35ug) from 9 different cell lines by usin g anti-HSPA9 monoclonal antibody (HepG2: human; HeLa: human; SVT2: mouse; A549: human; COS7: monkey; Jurkat: human; MDCK: canine; PC12: rat; MCF7: human).

Immunohistochemical staining of paraffin-embedded Human endometrium tissue within the normal limits using anti-HSPA9 mouse monoclonal antibody. (Heat-induced epitope retrieval by 10mM citric buffer, pH6.0, 100°C for 10min, M02561-1)

Immunohistochemical staining of paraffin-embedded Carcinoma of Human pancreas tissue using anti-HSPA9 mouse monoclonal antibody. (Heat-induced epitope retrieval by 10mM citric buffer, pH6.0, 100°C for 10min, M02561-1)

Immunohistochemical staining of paraffin-embedded Adenocarcinoma of Human breast tissue using anti-HSPA9 mouse monoclonal antibody. (Heat-induced epitope retrieval by 10mM citric buffer, pH6.0, 100°C for 10min, M02561-1)

Immunohistochemical staining of paraffin-embedded Human pancreas tissue within the normal limits using anti-HSPA9 mouse monoclonal antibody. (Heat-induced epitope retrieval by 10mM citric buffer, pH6.0, 100°C for 10min, M02561-1)

Immunofluorescent staining of HepG2 cells using anti-HSPA9 mouse monoclonal antibody.

Immunohistochemical staining of paraffin-embedded Adenocarcinoma of Human ovary tissue using anti-HSPA9 mouse monoclonal antibody. (Heat-induced epitope retrieval by 10mM citric buffer, pH6.0, 100°C for 10min, M02561-1)

Anti-HSPA9 mouse monoclonal antibody immunofluorescent staining of COS7 cells transiently transfected by pCMV6-ENTRY HSPA9 .

HEK293T cells were transfected with the pCMV6-ENTRY control (Left lane) or pCMV6-ENTRY HSPA9 (Right lane) cDNA for 48 hrs and lysed. Equivalent amounts of cell lysates (5 ug per lane) were separated by SDS-PAGE and immunoblotted with anti-HSPA9(Cat# M02561-1).












