| Western blot (WB): | 1:500-2000 |
| Immunohistochemistry (IHC): | 1:50-400 |
| Immunocytochemistry/Immunofluorescence (ICC/IF): | 1:50-400 |
| (Boiling the paraffin sections in 10mM citrate buffer,pH6.0,or PH8.0 EDTA repair liquid for 20 mins is required for the staining of formalin/paraffin sections.) Optimal working dilutions must be determined by end user. | |

Western blot analysis of GRP75/HSPA9 using anti-GRP75/HSPA9 antibody (BA3760). The sample well of each lane was loaded with 30 ug of sample under reducing conditions.
Lane 1: Hela whole cell lysates,
Lane 2: A549 whole cell lysates,
Lane 3: Jurkat whole cell lysates,
Lane 4: HepG2 whole cell lysates,
Lane 5: rat testis tissue lysates,
Lane 6: mouse testis tissue lysates,
Lane 7: NIH/3T3 whole cell lysates.
After electrophoresis, proteins were transferred to a membrane. Then the membrane was incubated with rabbit anti-GRP75/HSPA9 antigen affinity purified polyclonal antibody (BA3760) at a dilution of 1:1000 and probed with a goat anti-rabbit IgG-HRP secondary antibody (Catalog # BA1054). The signal is developed using ECL Plus Western Blotting Substrate (Catalog # AR1197). A specific band was detected for GRP75/HSPA9 at approximately 74 kDa. The expected band size for GRP75/HSPA9 is at 74 kDa.

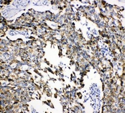
IHC analysis of GRP75/HSPA9 using anti-GRP75/HSPA9 antibody (BA3760).
GRP75/HSPA9 was detected in a paraffin-embedded section of human lung cancer tissue. Biotinylated goat anti-rabbit IgG was used as secondary antibody. The tissue section was incubated with rabbit anti-GRP75/HSPA9 Antibody (BA3760) at a dilution of 1:200 and developed using Strepavidin-Biotin-Complex (SABC) (Catalog # SA1022) with DAB (Catalog # AR1027) as the chromogen.

IHC analysis of GRP75/HSPA9 using anti-GRP75/HSPA9 antibody (BA3760).
GRP75/HSPA9 was detected in a paraffin-embedded section of rat liver tissue. Biotinylated goat anti-rabbit IgG was used as secondary antibody. The tissue section was incubated with rabbit anti-GRP75/HSPA9 Antibody (BA3760) at a dilution of 1:200 and developed using Strepavidin-Biotin-Complex (SABC) (Catalog # SA1022) with DAB (Catalog # AR1027) as the chromogen.

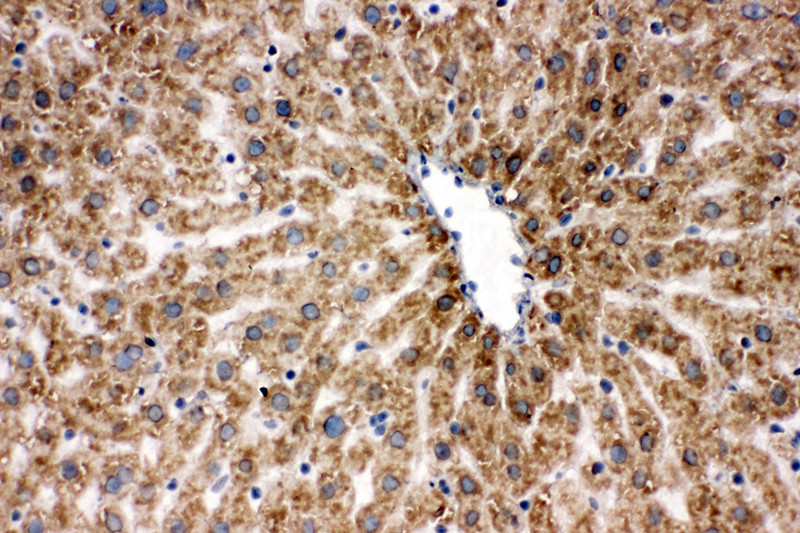
IHC analysis of GRP75/HSPA9 using anti-GRP75/HSPA9 antibody (BA3760).
GRP75/HSPA9 was detected in frozen section of rat liver tissue. Biotinylated goat anti-rabbit IgG was used as secondary antibody. The tissue section was incubated with rabbit anti-GRP75/HSPA9 Antibody (BA3760) at a dilution of 1:200 and developed using Strepavidin-Biotin-Complex (SABC) (Catalog # SA1022) with DAB (Catalog # AR1027) as the chromogen.

ICC analysis of HSPA9 using anti- HSPA9 antibody (BA3760).
HSPA9 was detected in an immunocytochemical section of A549 cells. Biotinylated goat anti-rabbit IgG was used as secondary antibody. The section was developed using Strepavidin-Biotin-Complex (SABC)(Catalog # SA1022) with DAB (Catalog # AR1027) as the chromogen.

Western blot analysis of GRP75/HSPA9 using anti-GRP75/HSPA9 antibody (BA3760). The sample well of each lane was loaded with 30 ug of sample under reducing conditions.
Lane 1: Hela whole cell lysates,
Lane 2: A549 whole cell lysates,
Lane 3: Jurkat whole cell lysates,
Lane 4: HepG2 whole cell lysates,
Lane 5: rat testis tissue lysates,
Lane 6: mouse testis tissue lysates,
Lane 7: NIH/3T3 whole cell lysates.
After electrophoresis, proteins were transferred to a membrane. Then the membrane was incubated with rabbit anti-GRP75/HSPA9 antigen affinity purified polyclonal antibody (BA3760) at a dilution of 1:1000 and probed with a goat anti-rabbit IgG-HRP secondary antibody (Catalog # BA1054). The signal is developed using ECL Plus Western Blotting Substrate (Catalog # AR1197). A specific band was detected for GRP75/HSPA9 at approximately 74 kDa. The expected band size for GRP75/HSPA9 is at 74 kDa.

IHC analysis of GRP75/HSPA9 using anti-GRP75/HSPA9 antibody (BA3760).
GRP75/HSPA9 was detected in a paraffin-embedded section of human lung cancer tissue. Biotinylated goat anti-rabbit IgG was used as secondary antibody. The tissue section was incubated with rabbit anti-GRP75/HSPA9 Antibody (BA3760) at a dilution of 1:200 and developed using Strepavidin-Biotin-Complex (SABC) (Catalog # SA1022) with DAB (Catalog # AR1027) as the chromogen.

IHC analysis of GRP75/HSPA9 using anti-GRP75/HSPA9 antibody (BA3760).
GRP75/HSPA9 was detected in a paraffin-embedded section of rat liver tissue. Biotinylated goat anti-rabbit IgG was used as secondary antibody. The tissue section was incubated with rabbit anti-GRP75/HSPA9 Antibody (BA3760) at a dilution of 1:200 and developed using Strepavidin-Biotin-Complex (SABC) (Catalog # SA1022) with DAB (Catalog # AR1027) as the chromogen.

IHC analysis of GRP75/HSPA9 using anti-GRP75/HSPA9 antibody (BA3760).
GRP75/HSPA9 was detected in frozen section of rat liver tissue. Biotinylated goat anti-rabbit IgG was used as secondary antibody. The tissue section was incubated with rabbit anti-GRP75/HSPA9 Antibody (BA3760) at a dilution of 1:200 and developed using Strepavidin-Biotin-Complex (SABC) (Catalog # SA1022) with DAB (Catalog # AR1027) as the chromogen.

ICC analysis of HSPA9 using anti- HSPA9 antibody (BA3760).
HSPA9 was detected in an immunocytochemical section of A549 cells. Biotinylated goat anti-rabbit IgG was used as secondary antibody. The section was developed using Strepavidin-Biotin-Complex (SABC)(Catalog # SA1022) with DAB (Catalog # AR1027) as the chromogen.




