| Western blot (WB): | 1:2000 |
| Immunohistochemistry (IHC): | 1:150 |

Immunohistochemical staining of paraffin-embedded Human prostate tissue within the normal limits using anti-MAPK9 mouse monoclonal antibody. (Heat-induced epitope retrieval by 10mM citric buffer, pH6.0, 100°C for 10min, M02706-2)

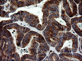
Immunohistochemical staining of paraffin-embedded Adenocarcinoma of Human endometrium tissue using anti-MAPK9 mouse monoclonal antibody. (Heat-induced epitope retrieval by 10mM citric buffer, pH6.0, 100°C for 10min, M02706-2)

Immunohistochemical staining of paraffin-embedded Carcinoma of Human thyroid tissue using anti-MAPK9 mouse monoclonal antibody. (Heat-induced epitope retrieval by 10mM citric buffer, pH6.0, 100°C for 10min, M02706-2)

Immunohistochemical staining of paraffin-embedded Human pancreas tissue within the normal limits using anti-MAPK9 mouse monoclonal antibody. (Heat-induced epitope retrieval by 10mM citric buffer, pH6.0, 100°C for 10min, M02706-2)

Immunohistochemical staining of paraffin-embedded Human breast tissue within the normal limits using anti-MAPK9 mouse monoclonal antibody. (Heat-induced epitope retrieval by 10mM citric buffer, pH6.0, 100°C for 10min, M02706-2)

HEK293T cells were transfected with the pCMV6-ENTRY control (Left lane) or pCMV6-ENTRY MAPK9 (Right lane) cDNA for 48 hrs and lysed. Equivalent amounts of cell lysates (5 ug per lane) were separated by SDS-PAGE and immunoblotted with anti-MAPK9.

Immunohistochemical staining of paraffin-embedded Human prostate tissue within the normal limits using anti-MAPK9 mouse monoclonal antibody. (Heat-induced epitope retrieval by 10mM citric buffer, pH6.0, 100°C for 10min, M02706-2)

Immunohistochemical staining of paraffin-embedded Adenocarcinoma of Human endometrium tissue using anti-MAPK9 mouse monoclonal antibody. (Heat-induced epitope retrieval by 10mM citric buffer, pH6.0, 100°C for 10min, M02706-2)

Immunohistochemical staining of paraffin-embedded Carcinoma of Human thyroid tissue using anti-MAPK9 mouse monoclonal antibody. (Heat-induced epitope retrieval by 10mM citric buffer, pH6.0, 100°C for 10min, M02706-2)

Immunohistochemical staining of paraffin-embedded Human pancreas tissue within the normal limits using anti-MAPK9 mouse monoclonal antibody. (Heat-induced epitope retrieval by 10mM citric buffer, pH6.0, 100°C for 10min, M02706-2)

Immunohistochemical staining of paraffin-embedded Human breast tissue within the normal limits using anti-MAPK9 mouse monoclonal antibody. (Heat-induced epitope retrieval by 10mM citric buffer, pH6.0, 100°C for 10min, M02706-2)

HEK293T cells were transfected with the pCMV6-ENTRY control (Left lane) or pCMV6-ENTRY MAPK9 (Right lane) cDNA for 48 hrs and lysed. Equivalent amounts of cell lysates (5 ug per lane) were separated by SDS-PAGE and immunoblotted with anti-MAPK9.





